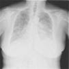
La aparición radiológica de múltiples micronódulos como forma de presentación de un tumor pulmonar aunque está descrita1, es muy infrecuente (fig. 1).
Presentamos el caso de una mujer de 71 años, nunca fumadora, sin alergias medicamentosas conocidas con antecedentes de HTA, hipotiroidismo yatrógeno, epilepsia y cirugía de resección de quistes ováricos. En tratamiento con levotiroxina, ácido valproico, omeprazol, captopril y diclofenaco. En situación basal no presentaba sintomatología respiratoria. Ingresa por cuadro de un mes de evolución de disnea progresiva hasta hacerse de mínimos esfuerzos, tos con escasa expectoración mucosa, sibilancias, dolor costal pleurítico bilateral y ortopnea de dos almohadas. Durante ese tiempo había recibido tratamientos con antibiótico y corticoides sin mejoría. No existían antecedentes de exposición laboral a humos ni ambientes pulverícenos. Tenía como mascota un perro. Desde hacía 4 meses un vecino había instalado un gallinero al lado de su domicilio (pared con pared). En la exploración física destaca saturación arterial de oxígeno basal del 80%, taquipneica al habla a 30rpm y crepitantes en zona posterior de hemotórax izquierdo que sólo respetan el vértice. En las pruebas complementarias a su ingreso destaca: leucocitosis: 1.1700/Ul con neutrofilia del 79%, y gasometría realizada con un aporte desconocido de O2: PaO2: 80mmHg; PCO2: 30mmHg; pH: 7,52; HCO3−: 26mEq; SaO2: 97%. En la radiografía de tórax se observaba un patrón alveolointersticial difuso con tendencia a confluir. En la TAC torácica se apreciaban numerosos micromódulos repartidos de forma aleatoria por la totalidad del parénquima pulmonar con áreas parcheadas confluyentes condensatorias de tipo algodonoso alveolar que se acompañan de derrame pleural derecho leve y moderado izquierdo así como escasas adenopatías mediastínicas en el límite, poco significativas. Durante su ingreso además se realizan otros estudios que incluyeron: toracocentesis diagnostica observándose exudado linfocítico cuya citología era inespecífica; serología con hallazgo de Ig G frente a Coxiella 1/160 con IgM negativa; estudio de esputo donde se aísla Candida albicans (posible contaminación orofaríngea), baciloscopias negativas; marcadores tumorales con elevación de CA 15.3, CA 125 y CEA; enzima convertidora de angiotensina con valores normales; mamografía, donde se observa nódulo de 9mm en mama derecha de probable origen benigno y del que se recomendaba control en 6 meses; examen ginecológico que descarta patología ginecológica; precipitinas frente a suero de gallinas negativas, fibrobroncoscopia donde sólo cabe destacar mucosa de bronquio principal izquierdo de apariencia rugosa sin signos de infiltrado ni masas endobronquiales. PET: lesiones hipermetabólicas en ambos parénquimas pulmonares, ganglios mediastínicos, ganglio infradiafragmático, pleura, hueso y más dudosamente ganglios laterocervicales, altamente sospechosos de malignidad sin poder descartar por completo etiología infecciosa (tuberculosis).
Dados los resultados inconcluyentes de las pruebas realizadas y que, sin embargo, apuntaban a patología tumoral se decide contactar con el Servicio de Cirugía Torácica, que realiza toracoscopia izquierda extrayéndose 700cc de líquido amarillento y apreciando en pleura parietal y diafragmática, implantes de aspecto neoplásico. Pulmón con múltiples nódulos, gran afectación parenquimatosa y afectación parcheada nodular de pleura parietal. El resultado anatomopatológico informa de infiltración por adenocarcinoma de probable origen pulmonar.
Aunque la presentación radiográfica de un tumor pulmonar como patrón micronodular está descrita1, es muy infrecuente y a menudo, difícil de interpretar. Sí están descritos casos de presentación de un tumor pulmonar, como opacidades en vidrio esmerilado2,3, que pueden observarse en el carcinoma bronquioloalveolar y el adenocarcinoma, pero también esta forma de presentación es infrecuente3. En este caso, la anatomía patológica nos informa de un adenocarcinoma de probable origen pulmonar. Dado que no se realizó autopsia, no es posible afirmarlo con certeza, sin embargo, las pruebas complementarias realizadas no encontraron evidencias de tumores primarios en otros órganos. Esto coincide con los resultados del estudio realizado por Al-Brahim4 en el que se halló que el adenocarcinoma es el tumor que más frecuentemente se presenta con metástasis múltiples y que las localizaciones del tumor primario más frecuentes eran el pulmón en primer lugar y en segundo lugar el intestino grueso.








