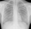
Mujer de 24 años, caucásica, fumadora de 5 cigarros al día, sin antecedentes médicos y de profesión periodista. Desde hace 3 meses presenta expectoración purulenta, sin otra sintomatología asociada, que no desaparece con distintos ciclos de tratamiento antibiótico. Refiere contacto, en ámbito laboral en Londres 20 meses antes, con persona afecta de tuberculosis (TBC) y el año pasado contacto esporádico con una amiga diagnosticada de TBC. En ambos casos no se realiza estudios de contactos. Ante la persistencia de la sintomatología se solicita radiografía torácica objetivándose 2 imágenes cavitadas en ambos lóbulos superiores, prácticamente simétricas y bien delimitadas (fig. 1). La tinción de auramina fue positiva y en el cultivo se aisló Mycobacterium tuberculosis. La serología de virus hepatotropos y virus de la inmunodeficiencia humana fue negativa.
No hay ningún signo ni patrón radiográfico patognomónico de TBC. El espectro radiológico es amplio, aunque sí es cierto que pueden reconocerse algunos patrones muy sugestivos como es el caso de cavernas en lóbulos superiores. En la mayoría de los casos estas cavidades suelen ser multifocales y con paredes gruesas e irregulares1,2, en cambio, en el caso que presentamos se objetivan 2 cavernas aisladas, bilaterales y bien definidas, una presentación cuanto menos curiosa.








