Se trata de una mujer de 63 años, diabética1, que acude a urgencias por odinofagia y disfagia para sólidos que fue diagnosticada de amigdalitis aguda 10 días antes, siendo tratada con azitromicina por antecedente de alergia a penicilinas. Debido a la impresión de la gravedad clínica (deterioro del estado general junto a palidez mucocutánea) y analítica (leucocitosis y aumento de proteína C reactiva) se decide realizar TC cérvico-torácica con contraste intravenoso para descartar complicaciones asociadas a la amigdalitis.
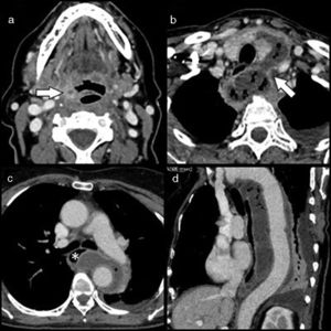
En el estudio realizado se identifica un pequeño absceso en el seno de la amígdala palatina derecha (fig. 1a) que comunica con el espacio visceral infrahioideo ipsilateral a través de un trayecto fistuloso descendente que atraviesa el espacio parafaríngeo. A continuación, se forma una colección que sigue una ruta pretraqueal, atravesando la línea media en el plano graso subyacente a la capa superficial de la fascia cervical profunda, para posteriormente seguir un recorrido peritiroideo y retroceder introduciéndose en el tórax a través del orificio torácico superior izquierdo (fig. 1b). A su entrada alcanza sus máximas dimensiones asociando burbujas de gas, y se dispone de forma tubular en el mediastino medio y posterior rodeando casi por completo a la aorta torácica descendente en toda su longitud hasta su transición tóraco-abdominal (figs. 1c y d).
a) Corte axial de la TC cervical a nivel de la epiglotis, observándose un absceso milimétrico en la porción inferior de la amígdala palatina derecha (flecha); b) Corte axial de la TC cervical a nivel del tiroides, identificándose una colección con gas que rodea el lóbulo tiroideo izquierdo anteriormente, para después progresar posteriormente introduciéndose en el tórax a través del orificio torácico superior izquierdo (flecha); c) Corte axial de la TC torácica a nivel de la carina, se visualiza la colección situada en mediastino medio y posterior rodeando a la aorta torácica en más de 180°. Ejerce efecto de masa sobre el esófago medio (asterisco), y d) Corte sagital oblicuo de la TC torácica donde se aprecia la colección extendiéndose a lo largo de toda la longitud de la aorta torácica descendente. Se aprecia derrame pleural de pequeña cuantía.
La singularidad de este caso reside en 2 hallazgos: el trayecto inhabitual seguido por la colección abriéndose paso hacia el tórax a través de planos cervicales anteriores cuando son más frecuentes los planos profundos2 (ruta retrofaríngea); y el acceso de la colección hacia el mediastino medio y posterior, cuando lo esperable para esta habría sido el mediastino anterior.
A Luis Gorospe Sarasua y Agustina Vicente Bártulos del Servicio de Radiodiagnóstico, Hospital Universitario Ramón y Cajal, Madrid, España.








