Entre las complicaciones de la neumonía adquirida en la comunidad (NAC) raramente se producen artritis sépticas (AS). Suelen ser excepcionales, no simultáneas al proceso agudo1,2, y con mayor frecuencia por Streptococcus pneumoniae1,3. En estos casos las articulaciones más afectadas son la rodilla, la cadera y el hombro1,3. La mayoría de las AS están producidas por Staphylococcus aureus y Streptococcus en pacientes con factores de riesgo predisponente1-6. Presentamos un caso de neumonía por S.aureus, acompañada simultáneamente de una artritis séptica esternoclavicular (ASE) por bacteriemia, en una mujer joven sin factores de riego conocidos, asociación no descrita previamente en la literatura.
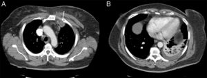
Mujer de 60 años, no fumadora, sin antecedentes de inmunosupresión ni factores de riesgo neumológicos. Acudió a urgencias por dolor pleurítico y en hombro izquierdo, fiebre de 38°C, tos sin expectoración e intenso dolor en la región medioclavicular y el hombro izquierdo. La radiografía de tórax mostró tenue infiltrado en el lóbulo inferior izquierdo (LII). A la exploración destacaba semiología de condensación y egofonía en campo inferior izquierdo. Presentaba una zona abultada muy dolorosa no fluctuante, sin signos inflamatorios en piel, en la región esternoclavicular izquierda alta. Se realizó fibrobroncoscopia, que mostró signos inflamatorios, y se remitieron muestras para anatomía patológica y microbiología. Los hemocultivos fueron negativos. El ecocardiograma no mostró lesiones valvulares ni vegetaciones sugestivas de endocarditis. Se inició tratamiento empírico con ceftriaxona y levofloxacino, con escasa respuesta clínica, precisando la administración de mórficos para control del dolor. La tomografía axial computarizada (TAC) torácica mostró cambios inflamatorios en el músculo pectoral izquierdo e imagen pseudonodular de 3,3×2,3cm, que se introducía entre la porción anterior del primer y segundo arco costal izquierdo, además de condensación pulmonar en LII con derrame pleural acompañante (fig. 1). Tanto la ecografía de cuello como la gammagrafía ósea confirmaron los hallazgos. Se realizó punción-aspiración con aguja fina (PAAF) guiada por ecografía, de la que se aisló S.aureus resistente a ampicilina y sensible a eritromicina, gentamicina, clindamicina, ciprofloxacino, levofloxacino y cotrimoxazol. En las muestras de la fibrobroncoscopia se aisló el mismo microorganismo. Durante el ingreso recibió tratamiento antibiótico intravenoso, según antibiograma, con ciprofloxacino y amoxicilina-clavulánico con mejoría clínica, radiológica y de los reactantes de fase aguda, sin precisar drenaje. Fue tratada de forma ambulatoria durante 40días con resolución completa del cuadro.
Las ASE son excepcionales y constituyen solo el 1-9%2,4 de las AS, además de producirse generalmente en pacientes con factores de riesgo debilitantes y de inmunosupresión1-6. Igualmente, en el episodio agudo de un cuadro de neumonía es excepcional que se desarrolle simultáneamente una AS, pues suelen ser tardías1,2. En nuestro caso, dado que se aisló el mismo microorganismo, se atribuyó a neumonía bacteriémica. La neumonía por S.aureus en paciente sin factores de riesgo es por sí misma excepcional. La clínica de la ASE, a diferencia de nuestro caso, suele ser insidiosa, con fiebre, dolor en hombro, edema y eritema en la articulación esternoclavicular1,2,4-6. La prueba más utilizada para el diagnóstico es la ecografía, aunque la TAC es capaz de identificar el grado de destrucción ósea y la gammagrafía sirve para delimitar la zona inflamatoria y orientar mejor el foco a puncionar. El diagnóstico definitivo es el aislamiento del microorganismo a fin de administrar la antibioterapia adecuada, que debe prolongarse al menos 4semanas cuando no hay complicaciones1-3,5,6. Cuando existe osteomielitis extensa, abscesos, empiema o mediastinitis, se recomienda el tratamiento quirúrgico1,4,5. En conclusión, la neumonía puede causar raramente AS y excepcionalmente ASE, que puede pasar desapercibida en el contexto clínico. Por ser potencialmente incapacitante y mortal, el diagnóstico etiológico no debe demorarse.








