Varón de 37 años consumidor de drogas vía no parenteral que ingresa en el servicio de neumología por disnea brusca de 12h de evolución sin otra sintomatología asociada.
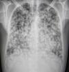
Se solicita Rx de tórax donde se objetivan múltiples nódulos pulmonares bilaterales, la mayoría cavitados (fig. 1). Dados los antecedentes del paciente y los hallazgos radiológicos la primera sospecha diagnóstica es tuberculosis, orientándose inicialmente las pruebas y el tratamiento hacia un proceso infeccioso, sin mejoría clínica.
Se completa estudio mediante TAC apreciándose innumerables nódulos pulmonares, cuyo tamaño oscila entre un tamaño milimétrico y 3,2cm, en su inmensa mayoría cavitados.
Múltiples adenopatías peribronquiales bilaterales y una masa ganglionar subcarinal de 3,9cm, presentando también conglomerado adenopático en axila derecha.
Se biopsia la masa axilar con resultado de sarcoma indiferenciado de alto grado que presenta un alto porcentaje de necrosis (aproximadamente el 75%).
El paciente recibe quimioterapia con doxorrubicina 25mg/m2/día asociado a ifosfamida 3g/m2/día durante 3 días, con mala evolución desde el punto de vista respiratorio, produciéndose el fallecimiento a las 4 semanas del ingreso.








