Presentamos el caso de un varón de 56 años, exfumador, con antecedentes de dislipemia, reflujo gastroesofágico y fibrosis pulmonar idiopática, remitido desde otro centro para estudio por progresión de su enfermedad intersticial. Había trabajado en una brigada de incendios y como labrador de campo. Tenía contacto con gallinas y un sofá de plumas. No presentaba antecedentes familiares de interés.
Hacía un año había presentado dolor centrotorácico pleurítico, fiebre, tos seca y disnea progresiva, orientándose inicialmente como una fibrosis pulmonar idiopática. Se eliminaron las posibles exposiciones domésticas, se trató con prednisona 30mg/día durante 3 meses y, posteriormente, con N-acetilcisteína 1.800mg/día, a pesar de lo cual el paciente empeoró clínicamente. En la exploración física destacaban crepitantes en la auscultación pulmonar y acropaquia. Los marcadores de autoinmunidad eran normales. Solo destacaban IgG elevadas frente a Aspergillus fumigatus y Penicillium spp. Las pruebas funcionales respiratorias objetivaban un volumen espiratorio forzado en el primer segundo del 62%, capacidad vital forzada del 62%, índice del 76%, volúmenes pulmonares globalmente disminuidos y capacidad de transferencia de CO del 54%. Presentaba hipoxemia moderada con normocapnia. En la prueba de la marcha caminó 600m con una caída de la saturación de oxígeno hasta el 87%. La tomografía axial computarizada mostró un patrón inconsistente con una neumonía intersticial usual (fig. 1). Se decidió realizar un lavado broncoalveolar, que mostró una celularidad con predominio de neutrófilos y una criobiopsia de pirámide basal derecha. El examen histológico mostró un parénquima pulmonar con cambios reactivos de predominio histiocitario intersticial sugestivos de neumonitis por hipersensibilidad.
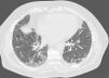
Tomografía computarizada de alta resolución de tórax en donde se observan opacidades reticulares subpleurales con bronquiectasias de tracción e imágenes de panal subpleural de predominio en lóbulos superiores. No se observa atrapamiento aéreo valorable en las secciones en espiración. Todo ello correspondería a un patrón consistente con neumonía intersticial usual (según los criterios del Consenso ATS/ERS/JRS/ALAT sobre el diagnóstico y manejo de fibrosis pulmonar idiopática, 2011).
Ante la sospecha de que algún elemento pudiera estar perpetuando el cuadro, se cultivaron las plumas del sofá objetivando crecimiento de Aspergillus fumigatus. Se orientó el caso como una neumonitis por hipersensibilidad (NH) crónica por exposición a este hongo. Se inició tratamiento con prednisona 30mg/día y se eliminó la exposición a este antígeno, mejorando clínica y funcionalmente en pocos meses.
El caso presentado supone la primera descripción de una NH inducida por plumas del relleno de un sofá colonizadas por Aspergillus fumigatus.
El diagnóstico diferencial entre la NH crónica en fase avanzada y la fibrosis pulmonar idiopática es difícil. La búsqueda intensiva de posibles exposiciones es fundamental para diferenciarlas1,2. Algunos hongos (Aspergillus, Acremonium, Alternaria, Beuvaria, Curvularia, Paecilomyces y Penicillium) sintetizan queratinasas que degradan queratina de plumas3. En un contexto clínico concordante, consideraremos la presencia de enfermedad en aquellos casos con niveles elevados de IgG frente a estos antígenos4,5. En este caso, los niveles de IgG frente a Aspergillus fumigatus estaban muy elevados, y además se confirmó la presencia de este hongo en un elemento al que el paciente continuaba expuesto, por lo que se asumió como el antígeno principal causante de la NH y del empeoramiento del cuadro.
En conclusión, se ha podido diagnosticar este caso al haber detectado el foco causal mediante cultivo de las plumas del sofá del paciente. Esta experiencia puede ser útil en pacientes con precipitinas positivas para hongos y sospecha de NH en los que no se detecta la exposición por anamnesis.
FinanciaciónEl presente estudio no ha recibido financiación de ningún tipo.
Conflicto de interesesLos autores declaran no tener ningún conflicto de intereses.
 
										
				



 
 
		




