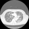
Presentamos el caso clínico de una mujer de 63 años no fumadora, de origen japonés, que consultó por tos seca de varios meses de evolución. El estudio con scanner TAC, tomografía por emisión de positrones (PET/TAC) y fibrobroncoscopia fue concluyente con adenocarcinoma de pulmón TTF1 positivo en estadio diseminado (masa pulmonar en lóbulo inferior izquierdo con múltiples nódulos bilaterales y lesiones óseas). Debido a las características de la paciente se solicitó el estatus mutacional del receptor del factor de crecimiento epidérmico (EGFR), confirmándose delección del exón 19 y optándose por iniciar primera línea con anti-EGFR. La tolerancia fue excelente, con mejoría clínica importante y el TAC de reevaluación mostró una mejoría evidente de las lesiones cumpliendo por criterios RECIST datos de respuesta parcial. Sin embargo, 2 meses después la paciente comenzó con dolor importante a nivel torácico izquierdo y sensación disneica. Se optó por adelantar el TAC de control, observándose importante progresión a nivel pulmonar y óseo, con aumento significativo del tamaño y número de los nódulos pulmonares y aparición de una lesión costal con masa de partes blandas asociada (fig. 1). En esta situación, ante la rápida progresión de la enfermedad en una paciente con cáncer de pulmón EGFR mutado, se optó por rebiopsiar para tipificar de nuevo el tumor. El resultado fue compatible con adenocarcinoma de pulmón EGFR mutado, identificándose 2 mutaciones distintas: por un lado, la mutación del exón 19 conocida y, por otro, la mutación T790M del exón 20, que confiere resistencia a los anti-EGFR. Debido a lo anterior se decidió suspender el inhibidor e iniciar quimioterapia. Sin embargo, el estado general de la paciente empeoró en pocos días, falleciendo poco tiempo después.
Con este caso queremos ilustrar 2 aspectos fundamentales: en primer lugar la necesidad de conocer el estatus mutacional del EGFR de los pacientes, y concretar el subtipo de mutación que presenta el tumor, dado que en hoy en día se sabe que no todas las mutaciones confieren la misma sensibilidad a los fármacos anti-EGFR. En nuestro caso, se identificó una mutación del exón 19, que junto con las del exón 21 son las más frecuentes y las que presentan una mayor sensibilidad a los inhibidores, reportándose supervivencias libres de progresión entorno a 9-10 meses en los diferentes ensayos1,2. Sin embargo, hasta el 50% de los pacientes tratados con inhibidor pueden desarrollar una resistencia adquirida, con aparición de la mutación T790M en el exón 20, como ocurre en nuestro caso clínico3,4. Este hecho es fundamental ya que se pierde el beneficio del tratamiento con estos fármacos y se deben buscar nuevas estrategias que lleven a la inhibición de la vía (inhibidores de c-Met o anti-EGFR de nueva generación). Hoy en dí la rebiopsia de estos pacientes no se hace de forma rutinaria. Sin embargo, como ilustra nuestro caso clínico es fundamental rebiopsiar; ya que, puede tener implicaciones terapéuticas y pronósticas importantes, cambiando la práctica clínica habitual.








