El cordoma condroide de localización vertebral torácica es un tipo de tumor que constituye una auténtica rareza. La incidencia anual del cordoma condroide se cifra en 0,1/100.000habitantes, y la afectación torácica se aprecia en el 2 al 5% de los casos.
Su diagnóstico definitivo se ve complicado por su semejanza con otros tumores como los condrosarcomas, por lo que es preciso acudir al estudio inmunohistoquímico.
Su capacidad de recidiva y la tendencia a la malignización a pesar de su naturaleza de lento crecimiento provocan que su tratamiento, predominantemente quirúrgico, sea de una complejidad nada desdeñable. Su comportamiento evolutivo tan agresivo está siendo motivo de estudio a nivel molecular y genético para la elaboración de nuevas terapias oncológicas médicas con el fin de complementar la cirugía y la radioterapia, cuando estas sean aplicables.
Se presenta un caso de localización torácica vertebral e intrapleural, así como el tratamiento practicado.
Chondroid chordoma is an extremely rare tumour with an annual incidence of around 0.1 cases per 100,000population. Involvement of the thoracic vertebrae may be present in 2-5% of cases.
Definitive diagnosis usually requires a suitable distinction between this and other mesenchymal tumours such as chondrosarcomas, so immunohistochemical analysis is virtually mandatory.
In spite of its slow-growing nature, chondroid chordoma tends to relapse, and it may eventually become malignant, often jeopardising the patient's prognosis. Although surgery remains the main therapeutic approach, research into the molecular and genetic aspects of this tumour is ongoing. These new advances are likely to improve future oncology therapies by complementing surgery and radiotherapy, changing the currently poor prognosis.
We report the case of a patient with a chondroid chordoma involving the thoracic vertebrae and pleural cavity, and the treatment performed.
El cordoma es un tumor maligno de lento crecimiento cuyo origen se produce a partir de restos de la notocorda1,2. Corresponde al 1-4% de los tumores malignos primarios óseos, y el 50% se localizan en la región sacrococcígea1. Su incidencia anual se cifra en 0,1/100.000habitantes, y la afectación torácica se aprecia en el 2 al 5% de los casos2.
Es la única neoplasia de origen embriogénico que se presenta en décadas tardías de la vida. En el caso de los vertebrales, suele aparecer en individuos jóvenes y es mucho más agresiva3. Existe una preponderancia en los varones (2,7/1 a 1,6/1)1,2.
Los cordomas tienen una gran capacidad de recidiva y de malignización, a pesar de su naturaleza de lento crecimiento1-8.
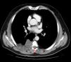
Observación clínicaVarón de 52años, sin antecedentes de interés, con dolor torácico dorsal de 6meses de evolución. Al no mejorar la clínica del paciente, se optó por la realización de una resonancia magnética (RM), previa radiografía de tórax normal. El diagnóstico fue de hidatidosis costal con extensión intrarraquídea (fig. 1). Ante la duda de la naturaleza de dicho proceso, se solicitó una TC toracoabdominal, hallando una masa paravertebral derecha de 88×60×95mm de predominio quístico y contornos lobulados, morfología extrapleural e introducción por el orificio foraminal derecho entre el sexto y el séptimo arcos costales hacia el canal medular, extendiéndose en localización paravertebral desde el cuarto hasta el séptimo arcos costales posteriores derechos, afectando la grasa extrapleural y extendiéndose hacia la musculatura dorsal por los espacios intercostales y sin afectación costal. Con todo ello, la nueva sospecha diagnóstica fue de sarcoma de partes blandas (fig. 2). Se realizó una punción-aspiración con aguja fina (no diagnóstica). Dado el hallazgo intrarraquídeo de la masa, se decidió realizar un abordaje combinado neuroquirúrgico y torácico.
Se realizó una resección y exéresis de la tumoración intrarraquídea extradural con laminectomía D5-D6 y exéresis en bloque de una gran tumoración dependiente de la pleura parietal, junto con resección atípica del segmento6 y segmento posterior del lóbulo superior derecho, sumando una resección costal de la sexta y la séptima costillas y sus respectivos espacios intercostales, además del quinto espacio intercostal. Se apreciaron otras lesiones contiguas a la gran tumoración que obligaron a su resección extrapleural. Se realizó un raspado de la zona vertebral D6-D7. Una vez resecada en bloque toda la pieza, se pudieron observar lesiones diseminadas en la pleura diafragmática y en la parietal sospechosas de implantes que se demostraron secundarias a la lesión. El defecto se reconstruyó mediante material protésico cubierto por el músculo trapecio. Fue dado de alta al séptimo día postoperatorio con una evolución clínica satisfactoria y sin afectación neurológica.
El estudio anatomopatológico reveló la presencia de un cordoma condroide de 12,8×7,3cm, que respetaba la musculatura esquelética subyacente y también el parénquima pulmonar resecado.
Tras tratamiento con radioterapia adyuvante e inhibidores de EGFR, en estos momentos la enfermedad está estabilizada y el paciente permanece sin clínica neurológica.
DiscusiónLa presencia de cordomas a nivel de las vértebras torácicas es una entidad poco frecuente (tabla 1). Su síntoma principal es el dolor de tipo mecánico pero que progresa con aparición de sintomatología neurológica por su crecimiento.
Series de cordomas con afectación vertebral
| Autor | Año | Cordomas vertebrales/total |
| Utne y Pugh | 1955 | 2/72 |
| Higinbothan | 1967 | 2/46 |
| Cummings | 1983 | 0/34 |
| Volpe | 1983 | 0/25 |
| Rich | 1985 | 1/48 |
| O’Neill | 1985 | 0/34 |
| Amendola | 1986 | 1/21 |
| Azzarelli | 1988 | 0/33 |
| Coffin | 1993 | 2/12 |
| Autor | Año | Cordomas vertebrales/cordomas espinales |
| Sundaresan | 1979 | 2/54 |
| Meyer | 1984 | 3/21 |
| Bjornsson | 1993 | 7/40 |
| Boriani | 2006 | 1/52 |
La TC sirve para caracterizar la afectación de los cuerpos vertebrales, la presencia de un tumor paravertebral, la afectación intraespinal y la del espacio discal1. La RM ayuda a la clarificación de la extensión epidural, la compresión medular o bien la presencia de metástasis epidurales1,5. La utilización de la PET o PET-TC está muy discretamente referenciada en la literatura tanto para el diagnóstico inicial como para el seguimiento, siendo su comportamiento como el de una lesión con incremento de la captación de la glucosa9.
Según su histopatología4, se clasifican en: clásico, condroide, desdiferenciado, sarcomatoide, intradural y extrarraquídeo (mediastínico).
Su diagnóstico se afianza por la positividad de la citoqueratina6 y la expresión del gen brachyury7. Dicho gen es un biomarcador específico para permitir la diferenciación entre cordomas y condrosarcomas7,10, siendo motivo de estudio de terapias génicas. En esa misma línea se están investigando otras alternativas, como el uso de inhibidores del EGFR (erlotinib y la combinación de gefitinib-cetuximab), con resultados esperanzadores8.
El tratamiento ideal pasa por un abordaje quirúrgico agresivo, intentando conseguir una resección en bloque con márgenes quirúrgicos libres lo más amplios posibles, ya que de otra manera la recidiva será la norma2,5, no siendo siempre posible dada la extensión de la lesión y/o las estructuras afectadas.
Sin márgenes adecuados, es preciso realizar una radioterapia adyuvante para intentar aumentar una hipotética supervivencia libre de enfermedad1,2. La tasa de recidiva local está en torno al 26-68%2. Los cordomas pueden metastatizar en el 20 al 60% de los casos1 (piel, pulmón, sistema linfático…). En general, la supervivencia a 5años de este tumor se halla entre el 10 y el 70%1,2,8.










