La fibrosis pulmonar idiopática (FPI) es una neumonía intersticial fibrosante crónica, de causa desconocida, con patrón radiológico/histológico de neumonía intersticial usual (NIU)1, con una incidencia de neumotórax del 12%, que puede presentarse combinada con enfisema centrolobulillar y paraseptal en lóbulos superiores2. Las fístulas broncopleurales (FB), comunicaciones entre el espacio pleural y el árbol bronquial pueden originarse por alteraciones pleuroparenquimatosas previas, y suponen un reto terapéutico con gran morbilidad, donde prima la individualización del tratamiento3.
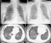
Presentamos el caso de un varón de 67 años con antecedentes de hidroneumotórax secundario a contusión pulmonar y neumotórax (N) espontáneo, diagnosticado de FPI, (subtipo síndrome combinado fibrosis/enfisema) según criterios clínico-radiológico-funcionales ATS/ERS 20111, tratado con pirfenidona. Consulta por clínica de dolor torácico, disnea brusca, con uso de músculos respiratorios accesorios, abolición del murmullo vesicular en hemitórax derecho y radiografía compatible con N a tensión (fig. 1A). Tras la colocación de drenaje endotorácico (DET) es trasladado a planta de hospitalización, objetivándose cámara pleural con fuga aérea (FA) persistente, a pesar de DET en 3 ocasiones (2 de ellos calibre fino, —8 y 10 F— y otro grueso —24 F—), sin resolución del N.
Se desestima la cirugía, ante el elevado riesgo quirúrgico por su enfermedad parenquimatosa, practicándose fibrobroncoscopia flexible (FF) el día 21 de ingreso mediante sedación profunda (paciente en posición semi-sentado con DET de 24G en hemitórax derecho con sello de agua que permitía objetivar la ausencia/presencia de FA), sin encontrar alteraciones endoscópicas en el árbol bronquial derecho. Se accedió al bronquio subsegmentario (BS) lateral del bronquio correspondiente al lóbulo medio (origen sugestivo de localización, tras estudio detallado de la tomografía axial computarizada [TAC]), procediendo mediante catéter Fogarty® al colapso completo de dicho BS, revelando ausencia de FA. Se procedió a la instilación de 2ml de cianoacrilato endobronquial guiado por catéter telescopado, sin complicaciones inmediatas. Al término de la FF, existía presencia de FA intermitente con progresiva desaparición, mostrando ausencia de N en la radiografía de tórax realizada, previa al alta hospitalaria, tras 16 días de la FF (fig. 1B).
No existen guías de consenso para el tratamiento adecuado en este tipo de pacientes. Se incluyen como opciones terapéuticas; desde procedimientos quirúrgicos a la FF intervencionista con utilización de diferentes pegamentos, coils y sellantes3,4. El uso del cianoacrilato, pegamento tisular ampliamente utilizado en la práctica médica, inicialmente condiciona un sellado de la FB, induciendo en un segundo tiempo una respuesta inflamatoria condicionante de fibrosis, y proliferación de la mucosa, que condiciona un sellado permanente.
Otras opciones terapéuticas barajadas en este caso incluirían: el uso del nitrato de plata (pegamento utilizado ampliamente en las broncoscopias rígidas para el sellado de fístulas con FA sobre el lecho quirúrgico), spignots de Watanabe® (cilindros de silicona con pequeñas extensiones redondeadas que permiten su anclaje bronquial, con infrecuente migración) o válvulas endobronquiales (desmontables, bien toleradas, con pocas complicaciones conocidas y que no excluyen intervención quirúrgica futura)4,5. Actualmente la FF intervencionista plantea un tratamiento alternativo para muchas enfermedades de la vía aérea, clásicamente reservadas para el ámbito de la cirugía torácica.








