La amiloidosis es una enfermedad infrecuente que es consecuencia del depósito de fibrillas de amiloide formadas por proteína insoluble en diversos tejidos1. No se han identificado los factores genéticos y ambientales que influyen en la susceptibilidad individual a los depósitos de amiloide2.
La amiloidosis pulmonar primaria es una manifestación de la enfermedad muy poco frecuente, que está limitada a los pulmones y estructuras asociadas, sin afectación de ningún otro órgano2–4.
Los nódulos de amiloide en el parénquima pulmonar suelen ser un hallazgo accidental que es preciso diferenciar de otras enfermedades4,5. Los nódulos de amiloide pulmonares con captación en la tomografía por emisión de positrones (PET) son muy poco frecuentes. Solamente hay 7 casos publicados hasta el momento en la literatura médica en lengua inglesa1.
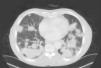
Un varón de 80 años de edad, exfumador, acudió por disnea y manifestaciones sistémicas (astenia, anorexia y pérdida de peso) de unos pocos meses de evolución. La exploración física y los análisis de laboratorio no mostraron alteraciones significativas. La radiografía de tórax mostró múltiples lesiones nodulares dispersas por todos los campos pulmonares. La TC toracoabdominal mostró lesiones pulmonares nodulares dispersas, de contornos lobulados y sin calcificaciones, en ambos pulmones (fig. 1). La broncoscopia no mostró microorganismos ni células malignas. La PET-TC llegó a la conclusión de que algunas lesiones de ambos pulmones tenían una afinidad significativamente mayor por la FDG y que no había signos de lesiones de captación elevada en ningún otro lugar del organismo. Las pruebas de la función pulmonar mostraron una obstrucción moderada de las vías aéreas. Las biopsias transtorácica y transbronquial mostraron células amorfas con características de amiloide. Después de 24 meses, el paciente mantiene un buen estado clínico y está siendo tratado con un broncodilatador de acción prolongada (LABA) inhalado y un corticosteroide inhalado.
La amiloidosis pulmonar primaria se clasifica en 4 tipos: amiloidosis traqueobronquial, amiloidosis nodular, amiloidosis intersticial infiltrante y amiloidosis de ganglios linfáticos. La evaluación anatómica y funcional en la amiloidosis del aparato respiratorio debe incluir probablemente radiografía simple, TC, endoscopia y pruebas de la función respiratoria5.
Radiológicamente, la amiloidosis pulmonar parenquimatosa nodular primaria se manifiesta por nódulos únicos o múltiples en cualquier lóbulo, y debe tenerse en cuenta en el diagnóstico diferencial de las neoplasias pulmonares primarias o metastásicas, la tuberculosis pulmonar, la sarcoidosis pulmonar y las enfermedades del tejido conjuntivo2. Los nódulos son generalmente periféricos y subpleurales y presentan 4 características típicas en la TC: contornos bien delimitados y lobulados, calcificación, a menudo central o de patrón irregular en el interior del nódulo, con múltiples formas y tamaños y crecimiento lento, a menudo a lo largo de años, sin remisión3.
La F-FDG PET-TC es ampliamente utilizada en la detección del cáncer2. Al igual que ocurre con otras modalidades diagnósticas, pueden producirse resultados falsos positivos y ciertos trastornos no cancerosos, como tuberculosis, sarcoidosis, enfermedades fúngicas, enfermedad pulmonar intersticial, artrosis, trombosis vasculares, osteoporosis y nódulos reumatoides, pueden mostrar tasas metabólicas altas1,2. Nuestro caso, al igual que los casos descritos por Khan et al.1 y Zhang et al.2, presentaba múltiples nódulos de amiloidosis pulmonar con una captación de F-FDG moderada.
El examen anatomopatológico de una muestra de tejido es el patrón de referencia para el diagnóstico de la amiloidosis.
Al microscopio óptico, la tinción de hematoxilina y eosina (H&E) muestra sustancias amiloides rosadas homogéneas, sin estructura celular, que suelen acompañarse de fibrosis y una birrefringencia de color rojo-verde características al microscopio de luz polarizada en el tejido teñido con rojo Congo4. La información sobre el pronóstico y el tratamiento del amiloide localizado en el pulmón procede de datos testimoniales. Hasta la fecha, no disponemos de tratamientos totalmente eficaces4. La enfermedad nodular puede tener una progresión lenta, con un aumento del tamaño o del número de lesiones1. Algunos pacientes tienen un pronóstico excelente4 mientras que otros sufren una progresión de la enfermedad hasta la muerte por insuficiencia respiratoria1.
Aunque la amiloidosis pulmonar parenquimatosa primaria es un trastorno muy poco frecuente, un diagnóstico definitivo puede permitir la vigilancia del paciente y evitar intervenciones y tratamientos innecesarios.








