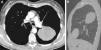
Presentamos el caso de una paciente joven asintomática, que presentó una masa torácica con un diagnóstico final de tumor neuroectodérmico primitivo (TNEP) intracisural. La paciente era una mujer de 27 años en la que se detectó accidentalmente una masa pulmonar en una radiografía de tórax. Todos los análisis de laboratorio dieron resultados normales. La tomografía computarizada (TC) mostró una masa elíptica, heterogénea, con captación de contraste, en el hemitórax izquierdo, de un diámetro de ∼12cm y bordes lisos. La masa estaba situada en el interior de la cisura oblicua de la pleura izquierda (fig. 1). La citología mediante aspiración por punción con aguja fina bajo guía de TC no fue concluyente. La resección quirúrgica evidenció una masa intracisural. La tinción de hematoxilina y eosina mostró un patrón de células redondas sólidamente compactadas con una sorprendente uniformidad. Inmunohistoquímicamente, las células tumorales eran intensamente positivas para MIC2 (CD99) y para vimentina. Otros marcadores, como citoqueratina (CK), cáncer de pulmón microcítico, cromogranina, CK7, CK19 y factor de transcripción tiroideo 1, fueron negativos. Los estudios de genética molecular con el empleo de hibridación de fluorescencia in situ mostraron una translocación positiva de los brazos largos de los cromosomas 11 y 22 [t(11;22)(q24;q12)]. Estos resultados eran compatibles con un TNEP. Los métodos estándares de estadificación, incluida la resonancia magnética (RM) cerebral, la RM de todo el cuerpo, la TC abdominal y la gammagrafía ósea, no detectaron metástasis a distancia. Tras una resección quirúrgica completa, la paciente fue tratada con quimioterapia. Posteriormente ha seguido un control ambulatorio y su estado se ha mantenido inalterado durante un período de seguimiento de 2 años.
Los TNEP torácicos, también denominados tumores de Askin, tienen su origen probablemente en las células embrionarias de la cresta neural. Están formados por células redondas pequeñas con diferenciación neural, y se asocian a una translocación del cromosoma 221,2. Es característico que aparezcan en los tejidos blandos del tórax. La localización del tumor primario en el interior del pulmón es muy poco frecuente, pero a menudo hay afectación pleural3. Los pacientes suelen ser niños o adultos jóvenes, aunque el TNEP puede aparecer a cualquier edad. El dolor en la pared torácica es la forma de presentación más frecuente y puede acompañarse de derrame pleural y disnea4.
La observación más frecuente en la TC en los TNEP es una masa con captación heterogénea de contraste. Ocasionalmente se observa un área central de baja densidad, sin captación de contraste, en el interior de la masa. El aspecto heterogéneo de las neoplasias grandes suele deberse a áreas focales de hemorragia o necrosis5.
El diagnóstico del tumor se hace con el empleo de varias técnicas como la microscopia óptica, histológicamente por la presencia de células redondas pequeñas dispuestas en un patrón lobular y asociadas con rosetas o seudorrosetas, y por los signos inmunohistoquímicos y ultraestructurales de diferenciación neural. En la actualidad se cree que la translocación recíproca de los brazos largos de los cromosomas 11 y 22 [t(11;22)(q24;q12)] es característica de esta familia de tumores1. Aunque no hay unas directrices estándares para el tratamiento, la quimioterapia neoadyuvante y resección quirúrgica con o sin radioterapia como terapia local, seguida de quimioterapia adyuvante parece ser la mejor opción2. En conclusión, aunque los TNEP cisurales primarios son un sarcoma de tejidos blandos extremadamente infrecuente, es preciso contemplar esta posibilidad en el diagnóstico diferencial de una masa cisural primaria.








