La trombosis de la vena ácigos (TVA) y la trombosis de la vena hemiácigos (TVH), es una entidad rara, aunque su etiopatogenia es desconocida, se ha asociado a factores predisponentes como la presencia de un aneurisma de la vena ácigos (AVA) subyacente1 u otros factores protrombóticos, siendo excepcionales aquellas TVA sobre una vena ácigos y hemiácigos normal2. El sistema de la ácigos, proporciona un acceso alternativo de la vena cava superior (VCS) e inferior a la aurícula derecha, por lo que TVA suele ser asintomática, dificultando su diagnóstico precoz y tratamiento, pudiendo complicarse con tromboembolismo pulmonar (TEP), síndrome de vena cava (SVC) e incluso ictus en el caso de existir shunt cardiaco, lo que condiciona un peor pronóstico3. El objetivo de este trabajo es informar sobre un caso de TVA y TVH, aguda y sintomática, así como realizar una revisión narrativa sobre los aspectos más relevantes de esta rara entidad.
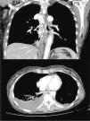
Mujer de 60 años, exfumadora, diagnosticada de adenocarcinoma de ovario en tratamiento con quimioterapia, que presentaba disnea súbita, pesadez de miembros superiores y síncope. A la exploración destacaba tensión arterial 110/60mmHg, frecuencia cardiaca 110lpm, saturación de oxígeno del 95%, con eritema y edema facial, sin signos de circulación colateral ni adenopatías. En la analítica solo destacaba hemoglobina de 8,6g/dl. La angio-TAC de tórax evidenciaba una trombosis extensa a nivel de la vena ácigos y hemiácigos, sin signos de TEP ni SVC (fig. 1). Tanto la ecografía de miembros inferiores como el ecocardiograma no mostraron hallazgos de interés. El estudio de trombofilia, incluyendo los anticuerpos antifosfolípidos fueron negativos. La paciente recibió tratamiento con tinzaparina ajustada al peso, decidiéndose mantener la anticoagulación hasta la finalización de la QT (9 meses), con completa resolución de la sintomatología respiratoria y sin evidenciar complicaciones, apreciando en la TAC de seguimiento re-permeabilización de la TVA.
Realizamos una búsqueda en Pubmed de artículos originales y revisiones utilizando el término «azygos vein thrombosis». El artículo original era elegible para su inclusión en el caso de identificar TVA y/o hemiácigos. Se excluyeron los resúmenes, los estudios en animales y los artículos escritos en idiomas distintos del inglés o español. Se analizaron las referencias de cada artículo incluido en esta revisión para poder identificar otros estudios de interés. Hasta junio de 2020, encontramos un total de 216 trabajos elegibles. Diecinueve trabajos cumplían los criterios de inclusión y todos ellos se referían a casos clínicos aislados (tabla 1). De los 19 pacientes, hubo un ligero predominio masculino (57,8%), con una edad media de 55 años. La presencia de un AVA fue el factor predisponente más frecuente en un 47,3%1,4–11, seguido de la trombosis séptica (15,78%)2,12,13 y los catéteres intravasculares (10,5%)14,15. Otras etiologías incluían a otros factores protombóticos3,16 o malformaciones congénitas17. Aunque, es bien conocido la alta prevalencia de enfermedad tromboembólica venosa (ETEV) en pacientes oncológicos, la incidencia de TVA asociada al cáncer es inusual18,19.
Factores predisponentes, clínica y actitud terapéutica de los trabajos publicados sobre trombosis de la vena ácigos
| Referencia bibliográfica | Año de publicación | Género | Edad | Factor predisponente | Clínica | Evento/s adverso/s | Actitud terapéutica de la TVA | Muerte |
|---|---|---|---|---|---|---|---|---|
| Savu et al.1 | 2020 | Mujer | 74 | AVA | Dolor torácico, tos y disnea | TVA | Resección quirúrgica | No |
| Galeano-Valle et al.16 | 2019 | Varón | 75 | SVC secundario a derrame pleural tuberculoso sometido a radioterapia con 24 años | Edematización de miembros superiores | TVA en VCS, braquiocefálicas, ilíacas y la VCI y la porción distal de la vena ácigos. SVC | Rivaroxabán | No |
| Abdulla et al.18 | 2018 | Varón | 60 | Colangiocarcinoma | Asintomático | TVA | No especifica | No especifica |
| Liew et al.3 | 2017 | Varón | 57 | CPRE por coledocolitiasis | Dolor torácico agudo y disnea | TVA | Ninguno | No |
| Lee et al.12 | 2016 | Mujer | 73 | Infección urinaria, fractura del fémur | Fiebre | Síndrome antifosfolípido transitorio y TVA | Antibióticos | No |
| Sherif et al.14 | 2015 | Varón | 26 | Implante de PICC para tratamiento antibiótico por discitis complicada | Fiebre, dolor torácico pleurítico y tos | TVA | Heparina seguida de warfarina | No |
| Gheith et al.15 | 2014 | Varón | 18 | Trasplante renal, catéter venoso central, quilotórax | Disnea e hipoxemia | TVP de vena yugular interna izquierda y derecha, subclavias bilaterales, braquiocefálica, trombosis incompleta de VCS y TVA | Warfarina, drenaje pleural, octreotida | No |
| Pradhan et al.13 | 2013 | Mujer | 32 | ADVI (heroína)Absceso epidural | Dolor torácico | TVA y embolismos sépticos pulmonares | Antibióticos | No |
| Kurihara et al.4 | 2012 | Mujer | 73 | AVA | Asintomático | TVA | Resección quirúrgica | No |
| Kang et al.2 | 2012 | Varón | 51 | No | Disnea, dolor torácico y fiebre | Embolia séptica de VA con embolismos sépticos pulmonares | Antibióticos | No |
| Smith et al.17 | 2011 | Varón | 33 | Anomalía congénita de vena cava inferior con continuación ácigos | Cólico nefrítico y hematuria | TVA | Anticoagulación indefinida | No |
| Yang et al.5 | 2011 | Mujer | 75 | AVA | Astenia y tos crónica | TVA y TEP | Heparina (4 días) seguido de warfarina durante 2 meses | No |
| Ishikura et al.6 | 2010 | Mujer | 51 | AVA | Asintomática | TVA | Resección quirúrgica | No |
| Probst et al.19 | 2010 | Mujer | 81 | Carcinoma renal | No especifica | TVA, trombosis de la VCI y la vena renal izquierda | No especifica | No especifica |
| Gnanamuthu et al.7 | 2008 | Varón | 73 | AVA | Tos y disfagia leve | TVA | Resección quirúrgica | No |
| Irurzun et al.8 | 2008 | Varón | 77 | Tratamiento endovascular de AVA | Tos, sibilancias e hipo | TVA | Ninguna | No |
| Nakamura et al.9 | 2007 | Mujer | 37 | AVA | Palpitaciones y dolor torácico | TVA y TEP | Anticoagulación ineficaz y resección quirúrgica urgente | No |
| Gomez et al.10 | 2004 | Varón | 20 | AVA | Dolor torácico | TVA | Resección quirúrgica | No |
| Icard et al.11 | 1999 | Varón | 68 | AVA | Dolor torácico | TVA | Resección quirúrgica | No |
ADVI: adicta a drogas vía inhalada; AVA: aneurisma de la vena ácigos; CPRE: colangio pancreatografía retrógrada endoscópica; PICC: catéter venoso central de inserción periférica; SVC: síndrome de vena cava; TEP: tromboembolia de pulmón; TVA: trombosis de la vena ácigos; TVP: trombosis venosa profunda; VCI: vena cava inferior; VCS: vena cava superior.
De forma clásica, la TVA aislada se consideraba como una trombosis venosa profunda (TVP) asintomática de localización inusual hasta que se asocia con complicaciones como el TEP o el SVC. En nuestro caso clínico, el episodio sincopal, así como la clínica sugestiva de SVC, permitió confirmar la presencia de una TVA y TVH en las pruebas de imagen. En esta revisión observamos como la TVA fue sintomática en la mayoría de los casos (84,2%), siendo el dolor torácico el síntoma más frecuente (42,1%), seguido de la tos (26%) y la disnea (21%). Entre las complicaciones más frecuentes, un 15,7% de los casos presentaron trombosis en otras localizaciones15,16,19, seguidos del TEP (10,5%)5,9, embolia pulmonar (EP) séptica (10,5%)2,13, SVC (5,2%)16 y síndrome antifosfolípido transitorio (5,2%)12.
Para el diagnóstico de la TVA, la angio-TAC de tórax es la prueba de elección, valorando la realización de una flebografía-TAC si existe sospecha de SVC. En los AVA trombosados, se ha sugerido el uso de la TC-multidetector dinámico con ECG permitiendo la valoración del daño miocárdico5.
Al ser una trombosis de localización inusual, las recomendaciones de tratamiento de la TVA se extrapolan de los estudios publicados de ETEV20. Casi un tercio (31,6%) de las TVA se trataron con tratamiento anticoagulante, documentándose un caso de ineficacia a la anticoagulación con necesidad de resección quirúrgica9. Los antibióticos son la primera línea de tratamiento en la TVA asociada a infección y/o EP séptica2,12,13, mientras que la anticoagulación en estos casos se vuelve controvertida. En algunos casos se ha documentado tratamiento endovascular, trombectomía o extracción de dispositivos infectados11,12.
A pesar de la asociación del AVA, con la TVA y el TEP, el tratamiento del aneurisma asintomático no está bien establecido, por lo que los expertos recomiendan seguimiento radiológico4. Además, en los AVA trombosados asintomáticos no existe un consenso establecido, oscilando desde la anticoagulación indefinida, a la resección quirúrgica para prevenir la EP. En nuestra serie, un 36,8% de los casos de AVA sintomáticos y/o trombosados fueron sometidos a resección quirúrgica sin anticoagulación posterior1,4,6,7,9–11. En el SVC secundaria a la TVA, la anticoagulación es el tratamiento de primera línea, siendo eficaz hasta en el 88% de los pacientes, pudiendo combinarse con un stent percutáneo para el alivio sintomático inmediato y la quimioterapia y/o RT con intención curativa o paliativa a largo plazo. Según los expertos, la anticoagulación debe mantenerse de forma indefinida para el tratamiento del SVC secundario a trombosis21. En la serie revisada no hubo muertes en el seguimiento de los pacientes.
En conclusión, la importancia del caso clínico radica en la insólita forma de presentación de una TVP de localización inusual sobre el sistema ácigos no alterado anatómicamente, siendo esta una presentación extremadamente rara de forma aislada y cuya presentación clínica sugestiva de SVC permitió el diagnóstico precoz y tratamiento.
Conflicto de interesesLuis Jara Palomares ha recibido honorarios como ponente o en concepto de traslado y alojamiento por parte de Rovi, Pfizer, Menarini, Leo-Pharma y GSK, independientemente del manuscrito publicado. María Isabel Asensio Cruz ha recibido honorarios en concepto de traslado y alojamiento por parte de Rovi, Novartis y Teva, independientemente del manuscrito publicado. Raquel Morillo Guerrero ha recibido honorarios como ponente o en concepto de traslado y alojamiento por parte de Pfizer, Menarini y GSK, independientemente del manuscrito publicado. El resto de autores no declaran ningún conflicto de intereses.









