La sarcoidosis es una enfermedad granulomatosa de causa desconocida, muy rara en los niños1,2. Pueden distinguirse dos formas clínicas bien diferenciadas durante la infancia: la sarcoidosis preescolar, que se produce en niños menores de 5 años, y la sarcoidosis del niño mayor. La sarcoidosis preescolar incluye los casos que se inician entre los primeros meses de vida y los 4 años de edad; se caracteriza por una tríada de erupción cutánea, artritis y uveítis. A partir de los 5 años de edad la sarcoidosis infantil cambia su forma de presentación, normalmente presentan enfermedad multisistémica. La forma más frecuente en el niño mayor de 5 años es un síndrome constitucional. Junto con estos síntomas generales, son frecuentes la fiebre y los síntomas pulmonares, pueden palparse adenopatías periféricas y puede existir hepatomegalia o esplenomegalia3. El pulmón es el órgano más frecuentemente afectado. Los síntomas pulmonares son normalmente leves4. La afectación del parénquima es usualmente un patrón intersticial, aunque se han descrito patrones nodulares, alveolares y fibrosis5. El diagnóstico de sarcoidosis es por exclusión. Una vez establecida la sospecha clínica, la prueba más rentable es la realización de una biopsia1. La base del tratamiento de la sarcoidosis la constituyen los esteroides orales y el metotrexato3,6. A pesar de la buena evolución clínica, el pronóstico a largo plazo de estos casos resulta incierto6.
Presentamos un caso de una niña de 5 años con sarcoidosis pulmonar y sistémica.
Se trata de una niña de 5 años, sin antecedentes personales de interés, que consulta al servicio de urgencias por fiebre de 10 días de evolución, sin mejoría tras tratamiento antibiótico. Su pediatra habitual refiere que la paciente presenta, desde hace 5 meses, astenia, dolor abdominal periumbilical y febrícula intermitente.
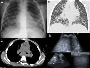
En la exploración física destaca discreta hepatomegalia-esplenomegalia. La radiografía de tórax realizada de urgencias muestra un patrón alveolo-intersticial bilateral con predominio en bases (fig. 1A). El hemograma del ingreso es compatible con proceso infeccioso agudo. La VSG y PCR durante todo el ingreso permanecen normales. La saturación de O2 al ingreso y los gases capilares fueron normales. Los niveles de enzima conversiva de la angiotensina (ECA) se encontraban elevados (236 U/L). Todos los cultivos, incluido el cepillado bronquial, fueron negativos, así como el resto de estudios microbiológicos. En los controles radiográficos posteriores se observa la aparición de adenopatías mediastínicas e hiliares, con mejoría del patrón descrito. Se realiza ecografía abdominal, en la que se identifican esplenomegalia y múltiples adenopatías periesplénicas y retroperitoneales, así como en fosas iliacas, y una importante nefrocalcinosis (fig. 1D). Se realiza tomografía computarizada (TC) toracoabdominal que confirma los hallazgos descritos, apreciándose en el parénquima pulmonar un patrón pulmonar alveolo-intersticial difuso y bilateral, con presencia de nódulos de aspecto acinar, engrosamiento de septos interlobulillares y áreas de vidrio deslustrado; adenopatías hiliares y mediastínicas (fig. 1B-C).
A. Rx de tórax, ensanchamiento de las bandas paratraqueales y aumento de tamaño hiliar secundario a la presencia de adenopatías. Aumentos de densidad mal definidos basales bilaterales, con tendencia a la confluencia, asociado a pequeñas imágenes nodulares. B. TC de tórax, opacidades nodulares en vidrio deslustrado y nódulos bien definidos distribuidos difusamente. Engrosamiento de septos interlobulillares. C. TC de tórax, adenopatías hiliares y subcarinales. D. Ecografía abdominal, esplenomegalia con presencia de multitud de lesiones focales hipoecogénicas de pequeño tamaño debidas a la presencia de granulomas. Aumento de ecogenicidad de las pirámides renales, ocasionado por depósitos de calcio y nefrocalcinosis. (asterisco).
Se realiza biopsia de adenopatía en fosa iliaca derecha con diagnóstico de linfaadenitis reactiva. Ante todos estos hallazgos, una vez descartadas enfermedades infecciosas y procesos linfoproliferativos, el primer diagnóstico a considerar es una sarcoidosis pulmonar grado II. El paso siguiente para llegar al diagnóstico definitivo sería la biopsia pulmonar junto con lavado broncoalveolar, pero dada la regresión espontánea de las lesiones pulmonares y la linfaadenitis abdominal, se decide adoptar una conducta expectante y realizar un estrecho seguimimiento.
Seis meses más tarde, ante una nueva reagudización pulmonar, se realiza una TC torácica que muestra múltiples nódulos con adenopatías axilares y mediastínicas iniciándose tratamiento con corticoides (15mg/día), que se aumenta a 30mg/día más metotrexato (7,5mg/semana) tras aparición de lesiones focales esplénicas, sugestivas de granulomas sarcoideos, visualizados en ecografía abdominal. Actualmente la paciente sigue con el tratamiento pautado de corticoides más metotrexato, realizándose controles periódicos.








