A 36-year-old woman with T-cell lymphoma was hospitalized due to disease progression. During the follow-up of the immunocompromised patient, decreased lung sounds and rhonchi were heard on physical examination. Chest radiography showed cavitary areas in both lungs, and computer tomography (CT) was planned. Air crescent sign was observed, and invasive aspergilloma was suspected. As a result of blood tests for multiple infective agents, elevated galactomannan values were observed in the blood, and it was observed that the increase continued in follow-up values [0.93–1.66–1.74 index value (Ref: 0–0.5)]. The patient was diagnosed of probable invasive aspergilloma due to clinical findings, high galactomannan levels in the blood and air crescent on CT examination.
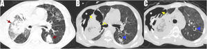
During the follow-up of the immunosuppressed patient who continued to receive chemotherapy for T-cell lymphoma, decreased saturation values, respiratory distress and hemoptysis were observed. Follow-up CT scan showed diffuse ground-glass densities in both lungs. Red arrows indicate ground-glass densities and consolidated areas (Fig. 1A). Yellow arrows indicate pleural rupture, white asterixes indicate massive subcutaneous emphysema, yellow curved arrow indicates bronchopleural fistula, and blue arrowheads indicate different aspergillomas showing air crescent. (Fig. 1B and C). CT evaluation showed that the large cavitary lesion in the right lung had progressed to the adjacent pleura and ruptured to form a bronchopleural fistula, and the free air in the cavity caused massive subcutaneous emphysema. Invasive aspergilloma progresses very rapidly, especially in immunosuppressed patients.
Computed tomography of the immunocompromised patient showed diffuse ground-glass densities in both lungs. Red arrows show ground-glass densities, consolidated areas (A). Yellow arrows show pleural rupture. White asterisks indicate the area of subcutaneous emphysema, yellow curved arrow indicate bronchopleural fistula, blue arrowheads indicate different aspergillomas showing the air crescent (B and C).
It should be kept in mind that giant cavitary aspergilloma lesions may destruct adjacent structures and cause complications such as pneumothorax and subcutaneous emphysema.1
FundingNo funding was received for this study.
Conflict of InterestThe author declare that they have no conflict of interest.








