Bronchogenic cysts (BCs) originate from anomalous budding of the foregut during embryogenesis. The most common location is the middle mediastinum, but it can also involve other sites (lung, neck, pericardium, retroperitoneum, etc.). We report a case of an unusual retrocrural BC.
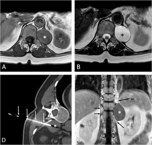
A 58-year-old woman complained of chest discomfort. A computed tomography (CT) identified a low-attenuation retrocrural soft-tissue lesion at the level of T12, suggesting the diagnosis of a nerve sheath tumor or a focus of extramedullary hematopoiesis. Magnetic resonance imaging (MRI) showed a cystic nature, with a differential diagnosis that included a lymphangioma/lymphocele, a cystic nerve sheath tumor, or a chronic hematoma (Fig. 1A–D). A CT-guided fine-needle aspiration (FNA) of the lesion was performed (Fig. 1E), revealing the presence of benign-appearing ciliated columnar epithelial cells within a mucinous background. Based on these findings, a diagnosis of bronchogenic cyst (BC) was made. The patient was referred to thoracic surgery but, given that the cyst had been partially evacuated and that the symptoms had subsided, conservative management was decided.
(A and B) Axial T1-weighted (A) and T2-weighted (B) MR images show a well-defined retroperitoneal lesion (asterisk) involving the left crus of the diaphragm. (C) Coronal T1-weighted MR image following the administration of iv contrast confirms the cystic nature of the mass (lack of enhancement) and better shows the relationship of the lesion with the crus of the left hemidiaphragm (long arrows); note the normal appearance of the right crus of the diaphragm (short arrows). (D) Axial CT image (mediastinal window) shows the fine-needle aspiration procedure (arrows) of the lesion (asterisk).
BCs originate from abnormal budding of the foregut during embryogenesis. The most common location of BCs is the middle mediastinum, but it can also involve other sites (lung, neck, pericardium, retroperitoneum).1,2 As in our case, most retroperitoneal BCs described in the literature appeared to the left of the midline, in a retrograstric triangular space bounded by the left crus of the diaphragm, the spleen, and the splenic vein, and adjacent to the left adrenal gland. Although BCs are usually asymptomatic, patients may present with pain due to compression of neighboring organs. Controversy exists regarding the need for resection of BCs; although surgery is usually recommended for symptomatic cases, conservative management may be favored in some patients. To our knowledge, the retrocrural location of a BC has not been described.
Conflicts of InterestThe authors state that they have no conflict of interests.








