Post-pneumonectomy empyema (PPE) is a serious disease generally associated with high rates of post-operative morbidity and mortality. The most common cause is bacterial contamination from bronchopleural fistula. Infections from other intrathoracic sources, such as mediastinitis, pneumonia, and hematogenic dissemination from extrathoracic sources, are less common.
We report the case of a pneumonectomized patient who developed empyema in the residual chest cavity as a result of bacteremia following video-assisted colonoscopy. To our knowledge, this is the first report in the medical literature of pleural empyema as a complication of colonoscopy.
A 63-year-old man presented with a history of right pneumonectomy by video-assisted thoracoscopy 2 years previously for squamous cell lung cancer, with no evidence of recurrence to date.
Following a video-assisted colonoscopy, the patient developed an episode of fever and bacteremia, associated with pain and edema in the same hemithorax as the pneumonectomy. Pleural fluid was drained by thoracocentesis and blood cultures were performed, revealing empyema and bacteremia caused by Escherichia coli, respectively.
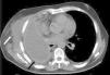
When the patient was admitted to the emergency department of our hospital, he was febrile, and had dyspnea, arterial hypotension, tachycardia and tachypnea, and leukocytosis on blood tests. Chest multislice tomography showed an abscess occupying the entire remaining pleural cavity, impinging on the overlying chest wall (Fig. 1). The patient was hemodynamically stabilized and pleural decortication was performed by video-assisted thoracoscopy. His progress was satisfactory and he was discharged 10 days after surgery.
The main factors associated with PPE are related with post-operative complications,1 such as bronchopleural fistula, or intra-operative events, such as contamination of the pleural cavity; the condition generally develops in the first few weeks after surgery. Presentation up to 1 year after pneumonectomy, described as late-onset PPE, is extremely rare.2 In this entity, infection of the residual chest cavity due to hematogenic bacterial dissemination from a distant focus of sepsis can be observed. Our patient presented a clinical picture of empyema of the residual cavity due to an episode of septicemia after video-assisted colonoscopy. The main complications of gastrointestinal tract endoscopies are diverse, the most common being post-colonoscopy pain, perforated gut, and gastrointestinal bleeding.3 Although septic complications have been described after the passage of bacteria from the gastrointestinal tract to the bloodstream,4 these are rare.
Please cite this article as: Dietrich A, Abdala VE, Smith DE. Empiema pleural en paciente neumonectomizado como complicación de una videocolonoscopia. Arch Bronconeumol. 2016;52:280–281.








