La enfermedad por SARS-CoV-2 (COVID-19) es una infección causada por un nuevo coronavirus emergente detectado por primera vez en Wuhan (China) en diciembre de 2019. En la actualidad se ha convertido en una pandemia y está suponiendo un grave problema de salud pública para muchos países1. Las manifestaciones radiológicas típicas en los pacientes con neumonía por SARS-CoV-2 consisten en la presencia de opacidades pulmonares bilaterales (tanto de atenuación en vidrio deslustrado como de consolidaciones) con una distribución periférica/subpleural, a menudo con una especial afectación de las regiones posteriores de ambos pulmones2,3. Una serie reciente de pacientes con COVID-19 indica que un 1% de los pacientes pueden desarrollar un neumotórax como complicación4. Se han descrito algunos casos esporádicos de neumotórax y/o neumomediastino espontáneo en pacientes con COVID-19 con desenlaces dispares y sin aclarar si pueden suponer un indicador potencial de agravamiento de la infección5-8. En este trabajo describimos cuatro casos de neumomediastino espontáneo (NE) en pacientes con COVID-19.
Se trata de cuatro pacientes (58 - 65 años, dos varones y dos mujeres) que acudieron a dos hospitales de Madrid con fiebre y/o síntomas torácicos (tos, disnea y/o dolor) durante los meses de marzo y abril de 2020, coincidiendo con el pico de la pandemia por SARS-CoV-2 (COVID-19) que estaba azotando España y, particularmente, la región de Madrid. En los cuatro pacientes se realizó un test de detección de ácido nucleico (RT-PCR, reacción en cadena de la polimerasa con transcriptasa inversa) del SARS-CoV-2 y una radiografía de tórax. La RT-PCR fue positiva en todos los pacientes, y la radiografía de tórax demostró (también en los cuatro casos) opacidades bilaterales de aspecto infeccioso.
Una vez ingresados, se inició el tratamiento de la infección por SARS-CoV-2 y se emplearon otros fármacos (antitérmicos, broncodilatadores, corticoides…) en función de las necesidades particulares de cada paciente. Los cuatro pacientes requirieron a lo largo de su ingreso (antes de la aparición del NE) administración de oxígeno a través de gafas nasales o mascarillas (simples o con reservorio), pero no necesitaron ventilación mecánica. Ninguno de los cuatro pacientes tenía antecedentes de tabaquismo y en ningún caso había historia previa de neumotórax, NE o de enfermedades pulmonares. Durante el ingreso los cuatro pacientes desarrollaron como complicación un NE (no relacionado con procedimientos invasivos como una intubación traqueal o una traqueotomía), no sospechado clínicamente en ningún caso, y detectado inicialmente mediante radiografía de tórax en tres de ellos y mediante tomografía computarizada (TC) en un caso en el que se sospechó un tromboembolismo pulmonar. En las radiografías de tórax se identificó la presencia de gas ectópico disecando los tejidos del mediastino y del cuello (fig. 1A-D). En uno de los pacientes estudiados con TC se observaron consolidaciones, bronquiectasias de tracción y la presencia de gas disecando el mediastino, incluyendo las paredes de ambos bronquios principales (fig. 1E-F). En otro paciente estudiado mediante TC se identificaron extensas opacidades en empedrado (asociación de opacidades de atenuación en vidrio deslustrado y de engrosamiento del intersticio pulmonar) y una pequeña cantidad de gas en la grasa prevascular del mediastino (fig. 1G-H). La evolución clínica fue favorable en tres de los cuatro casos; una paciente falleció por complicaciones infecciosas no relacionadas con el NE (neumonía por Pseudomonas aeruginosa y bacteriemia por esta bacteria y por Enterococcus faecalis). Uno de los casos de evolución favorable fue diagnosticado de un tromboembolismo pulmonar mediante angio-TC de tórax (fig. 1I). Ningún NE requirió tratamiento quirúrgico y los cuatro casos se manejaron conservadoramente, con desaparición del NE en controles radiológicos. La tabla 1 resume los aspectos clínicos más importantes de los cuatro pacientes con NE.
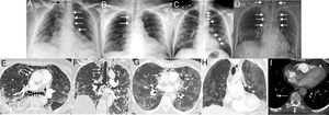
A) Radiografía de tórax posteroanterior en mujer de 60 años ingresada con neumonía bilateral por SARS-CoV-2 en la que se observa un neumomediastino incidental (flechas blancas). Obsérvese la extensión del gas a los tejidos blandos del cuello (flecha negra). B) Radiografía de tórax posteroanterior en varón de 62 años ingresado con neumonía bilateral por SARS-CoV-2, que presentó dolor torácico y disnea. En la radiografía se observa un neumomediastino paratraqueal derecho (flechas). C) Radiografía de tórax posteroanterior en varón de 58 años con neumonía bilateral por SARS-CoV-2, que presentó un episodio de dolor torácico e hipotensión. En la radiografía se observa un neumomediastino con neumopericardio (flecha) y gas en los tejidos blandos de la región supraclavicular derecha (asteriscos). D) Topograma (correspondiente a una TC de tórax) del único neumomediastino diagnosticado mediante TC en una mujer de 64 años con neumonía bilateral por SARS-CoV-2, que presentó dolor torácico y disnea. En el topograma se observa un extenso neumomediastino con extensión a las partes blandas del cuello (flechas). E) Imagen axial de TC de tórax (ventana de pulmón) de la paciente de la imagen D que confirma la presencia de gas ectópico rodeando los bronquios principales (flechas negras) y disecando el pericardio (flechas blancas). F) Imagen coronal de TC de tórax (ventana de pulmón) de la paciente de la imagen D) en la que se puede apreciar aire disecando ambos bronquios principales (flechas cortas) y el tejido graso paratraqueal derecho (flechas largas). G) Imagen axial de TC de tórax (ventana de pulmón) del paciente de la imagen B que confirma la presencia de gas disecando el pericardio (flechas). H) Imagen coronal de TC de tórax (ventana de pulmón) del paciente de la imagen B que muestra el gas disecando el pericardio (flechas). I) Imagen axial de TC de tórax (ventana de mediastino) del paciente de la imagen B en la que se identifica un defecto de repleción en una arteria subsegmentaria del lóbulo inferior derecho (flecha larga). Obsérvese la presencia de gas en la grasa pericárdica (flecha corta).
Características clínicas de los pacientes con COVID-19 y NE
| Edad (años) /género (H/M) | Síntomas iniciales de la COVID-19 | Extensión (severidad) radiológica de la COVID-19* | Tratamiento de la COVID-19 | Días de evolución de la COVID-19 antes de la detección del NE | Detección radiológica del NE (radiografía vs. TC; incidental vs. esperada) | Tratamiento del NE | Desenlace (mejoría vs. empeoramiento) | |
|---|---|---|---|---|---|---|---|---|
| Paciente 1 | 65/M | Fiebre, tos, disnea | Grave | Hidroxicloroquina, azitromicina | 20 | TC | Conservador | Mejoría |
| Paciente 2 | 60/M | Tos, disnea, dolor torácico | Grave | Hidroxicloroquina, lopinavir/ritonavir, tocilizumab, corticoides | 12 | Radiografía | Conservador | Empeoramiento** |
| Paciente 3 | 62/H | Tos, fiebre, mialgias | Moderada | Hidroxicloroquina, azitromicina, lopinavir/ritonavir, tocilizumab | 19 | Radiografía | Conservador | Mejoría |
| Paciente 4 | 58/ H | Tos, fiebre, disnea | Moderada | Hidroxicloroquina, azitromicina, corticoides | 18 | Radiografía | Conservador | Mejoría |
H: hombre; M: mujer; NE: neumomediastino espontáneo); TC: tomografía computarizada.
Uno de los mecanismos plausibles por los que puede producirse un NE en pacientes con COVID-19 es el daño alveolar difuso que se produce en cualquier neumonía grave. De los cuatro pacientes de nuestra serie, tres tenían una extensa neumonía bilateral (con afectación de todos los lóbulos de ambos pulmones), mientras que otro presentaba una forma menos grave, pero también bilateral. Según una escala de puntuación publicada en la literatura para cuantificar la extensión de la neumonía por SARS-CoV-2, dos de los pacientes tenían una puntuación «grave» y los otros dos una puntuación «moderada»9. Los cuatro pacientes presentaban episodios intensos y repetidos de tos seca; es sabido que estos episodios de tos pueden provocar un incremento súbito de la presión en la vía aérea distal y provocar una rotura alveolar y una fuga secundaria de gas al intersticio pulmonar peribroncovascular; desde aquí, el aire puede disecar proximalmente hasta alcanzar el mediastino. Este fenómeno, denominado «efecto Macklin», se ha implicado como responsable del neumomediastino que aparece en algunos traumatismos torácicos cerrados, crisis asmáticas y maniobras de Valsalva10,11. En algunos casos de neumomediastino secundario a procesos infecciosos se han descrito imágenes de bullas o quistes subpleurales en TC, pero en los dos pacientes de nuestra serie estudiados con TC no se detectaron bullas, quistes, enfisema pulmonar ni neumotórax. El neumomediastino (y el neumotórax) es una complicación relativamente habitual en los pacientes sometidos a ventilación mecánica, pero los cuatro casos presentados solo habían recibido oxigenoterapia a través de gafas nasales o mascarillas antes del NE. Es más, el paciente con evolución desfavorable requirió intubación traqueal tres días después de la detección radiográfica de NE, pero en la primera radiografía realizada tras la intubación ya no se observaba el neumomediastino. El NE es una complicación muy rara de las neumonías víricas, habiéndose publicado algunos casos aislados asociados a la neumonía por SARS (síndrome respiratorio agudo severo), a la neumonía por influenzavirus A (H1N1), o a la neumonía por SARS-CoV-25-8,12,13. En ninguno de los cuatro pacientes de nuestra serie se detectaron otras posibles causas de neumomediastino, por lo que pensamos que la causa del mismo se debía a la infección por SARS-CoV-2.
Aunque se desconoce el mecanismo exacto por el que se produce NE en la neumonía por SARS-CoV-2 y en principio se considera un cuadro autolimitado que responde favorablemente a medidas terapéuticas conservadoras, debe vigilarse la evolución de estos pacientes por la posibilidad de complicaciones cardiovasculares y respiratorias relacionadas con el neumomediastino14. A pesar de que este trabajo describe la serie más amplia de NE en pacientes con COVID-19, es necesario estudiar más casos para conocer su significado pronóstico y, en el caso de convertirse en un marcador de progresión de la enfermedad, establecer medidas o recomendaciones terapéuticas específicas.
Conflicto de interesesLos autores declaran no tener ningún conflicto de intereses.









