Siendo los teratomas tumores germinales que se clasifican en gonadales y extragonadales1, en la literatura médica revisada solo se han publicado casos en los que estos últimos se asocien a anomalías congénitas (alteraciones músculo-esqueléticas, cardiacas, estenosis rectal y microcefalia), con una frecuencia del 9 al 26%2.
Presentamos aquí el primer caso en el que un teratoma gonadal se puede asociar con una malformación, en concreto con una atresia bronquial.
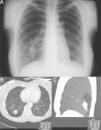
Mujer de 33 años remitida para valoración de riesgo pulmonar prequirúrgico ante cirugía abdominal laparoscópica por tumor ovárico izquierdo, hallazgo casual en su primera revisión ginecológica. Sin hábitos tóxicos ni antecedentes medicoquirúrgicos de interés, la paciente se encontraba asintomática y presentaba exploraciones física, analítica y funcional dentro de la normalidad, excepto que en las proyecciones anteroposterior y lateral de la radiografía de tórax se observaba una imagen polilobulada en el lóbulo inferior derecho (fig. 1). Los marcadores tumorales eran negativos. Mediante una tomografía computerizada torácica con contraste (fig. 1) se evidenció una lesión de 6,5×2,2cm, de morfología irregular, con varias prolongaciones en forma de dedos de guante, situada en segmento 10, acompañada de un área de radiolucencia segmentaria distal.
La paciente fue sometida a exéresis laparoscópica del anejo izquierdo (ovario y trompa de Falopio) y el estudio histológico fue compatible con un teratoma maduro –las neoplasias de células germinales representan el 10–20% de todos los tumores de ovario1–.
Posteriormente, se completó el estudio realizándose una broncofibroscopia que no evidenció lesiones endobronquiales ni anomalías en la segmentación de los bronquios hasta los límites accesibles con la técnica. De acuerdo con estos datos fue diagnosticada de una atresia bronquial congénita con broncocele distal del segmentario 10 derecho.
La atresia bronquial es una alteración caracterizada por la obliteración focal de una parte de un bronquio, que provoca acúmulo de secreciones y origina un broncocele con ausencia de ventilación del área pulmonar distal correspondiente (lo que radiológicamente se observa hiperlucente)3. Aproximadamente el 50% de los pacientes está asintomático en el momento del diagnóstico; se presenta con mayor frecuencia en varones (2:1), generalmente jóvenes4. La tomografía computerizada torácica con contraste es diagnóstica3, permitiendo diferenciar entre anomalías congénitas, bronquiectasias u otros tipos de obstrucción bronquial. El tratamiento en los pacientes asintomáticos es conservador; solo sería necesaria la cirugía en caso de aparecer síntomas (como infecciones respiratorias recurrentes, tos crónica y disnea)3.
Tras 2 años de seguimiento, la paciente continúa asintomática y sin cambios radiológicos, por lo que se ha mantenido una actitud conservadora.
La peculiaridad de nuestro caso radica en que se observan simultámentente 2 entidades (teratoma gonadal y atresia bronquial) que, pese a su lejanía anatómica, pudieron tener origen común en alteraciones cromosómicas todavía no completamente caracterizadas, como pérdida de homogenicidad del cromosoma 18 (generalmente expresado con las siglas LOH.18, en inglés). Se sabe que la trisomía del cromosoma 18 se relaciona con anomalías de la segmentación pulmonar5. Recientemente se ha establecido la importancia del locus 18q21 en el direccionamiento axonal durante el desarrollo embrionario; una delección a este nivel generaría predisposición al desarrollo de tumores (entre ellos los ováricos, con una incidencia del 9–12%, en el contexto de síndrome de Lynch)6. Cada día se conoce mejor el genoma humano y es probable que en un futuro no muy lejano se halle con certeza una relación entre estas 2 alteraciones.








