Introducción
La tos se ha manifestado a menudo como un síntoma de leishmaniasis visceral, pero los amastigotes de Leishmania se aíslan raramente en el pulmón de los humanos. El adenoma bronquioloalveolar (ABA) se considera histopatológicamente un adenocarcinoma altamente diferenciado o un tumor benigno que potencialmente puede malignizarse. Se han descrito algunas lesiones similares con diferentes nombres y muchas de ellas están asociadas con cáncer de pulmón o neumonía intersticial. Describimos un caso inusual de ABA, asociado a bronquiolitis obliterante y leishmaniasis pulmonar en un paciente con sida.
Observación clínica
Varón fumador, de 30 años, diagnosticado de sida hacía 4 años, con escaso cumplimiento del tratamiento (en el último control la carga viral era de 560.000 copias y el recuento de linfocitos CD4 de 72/μl), que acudió al hospital por pérdida de peso progresiva, disnea y tos seca, de 5 meses de evolución. Entre las infecciones previas que había presentado figuraban hepatitis C, neumonía por Pneumocystis carinii, gastroenteritis por Campylobacter y condiloma acuminado. Desde hacía varios años tenía episodios recurrentes de leishmaniasis visceral resistente a compuestos antimoniales a las dosis estándar, por lo que había recibido tratamiento con anfotericina B liposomial durante 17 meses.
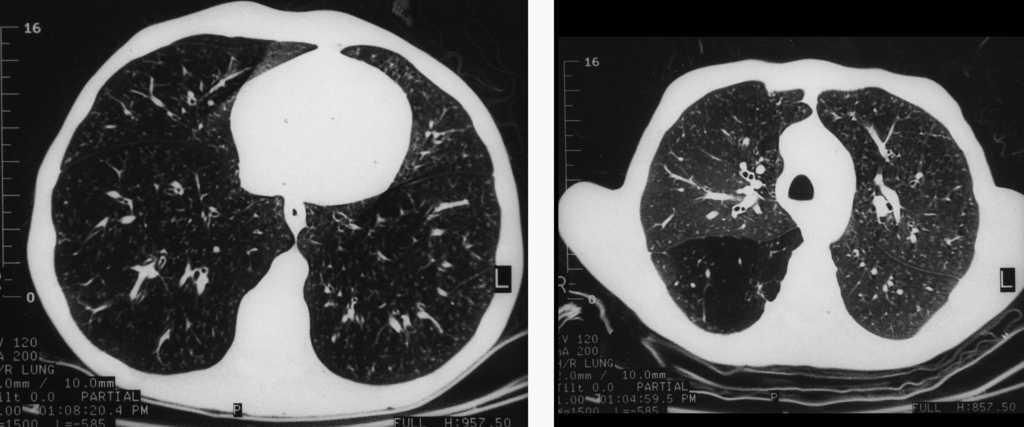
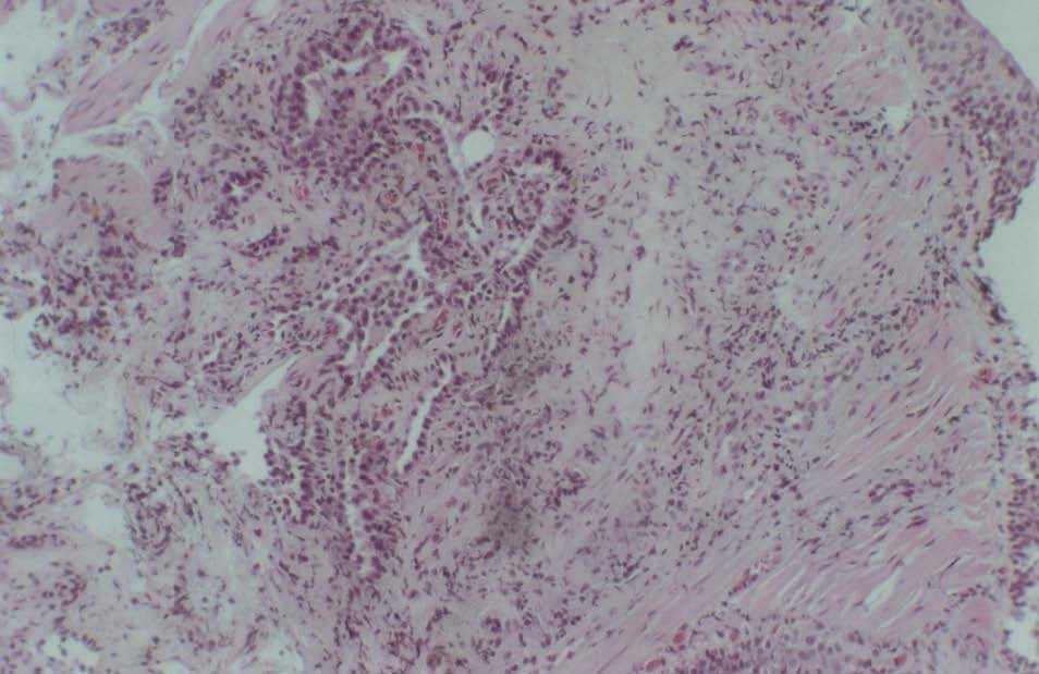
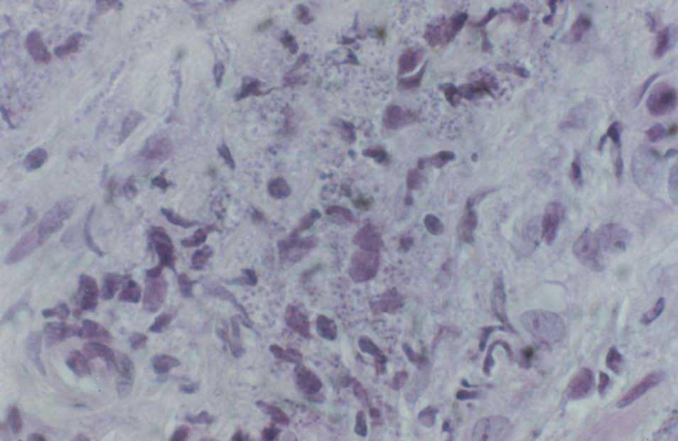
Al ingresar, la temperatura era de 36 °C, no presentaba adenopatías y en la exploración pulmonar mostraba crepitantes difusos. No se detectaron esplenomegalia, hepatomegalia ni masas abdominales. El examen neurológico, con la excepción de debilidad difusa, era normal. El recuento de leucocitos era de 2.600/μl con un 73% de células polimorfonucleares, un 10% de linfocitos y un 17% monocitos. La carga viral de 314.000 copias y la cifra de linfocitos CD4 de 80/μl. El hematocrito era del 34% y las plaquetas de 110.000/μl. Los valores de química hemática eran normales, excepto los valores de aspartatoaminotransferasa (82 U/l), gammaglutamiltranspeptidasa (193 U/l) y sodio (127 mEq/l). La gasometría arterial (fracción inspiratoria de oxígeno de 0,21) mostraba una presión arterial de oxígeno de 58,5 mmHg, pH de 7,36 y presión arterial de anhídrido carbónico de 24,4 mmHg. La radiografía de tórax era normal y la tomografía axial computarizada de alta resolución (TACAR) reveló la existencia de múltiples nódulos centrilobulares bien circunscritos, opacidades lineales en brotes de árbol (patrón tree in bud) y un área localizada de atrapamiento aéreo en el lóbulo inferior derecho en el escáner en espiración (figs. 1 y 2). El análisis de esputos fue negativo para bacilos ácido-alcohol resistentes pero se detectó Mycobacterium tuberculosis en la reacción en cadena de la polimerasa. Se inició tratamiento con isoniacida (300 mg/día), rifampicina (600 mg/día) y pirazinamida (1.500 mg/día) sin cambios clínicos ni radiológicos. La fibrobroncoscopia no mostró hallazgos significativos. El broncoaspirado y el lavado broncoalveolar fueron negativos para bacilos ácido-alcohol resistentes, así como el posterior cultivo de Löweinsten a los 60 días, pero la reacción en cadena de la polimerasa de M. tuberculosis fue positiva. En el análisis del lavado broncoalveolar se objetivó: un 33% de macrófagos alveolares, un 2% de linfocitos y un 65% de neutrófilos. La biopsia transbronquial reveló un ABA (fig. 3) e histiocitos de la submucosa bronquial que contenían amastigotes intracitoplásmicos de Leishmania (fig. 4). Se comenzó tratamiento con anfotericina liposomial pero el paciente falleció un mes después. La familia rehusó la realización de una autopsia.
Figs. 1 y 2. Tomografía axial computarizada de alta resolución, donde se observan nódulos cetrilobulares múltiples bien circunscritos y opacidades lineales en brotes de rama (patrón tree in bud), así como un área localizada de atrapamiento aéreo en el lóbulo inferior derecho en escáner en espiración.
Fig. 3. Biopsia transbronquial: adenoma bronquioloalveolar (lesiones endobronquiales con proliferación de células epiteliales columnares sin atipia nuclear).
Fig. 4. Biopsia transbronquial: histiocitos de la submucosa bronquial que contienen amastigotes de Leishmania intracitoplásmicos.
Discusión
La leishmaniasis visceral es una enfermedad que está aumentando en personas inmunocomprometidas, especialmente en pacientes con sida. En sujetos normales se presenta de forma subaguda o crónica con fiebre, hepatomegalia, esplenomegalia masiva, anemia, leucopenia e inanición progresiva. En sujetos sanos, el organismo puede permanecer viable durante largos períodos, mientras que en condiciones de inmunodepresión puede desarrollarse una enfermedad rápidamente progresiva. En pacientes inmunocomprometidos, la leishmaniasis visceral a menudo se manifiesta de forma atípica. Un hallazgo inusual del caso aquí descrito era la presentación inicial de los síntomas respiratorios. El aislamiento de amastigotes de Leishmania en el pulmón es muy raro, pero se ha descrito en pacientes inmunocomprometidos1,2. La mayoría de los casos publicados de Leishmania corresponden a pacientes con tos seca persistente de aparición reciente, que permanece sin cambios durante la enfermedad y que desaparece con el tratamiento. Esta tos es, presumiblemente, el signo clínico de la neumonitis intersticial. Estos hallazgos indican que, en pacien-tes inmunocomprometidos, las especies de Leishmania pueden ocasionar enfermedad respiratoria más a menudo de lo que antes se reconocía.
El curso clínico de la leishmaniasis visceral en pacientes con sida es usualmente crónico y está sujeto a recaídas. El tratamiento con antimoniales pentavalentes, que es el tratamiento estándar en los pacientes inmunocompetentes, con frecuencia no es efectivo en pacientes con sida. Esta circunstancia no es sorprendente, dado el importante papel que tiene la inmunidad celular en la respuesta del huésped frente a Leishmania. Por ello la leishmaniasis debería considerarse ante la presencia de síntomas pulmonares no explicados en los pacientes con sida.
La descripción anatomopatológica del ABA se caracteriza por la proliferación de células redondas a lo largo de las paredes alveolares con un grado de atipia nuclear variable. La mayoría de estos hallazgos se ha asociado al cáncer de pulmón o a la neumonitis intersticial3. Muchas publicaciones han señalado que estas lesiones pueden corresponder a fases premalignas tempranas de una neoplasia glandular con una potencial evolución a carcinoma4. El ABA se ha descubierto de forma casual en el examen microscópico de muestras quirúrgicas pulmonares resecadas de pacientes en quienes previamente no se había detectado mediante estudios radiológicos de tórax. En la TACAR el ABA aparece como nódulos pulmonares pequeños y bien circunscritos con atenuación en "vidrio deslustrado"5.
En nuestro paciente la TACAR mostró múltiples nódulos bien delimitados, de distribución difusa, presumiblemente debidos al ABA, y hallazgos indicativos de bronquiolitis obliterante, con áreas de atrapamiento aéreo e imágenes del patrón tree in bud, probablemente secundario al virus de la inmunodeficiencia humana, dado que no había otro agente etiológico asociado. Además de los estudios radiológicos, el diagnóstico de bronquiolitis se hizo a través de los resultados del lavado broncoalveolar, en el que el porcentaje de neutrófilos era superior al 50% (nuestro paciente tenía un 65%), y de la progresión de los síntomas respiratorios6. Sin embargo, no había evidencia histológica de bronquiolitis obliterante en la muestra de la biopsia transbronquial realizada, quizá debido a la exigua muestra obtenida, por lo que el diagnóstico definitivo de bonquiolitis obliterante debe considerarse con cautela, aunque el contexto clínico, radiológico y del lavado broncoalveolar eran muy indicativos, sin que la enfermedad previa pudiera explicar estos hallazgos7.
En el presente caso se imbrican 2 procesos patológicos diferentes: por un lado, la infestación pulmonar por Leishmania, secundaria a una inmunodeficiencia adquirida por infección por el virus de la inmunodeficiencia humana, que puede ser el origen de una bronquiolitis obliterante, y por otro lado, el ABA, que agravó el problema respiratorio del paciente. El ABA es un posible precursor del carcinoma bronquioalveolar, que pudiera haberse desarrollado posteriormente sobre las lesiones inflamatorias preexistentes. Aunque en principio no se ha demostrado que el ABA tenga relación con ninguna infección respiratoria, la hipotética asociación entre infección por Leishmania y ABA no se puede descartar al ser desconocido el origen del ABA y haberse presentado de forma sincrónica en nuestro paciente.
Concluimos que ante la presencia de síntomas respiratorios inexplicados en pacientes con sida se debe sospechar una leishmaniasis pulmonar, que puede asociarse con otras enfermedades pulmonares como el ABA y la bronquiolitis obliterante.










