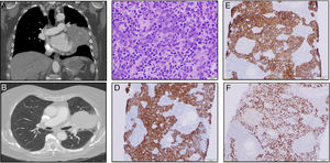
A 88-year-old woman was referred to the pulmonary clinic for evaluation of a asymptomatic left lung mass which was incidentally found on chest radiographs. CT scan of the thorax showed a 6.4cm mass, and additional PET scan failed to reveal metastatic disease. An endobronchial ultrasound guided-biopsy was performed, and pathology showed neoplastic cells with large nuclei arranged in nests, with positive staining for pancytokeratin AE1/AE3, CK5/6, P40 and EBER-in situ hybridization, ultimately favoring the diagnosis of Epstein–Barr virus positive lymphoepithelioma-like carcinoma (PLELC) instead of squamous cell carcinoma of the lung (Fig. 1). Further tests revealed a low pulmonary reserve, and given her age, lack of symptoms and the size of the primary lesion, a decision for “watchful waiting” with frequent surveillance imaging was made.
(A, B) 6.4cm heterogenous mass replacing the lingula with large endobronchial component. (C) Hematoxylin and eosin-stained section of lung (400×). (D) Tumor cells with positive CK5/6 staining (100×). (E) Neoplastic cells with positive staining for pancytokeratin AE1/AE3 (100×). (F) Neoplastic cells P40 positive (100×).
PLELC is a rare type of non-small cell lung cancer associated with Epstein–Barr; has been mostly described in young non-smoker Asians accounting for only 0.9% of primary lung malignancies.1 Noticeably, 35% of the patients are asymptomatic when the tumor is incidentally found. Unfortunately, there is no standard treatment for PLELC at this time due to its rarity, but overall, patients have a significantly better prognosis when compared to other lung malignancies.2
Conflict of InterestsThe authors declare no actual or potential conflict of interests.








