El neumomediastino (NM) y el enfisema subcutáneo (ESC) son entidades generalmente benignas y de curso autolimitado. Existe un potencial riesgo de complicaciones por acumulación masiva de aire que puede comprometer la vida del paciente al interferir en la mecánica respiratoria y dificultar el retorno venoso. En estos casos una opción terapéutica poco agresiva y eficaz es el uso de drenajes subcutáneos. Presentamos el caso de un varón de 75 años con NM y ESC masivo que se resolvió con este tipo de drenajes.
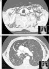
Varón de 75 años, EPOC gradoIV de GOLD, intervenido de lobectomía superior derecha por carcinoma epidermoide pulmonar. Acude al servicio de urgencias por agudización de su EPOC y es ingresado, evolucionando favorablemente las primeras 72h. El cuarto día de ingreso, tras realizar esfuerzo de defecación, presenta disnea y dolor torácico pleurítico izquierdo. En la exploración se aprecia enfisema subcutáneo en la región apical del hemitórax izquierdo. La radiografía de tórax confirmó la presencia de aire a nivel del tejido subcutáneo. Fue tratado con reposo, oxigenoterapia y analgesia, pero el enfisema subcutáneo se extendió por el tórax, la cara, los párpados y el abdomen. Se solicitó una TC torácica, que mostró la presencia de NM y ESC masivo sin evidencia de neumotórax, enfisema pulmonar y ausencia posquirúrgica del lóbulo superior del pulmón izquierdo (fig. 1). Tras 48h el paciente presentó clínica de molestias torácicas, sudoración y presíncope, objetivándose en el electrocardiograma fibrilación auricular paroxística. En esta situación se decide colocar un drenaje subcutáneo derecho (fig. 2). La mejoría clínica fue casi inmediata, pudiendo ser retirado a los 5días. Transcurridos 6meses no se ha producido recidiva.
El NM y el ESC suelen producirse por un desencadenante iatrógeno o traumático, aunque en ocasiones pueden ser secundarios a un aumento brusco de presión intraalveolar, fenómeno conocido como efecto Macklin1. La incidencia del NM es baja aunque infradiagnosticada, ya que sus síntomas son inespecíficos y los signos radiológicos resultan difíciles de identificar. La clínica típica de presentación es de dolor torácico, disnea y enfisema subcutáneo, y ocasionalmente dolor cervical, odinofagia, disfagia, disfonía y pulso paradójico. El signo de Hamman solo aparece en el 12% de casos2. El diagnóstico se confirma mediante radiografía de tórax por la presencia de aire separando estructuras mediastínicas o rodeándolas y el enfisema subcutáneo, pudiendo identificarse signos menos frecuentes como el signo de la vela tímica, neumopericardio, etc.3 El diagnóstico diferencial incluye el síndrome coronario agudo, pericarditis, neumotórax, tromboembolismo pulmonar, rotura del árbol traqueobronquial y síndrome de Boerhaave. En la mayoría de casos se produce resolución clínica completa no más allá del cuarto día. Sin embargo, existen casos en los que se puede producir compresión de venas pulmonares y mediastínicas, simulando un taponamiento cardíaco. Estos casos, denominados por Macklin como «neumomediastino maligno»4, requieren una actuación rápida que debe dirigirse hacia la evacuación inmediata del aire acumulado en el mediastino. La acumulación masiva de aire en el tejido subcutáneo también puede comprometer la vida del paciente por compresión neumática del tórax, provocando hipoxemia e hipercapnia progresivas. El uso de drenajes subcutáneos puede ser muy útil en estos casos, siendo eficaces de forma casi inmediata y pudiendo retirarse en pocos días. Para la elección del tipo de drenaje habrá que tener en cuenta la disponibilidad de los mismos y el entrenamiento del personal en su colocación, así como las características propias de cada catéter, teniendo en cuenta que los tubos de menor calibre son más confortables pero tienen mayor riesgo de obstrucción, y los más gruesos permanecen permeables más tiempo pero pueden provocar molestias al paciente5.







