Leemos con gran interés el informe de tres casos de plasmocitoma extramedular (PEM) publicado por Montero et al1. En todos los casos, la presentación radiológica era de un tumor adyacente a los bronquios, con o sin engrosamiento de ganglios linfáticos, que simulaba un cáncer pulmonar. El diagnóstico final fue obtenido mediante una biopsia pulmonar.
Recientemente, observamos un caso de PEM con diferentes hallazgos radiológicos. La paciente era una mujer de 66 años de edad con disnea progresiva durante el esfuerzo, tos seca y malestar general, pero sin presentación de fiebre ni otros síntomas. La paciente declaró haber perdido unos 10kg de peso a lo largo del año anterior, y presentaba antecedentes de tuberculosis, por la que había recibido tratamiento estándar seis años antes. La exploración física fue normal, salvo por la presencia de estertores crepitantes bilaterales.
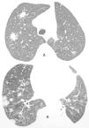
La tomografía computarizada (TC) mostraba opacidades nodulares con márgenes mal definidos en ambos pulmones, pero sobre todo en el derecho y una atelectasia en el lóbulo inferior izquierdo con bronquiectasia (fig. 1). Las pruebas de laboratorio fueron normales. La broncoscopia con fibra óptica mostró estenosis en la luz del lóbulo inferior izquierdo, sin lesión de la mucosa. El lavado broncoalveolar dio negativo para células neoplásicas, hongos y micobacterias. El cepillado y la biopsia bronquial dieron resultados negativos respecto a neoplasia maligna. La biopsia a pulmón abierto reveló proliferación de células plasmáticas bien diferenciadas. La inmunohistoquímica mostró células tumorales que dieron positivas para cadenas ligeras tipo kappa. No se detectó ninguna proteína Jones-Bence en la orina. Un examen óseo y una biopsia de médula ósea aportaron resultados negativos para mielomatosis. La paciente recibió quimioterapia, y tres años después del diagnóstico se encuentra bien y sin síntomas.
El diagnóstico de la PEM se basa en el hallazgo de tumor de células plasmáticas monoclonales en un sitio extramedular y de células clonales en médula ósea inferior al 10%2. Es poco usual que el origen primario sea el pulmón, aunque se han notificado algunos casos. Casi todos los casos de plasmocitoma pulmonar se presentan como lesiones de masa nodular solitaria1–3. Según nuestro conocimiento, solo se ha descrito un caso de PEM con nódulos múltiples4, y a diferencia de nuestra paciente, dicho caso estaba asociado con una masa mediastínica.
La resección quirúrgica es el mejor tratamiento para los plasmocitomas pulmonares localizados, que en algunos casos se combina con quimioterapia o radioterapia. Los tumores de células plasmáticas son radiosensibles, pero el número de opciones terapéuticas se reduce en los pacientes con compromiso pulmonar difuso, ya que la cirugía y la radioterapia no son factibles3,5. El plasmocitoma pulmonar múltiple diseminado, como el observado en nuestra paciente, puede controlarse de forma eficaz mediante regímenes combinados de agentes quimioterápeuticos. El pronóstico de los pacientes con PEM es generalmente mejor que el de aquellos con mielomatosis. La PEM, a diferencia de los mielomas solitarios, avanza a mielomatosis en muy pocos casos4. Nuestra paciente fue tratada con quimioterapia, y durante el seguimiento de tres años no experimentó ningún tipo de crecimiento, y permaneció clínicamente estable.








