Varón de 20 años que acudió a urgencias hospitalarias por crisis grave de asma. Entre sus antecedentes destaca asma extrínseco con sensibilidad a pólenes y ácaros, mal controlada desde la infancia, fumador desde los 14 años, sin consumo de otros tóxicos y sin antecedentes de intervenciones quirúrgicas.
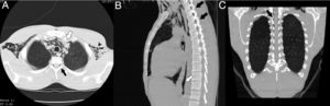
Ante la clínica y la imagen radiológica sugestiva de neumomediastino, se realizó tomografía computarizada (TC) donde se apreciaba neumomediastino que disecaba tráquea, bronquios principales, esófago, vena cava y espacio prevascular, hasta diafragma, sin datos de neumotórax u otra lesión. A nivel raquídeo se objetivó de forma casual gas desde las vértebras cervicales hasta las últimas vértebras torácicas (fig. 1).
El neumorraquis o presencia de aire en canal medular se detecta en uno de cada 30.000 pacientes en los servicios de urgencias hospitalarias1. Se puede deber a causas iatrogénicas, traumáticas o no traumáticas. Suele describirse como hallazgo casual en imagen en relación con neumotórax y enfisema subcutáneo traumáticos, o menos frecuentemente con neumopericardio o neumomediastino de causa no traumática o espontánea.
La radiografía convencional es de elección ante la sospecha de neumomediastino. La imagen tomográfica puede resultar de utilidad para observar alteraciones asociadas, como el neumorraquis.
Ambos hallazgos son procesos benignos2 que se resuelven espontáneamente en el plazo de 2-3 semanas.








