El síndrome de vena cava superior es para el clínico una señal inequívoca de afectación mediastínica por procesos infiltrativos, generalmente neoplasias, en esta localización, y es indicador de un mal pronóstico. Sin embargo, otras enfermedades de origen benigno pueden causar estas alteraciones. Presentamos el caso de un paciente de 34 años que empezó con un cuadro de síndrome de vena cava superior debido a fibrosis mediastínica de origen idiopático y que presentó una evolución tórpida con escasas alternativas terapéuticas.
Superior vena cava syndrome is a clear sign for clinicians of infiltrative mediastinal involvement, usually caused by neoplasms in this location, and it is an indicator of poor prognosis. However, other diseases of benign origin can also cause these alterations. We present the case of a 34-year-old patient who debuted with symptoms of superior vena cava syndrome due to idiopathic mediastinal fibrosis, which presented a torpid evolution and few therapeutic alternatives.
El síndrome de vena cava superior (SVCS) es una entidad nosológica con destacables signos y síntomas que no pasan desapercibidos para los clínicos. Es una complicación relativamente frecuente del cáncer de pulmón, y puede constituir las primeras manifestaciones de esta enfermedad1. Sin embargo, en la patogenia del SVCS se incluyen causas no neoplásicas que caben ser consideradas dentro del diagnóstico diferencial de esta entidad. La fibrosis mediastínica, tras la trombosis de dispositivos intravasculares (cables de marcapasos), constituye la segunda causa más frecuente de estas entidades benignas que pueden afectar a los grandes vasos del mediastino2.
Observación clínicaPresentamos el caso de un varón de 34 años con antecedentes de tabaquismo activo (15paquetes/año) y síndrome de apnea-hipopnea del sueño en tratamiento con CPAP nocturna, sin otros antecedentes médicos destacables. Trabaja en excavaciones. Realizó un viaje a la República Dominicana 5años antes de la aparición de su sintomatología.
El paciente consultó por aparición de disnea de mínimos esfuerzos de 5días de evolución que no se acompañaba de tos ni expectoración ni fiebre. Desde hace 2años relata edematización del cuello y de la cara junto con dilatación de las venas del cuello que, de manera característica, era mayor al despertar y disminuía a lo largo del día y que se había incrementado en las últimas 2semanas. No refería astenia, anorexia ni pérdida de peso.
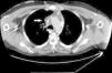
En la exploración física destacaba edema facial, dilatación de las venas del cuello e incremento del número de venas colaterales en la parte anterior del tórax, hombro y brazo derecho. En la radiografía de tórax se observó ensanchamiento del mediastino y derrame pleural subpulmonar bilateral. La tomografía computarizada (TC) de tórax mostró un mediastino ensanchado con trabeculación de la grasa y que ocasionaba un efecto masa que afectaba a la vena cava superior (fig. 1). La reconstrucción angiográfica en 3D mostró la extensa red de circulación colateral por obstrucción de la vena cava superior que se extendía hacia la pared torácica, los miembros superiores y el abdomen (fig. 2). No se evidenciaron trombos en la vena cava. Ante estos hallazgos, se diagnosticó como SVCS. Se realizó una flebografía para valorar la afectación vascular y colocar un stent endovascular con el objetivo de repermeabilizar la circulación venosa. Sin embargo, este tratamiento fue infructuoso debido a la existencia de una obstrucción total de las venas subclavias que dificultaba el acceso a la vena cava. Dada la obstrucción de la vena cava superior por un proceso infiltrativo mediastínico, se realizó mediastinotomía para filiar la causa responsable de dicho proceso. La biopsia mostró un tejido adiposo con escasa celularidad sin que se identificaran granulomas, calcificaciones ni células malignas. La prueba de la tuberculina no mostró induración, y el cultivo para micobacterias y hongos del broncoaspirado y del material de la biopsia fue negativo El paciente fue diagnosticado de SVCS por fibrosis mediastínica de origen idiopático.
La fibrosis mediastínica es una enfermedad rara caracterizada por la proliferación de tejido colágeno y establecimiento de un tejido fibroso en el mediastino3. En la mayoría de los casos la causa de este proceso es desconocida, aunque en zonas endémicas se ha relacionado con la infección por Histoplasma capsulatum, concretamente con una reacción inflamatoria anómala ante los antígenos de este hongo y, menos frecuentemente, con otras enfermedades granulomatosas como la tuberculosis4. Existe una forma idiopática con un posible componente autoinmune y que puede estar asociada con procesos fibrosantes en otras localizaciones, como la fibrosis retroperitoneal, el seudotumor orbitario y la tiroiditis fibrosa de Riedel5,6. Afecta a pacientes jóvenes, con ligero predominio en varones, y su clínica es insidiosa, progresiva y con una historia natural variable5. Los signos y síntomas dependen de las estructuras del mediastino afectadas; de este modo, las complicaciones típicas son el resultado del compromiso de las vías respiratorias, el corazón y los grandes vasos, o el esófago. La obstrucción de la vena cava superior es la complicación más frecuente en esta enfermedad: generalmente se desarrolla lentamente durante un período de años, lo que permite la formación de una extensa red de circulación colateral que pretende prevenir la estasis sanguínea y la elevación de la presión en los afluentes de la vena cava superior3. Los estudios diagnósticos en pacientes con sospecha de fibrosis mediastínica pueden incluir una radiografía de tórax, TC e imágenes de resonancia magnética. La angiografía por TC tiene un papel fundamental en el diagnóstico de las complicaciones con la valoración del lecho vascular y permite planificar medidas quirúrgicas y monitorizar la enfermedad7. La tomografía por emisión de positrones (PET) combinada con la TC permite el estudio anatómico de lesiones mediastínicas y pulmonares, y permite conocer su actividad metabólica, por lo que es de especial utilidad en el cáncer de pulmón8. Sin embargo, los procesos benignos con un destacado componente inflamatorio (tuberculosis, histoplasmosis, aspergilosis, sarcoidosis) pueden mostrar intensa actividad metabólica, lo que limita el valor de esta herramienta para el diagnóstico diferencial de masas en el mediastino9. El estudio histológico muestra un tejido fibroso, paucicelular y adipocitos, con presencia de células mononucleares, calcificaciones y granulomas en los casos relacionados con infecciones (histoplasmosis, tuberculosis)5. Dentro del diagnóstico diferencial hay que considerar ciertas neoplasias que producen fibrosis, como la forma esclerosante del linfoma no Hodgkin y la variante esclerosa del linfoma de Hodgkin, los mesoteliomas localizados, los sarcomas de bajo grado, los timomas y los carcinoides tímicos, que pueden mostrar una reacción inflamatoria fibrosa10.
No existe un tratamiento curativo para esta enfermedad. Se han utilizado los antifúngicos en los casos que pudieran tener relación con la histoplasmosis, aunque no han sido efectivos11. El uso de corticoides no aporta beneficio salvo en los casos de etiología autoinmune, en los que puede existir respuesta6. Por tanto, las medidas terapéuticas estarán encaminadas a paliar los síntomas obstructivos de la vía aérea, de los grandes vasos y del esófago. En la afectación de la vena cava la colocación de stents endovasculares para permeabilizar el vaso es una opción que produce mejoría sintomática. Se han descrito otras técnicas, como la cirugía de derivación con injertos de vena safena o bioprótesis12,13.
En el caso de nuestro paciente, el cuadro empezó con un SVCS, y tras la realización de pruebas complementarias y de la biopsia se llegó al diagnóstico de fibrosis mediastínica de causa idiopática al descartar otros posibles orígenes. Se intentó la colocación de un stent en la vena cava superior como tratamiento paliativo pero resultó infructuoso, por lo que se planteó cirugía con by-pass, pero esta posibilidad fue descartada por el mal lecho distal que presentaba, optándose por anticoagulación indefinida y controles evolutivos.









