El enfisema intersticial (EI) es una enfermedad pulmonar infrecuente, relacionada con un barotrauma, y observada casi exclusivamente en neonatos con síndrome de distrés respiratorio. En este contexto, el aire puede acceder al intersticio pulmonar a lo largo de los paquetes vasculares bronquiales debido a cambios súbitos en los volúmenes pulmonares y a la presión transpulmonar. Los cambios secundarios que se producen en los sacos alveolares causan la rotura de los septos alveolares1. La diferencia de presión, que siempre es mayor en el compartimento alveolar que en el mediastino, facilita el flujo de burbujas de gas hacia el compartimento mediastínico, lo que causa un neumomediastino. Por efecto de la gravedad, las burbujas de gas alcanzan el cuello, produciendo un enfisema subcutáneo. Un varón de 65 años de edad, exfumador (30 años/paquete) y con enfisema en el lóbulo superior y fibrosis en el lóbulo inferior (combinación de fibrosis pulmonar y enfisema [CPFE]), acudió al hospital por presentar empeoramiento de la disnea en reposo. Al ingreso, el paciente presentaba taquipnea intensa (32rpm) por hipoxemia grave (38,5mmHg) y una frecuencia cardiaca de 90lpm. Las imágenes de una tomografía computarizada de alta resolución (TACAR) de tórax realizada un año antes (no se adjunta) mostraban una importante afectación de la arquitectura pulmonar, debido a los patrones de enfisema y fibrosis coexistentes. Para completar el protocolo clínico-diagnóstico se efectuó una prueba funcional respiratoria (PFR) completa y una espirometría. Aproximadamente 4h después de la espirometría, se practicó otra TACAR torácica, que permitió comparar los datos morfológicos funcionales de aquel momento con los de las exploraciones anteriores. De forma inesperada, la nueva TACAR mostró una presencia importante de aire en el compartimento mediastínico (neumomediastino), con pequeñas burbujas de gas en el intersticio pulmonar siguiendo el recorrido de los paquetes vasculares bronquiales y atribuible a un EI, en ausencia de neumotórax (fig. 1). El paciente no presentó signos de empeoramiento del dolor torácico o la disnea después de la TACAR ni en las horas siguientes. Tras 10 días de reposo absoluto, se efectuó una segunda TACAR que evidenció la reabsorción casi completa del aire en el mediastino y a lo largo de los paquetes vasculares bronquiales. La aparición de episodios de este tipo tras la práctica de una espirometría rutinaria es muy rara, incluso en pacientes con antecedentes clínicos de CFPE. Los casos de EI descritos en la literatura científica son escasos, si no es en relación a lesiones barotraumáticas agudas en el ámbito neonatal o pediátrico, especialmente en prematuros con distrés respiratorio tratados con ventilación mecánica o en pacientes con deficiencia de surfactante2. Esta enfermedad aguda es extremadamente rara en pacientes adultos: solamente se ha notificado algún caso esporádico tras un trasplante pulmonar o en pacientes sujetos a presión positiva continua (CPAP) de alta presión, como se observó en un paciente con neumonía grave3,4. En el paciente que nos ocupa, el EI y el neumomediastino fueron, probablemente, consecuencia de una rotura alveolar a nivel de los paquetes vasculares bronquiales tras el esfuerzo realizado para exhalar el aire durante la espirometría, lo que podría haber causado un importante aumento de las presiones torácicas que causaron una sobredistensión alveolar y rotura ductal/septal. El aire extraalveolar tiene un movimiento centrípeto en relación al mediastino y en algunas ocasiones, como en este caso, puede alcanzar los tejidos blandos del cuello y producir un enfisema subcutáneo5. El paciente recibió un tratamiento conservador, con reposo y estrecha observación clínica. Pocos días después, el aire se había reabsorbido completamente y el paciente se había recuperado sin complicaciones.
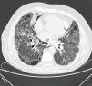
La TAC torácica de alta resolución mostró una imagen curvilínea delgada de gas en los paquetes vasculares bronquiales del lóbulo inferior derecho relacionados con el enfisema intersticial (flechas negras); también se detectaron cambios enfisematosos extensos en el mediastino próximo al corazón y la aorta torácica descendente (neumomediastino: flechas blancas).
Los autores han declarado no tener ningún conflicto de intereses y no haber recibido financiación con relación a este artículo.








