El empiema necessitatis es una rara complicación de las infecciones pleurales que se produce cuando estas son tratadas de forma tardía o inadecuada. Consiste en la extensión de una colección purulenta desde la cavidad pleural hasta formar un absceso en la pared torácica a través de los tejidos adyacentes, llegando a fistulizar a la piel1. El traumatismo torácico constituye una causa muy infrecuente de empiema necessitatis, por lo que resulta de interés la presentación de un caso atendido recientemente en nuestro centro.
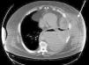
Varón de 49años, fumador, obeso mórbido y con diabetes mellitus tipo2 con mal control terapéutico, que consultó por traumatismo contuso costal izquierdo por la embestida de un toro que causó varetazo sobre dicha región 30días antes de su ingreso en el hospital, no acudiendo a los servicios de urgencias en el momento del traumatismo. Presentaba un hematoma en la pared costal izquierda y dolor torácico, sin mejoría con analgesia habitual. A su llegada a urgencias presentaba presión arterial de 140/86mmHg, frecuencia cardíaca de 110 lpm, saturación de oxígeno del 96% y temperatura de 36,5°C. En la exploración física presentaba hematoma en la pared torácica lateral izquierda sin celulitis perilesional y disminución del murmullo vesicular en el hemitórax izquierdo. En la analítica destacaba una leucocitosis de 32.400/mm3 con neutrofília (92,2%), hemoglobina 10g/dl, glucemia 487mg/dl y proteínaC reactiva 40,3mg/dl. En la radiografía de tórax se apreciaba derrame pleural izquierdo sin objetivarse fracturas costales. Se completó el estudio mediante tomografía computarizada (TC), donde se observó derrame pleural izquierdo que comunicaba con una colección anterolateral izquierda de la pared torácica (fig. 1). Se decidió iniciar tratamiento antibiótico empírico con piperacilina/tazobactam (4/0,5mg i.v. c/8h) y realizar drenaje de ambas colecciones mediante punción percutánea de la colección de la pared torácica y el tubo de tórax, con salida de abundante material purulento. Mediante control radiológico se evidenció adecuada reexpansión pulmonar. Tras 72h de ingreso se objetivaron múltiples orificios en la pared torácica lateral izquierda, con áreas necróticas y purulentas a su alrededor, sin afectación muscular, por lo que se realizó desbridamiento y lavado bajo anestesia general. El resultado microbiológico, tanto del líquido pleural como del absceso torácico, fue positivo para Streptococcus agalactiae sensible al antibiótico prescrito. El paciente permaneció hospitalizado durante 40días, durante los cuales se continuaron las curas de las heridas quirúrgicas sin precisar otros tratamientos quirúrgicos adicionales.
La localización más frecuente de un empiema necessitatis es, como en este caso, la pared torácica anterior, entre la línea medioclavicular y la axilar anterior. Otras localizaciones, descritas con menor frecuencia, son la pared abdominal, el espacio paravertebral, el mediastino, la mama o el diafragma1,2. Antes de la era de los antibióticos la mayoría de los casos estaban causados por Mycobacterium tuberculosis y presentaban una mortalidad del 66%. Con el tratamiento antibiótico ha disminuido significativamente su incidencia, además de cambiar el agente etiológico a expensas de Actinomyces israelii, Streptococcus pneumoniae, Staphylococcus aureus o Pseudomonas cepacia3,4. En nuestro caso se trataba de Streptococcus agalactie y era secundario a un traumatismo torácico, ambos aspectos poco frecuentes en estas circunstancias. La presentación clínica puede ser muy variada, incluyendo dolor torácico, masa en partes blandas, tos o disnea. En función de la edad del paciente y de su morbilidad puede evolucionar hacia shock séptico. En nuestro caso se trataba de un paciente obeso y diabético con mal control terapéutico, ambos hechos favorables para el desarrollo de infecciones de localización y etiología atípica como consecuencia de las alteraciones del sistema inmunológico frente a microorganismos invasores, principalmente hongos y bacterias. Su diagnóstico se basa en pruebas de imagen, principalmente la TC, que demuestra la continuidad entre la colección pleural y el absceso de la pared torácica. El diagnóstico diferencial se debe realizar con otras patologías, como linfomas, mesotelioma o endocarditis5. Aunque el tratamiento de cada paciente debe ser individualizado, son fundamentales tanto el tratamiento antibiótico ajustado al antibiograma cuando sea posible, como el drenaje quirúrgico, este último imprescindible para evacuar el contenido purulento acumulado y conseguir la esterilización y la obliteración de la cavidad pleural, permitiendo así una buena movilidad pulmonar. Para ello podemos emplear distintos procedimientos, como los sistemas de drenaje cerrado mediante un tubo de toracostomía o costectomía parcial, o sistemas abiertos mediante una toracostomía abierta, creando una fístula pleurocutánea que permite el drenaje sin necesidad de tubo. No está establecido el tiempo necesario para ambos tratamientos, pero es recomendable mantener el antibiótico durante una semana por vía intravenosa y continuar entre 1-3 semanas por vía oral, en función de la respuesta clínica del paciente5. Con la asociación de ambos tratamientos se consigue una elevada tasa de curación, con escaso índice de mortalidad (menor del 5%), que suele ser secundaria a la confluencia de varios mecanismos como la insuficiencia respiratoria, la insuficiencia cardíaca, la mediastinitis, la diseminación hematógena o la insuficiencia renal1.








