Presentamos el caso de un paciente fumador activo de 73 años sin otros antecedentes de interés que consultó por molestias centrotorácicas y pérdida de peso. Una radiografía de tórax inicial reveló una opacidad retrocardíaca de márgenes bien definidos con un nivel hidroaéreo en su interior, compatible con una hernia de hiato paraesofágica como primera opción diagnóstica, ya que parte del estómago se identificaba en el espacio subfrénico izquierdo (figs. 1A y B). Tres semanas después el paciente consultó por un cuadro autolimitado de hemoptisis; una TC de tórax demostró en ese momento una masa pulmonar extensamente cavitada (figs. 1C y D) con infiltración del mediastino, confirmándose mediante fibrobroncoscopia un carcinoma broncogénico epidermoide.
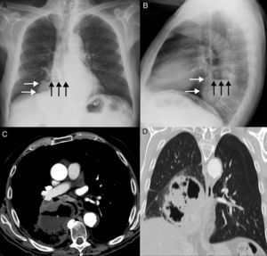
A) Radiografía posteroanterior de tórax en la que se observa una opacidad en hemitórax derecho (flechas blancas) con un nivel hidroaéreo (flechas negras) en su interior. Nótese la presencia del fundus gástrico (asterisco) en el espacio subfrénico izquierdo. B) Radiografía lateral de tórax en la que se confirma la localización retrocardíaca de la opacidad (flechas blancas) con el nivel hidroaéreo (flechas negras). C) Imagen axial de la TC en la que se identifica una masa extensamente necrótica y cavitada (asterisco) en región paramediastínica del lóbulo inferior derecho. Nótese la presencia de un nivel hidroaéreo en el interior de la cavitación. D) Imagen coronal de la TC (ventana de parénquima pulmonar) en la que se confirma la naturaleza intrapulmonar de la lesión y la integridad de ambos hemidiafragmas.
Las hernias de hiato paraesofágicas consisten en la protrusión craneal del fundus gástrico a través del hiato esofágico, manteniéndose la unión gastroesofágica en una posición normal subfrénica. Existen casos descritos en la literatura en los que hernias de hiato simulan masas pulmonares o mediastínicas en pruebas de imagen1,2. Sin embargo, no hemos encontrado descripciones de casos como el nuestro en los que un cáncer broncogénico extensamente cavitado simule, radiológicamente, una hernia de hiato intratorácica.







