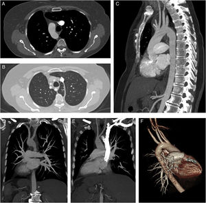
A 57-year-old female patient presented to our hospital with complaints difficulty in swallowing and coughing over the past 3 months. There was no history of fever, vomiting, nausea, or weight loss. She did not report any similar episode in the past. Chest X-ray showed the presence of dextrocardia. Contrast enhanced computed tomography (CT) scan was performed for detailed evaluation the hearth and mediastinal structures. The contrast enhanced CT examination showed aberrant left subclavian artery, right-sided aortic arch with dextrocardia, and variant azygos lobe on the left hemithorax (Fig. 1A–F). The aberrant left subclavian artery originated from the distal of the aortic arc was coursing through to posterior of the oesophagus. On the CT scan was seen total transposition of visceral organs so was confirmed that the patient have situs inversus totalis (Fig. 1D and E). All of visceral organs were seen on mirror image of normal locations. Situs inversus totalis is a rare congenial malformation that is incidentally detected in radiological evaluations. It is known as total transposition of abdominal and thoracic organs. Right sided aortic arch results from regression of the left dorsal aorta in embryologic development.1 If the aberrant left subclavian artery is found with the right-sided aortic arch, it is the last branch of the right-sided aortic arch. Although right sided aortic arch may be related to aberrant left subclavian artery,2 coincidence of situs inversus totalis and azygos lobe variant is extremely rare. Right aortic arch with aberrant left subclavian artery may be accompanied dextrocardia. Azygos lobe is a rare anatomic variant of right apical lobe,3 but on our case it was seen on left side because of situs inversus.
(A) Axial CT scan (mediastinal window) shows right-sided aortic arch. (B) Axial CT scan (parenchymal window) reveals a variant azygos lobe on the left hemithorax and aberrant left subclavian artery. (D and E) Coronal plan MIP CT images show total transposition of visceral organs accompanied with dextrocardia. (C, D and F) Sagittal, coronal and posterolateral projection 3D CT images show aberrant left subclavian artery originated from the distal of the right aortic arc. (E) Coronal MIP CT scan reveals origination and trace of the right and left carotid arteries.








