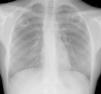
We report the case of a 24-year-old Caucasian woman, smoker (5 cigarettes a day), with no significant medical history, and a journalist by profession. She presented with a 3-month history of purulent expectoration which did not resolve after various courses of antibiotics. She had no other associated symptoms. She reported work-related contact in London, 20 months previously, with an individual infected with tuberculosis (TB), and also sporadic contact with a friend with a diagnosis of TB. No contact tracing was performed in either case. In view of the persistent symptoms, a chest radiograph was requested, which revealed 2 practically symmetric and well-defined cavitating lesions in both upper lobes (Fig. 1). Auramine staining was positive and Mycobacterium tuberculosis was isolated from the culture. Serology was negative for hepatotropic viruses and human immunodeficiency virus.
There is no specific diagnostic sign or radiographic pattern for TB. The radiological spectrum is wide, but it is clear that some very suggestive patterns can be recognized, for example, cavities in the upper lobes. In most cases, these cavities are multifocal, with thick irregular walls.1,2 In contrast, our case presented with 2 isolated, bilateral, well-defined cavities, a most curious presentation.
Please cite this article as: Jodra Sánchez S, Barrueco Ferrero M, González Ruíz JM. Cavernas gemelas, una curiosa imagen radiográfica en tuberculosis pulmonar. Arch Bronconeumol. 2016;52:432.








