La transmogrificación placentaria del pulmón (TPP) es una rara lesión benigna de etiología desconocida y más frecuente en hombres, descrita por primera vez en 1978 como una lesión cuya topografía recordaba a la de las vellosidades coriónicas pero sin las propiedades biológicas de la placenta1,2. La presentación varía desde asintomática hasta insuficiencia respiratoria, dependiendo de la coexistencia o no de una enfermedad subyacente1. Las lesiones se han descrito ocasionalmente como masas incidentales vistas en radiografía, pero el hallazgo más común ha sido el enfisema bulloso unilateral y lipomatosis. Con frecuencia se asocia con hamartomas fibrocondromatosos pulmonares2.
Presentamos el caso de un hombre fumador de 63 años con hallazgo incidental de una opacidad en vidrio deslustrado de 19mm con componente sólido en el lóbulo inferior izquierdo. En el seguimiento, aunque la lesión no creció, se identificaron un componente quístico y trabeculado, y un aumento del componente sólido, por lo que se realizó una resección transegmentaria toracoscópica de la lesión, diagnosticándose de TPP con lipomatosis marcada. El paciente fue dado de alta 48 h después de la intervención. Nuestro caso destaca el primer caso reportado de TPP que inicia como una opacidad en vidrio deslustrado (fig. 1).
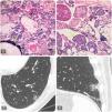
Histología y radiología. A) Microscopía óptica (MO): lesión no encapsulada compuesta de estructuras papilares dentro de espacios quísticos hiperaireados y presencia significativa de tejido adiposo con focos ocasionales de metaplasia ósea (flecha) (H&E 2×). B) MO: en las estructuras papilares (flecha) se observa una proliferación de capilares en el interior y abundantes mastocitos (H&E 10×). C) Corte axial de TC: opacidad en vidrio deslustrado de 19mm en su diámetro máximo, localizada en el lóbulo inferior izquierdo. D) Corte sagital de TC: la lesión asocia un componente sólido, quístico y trabeculado.
No tenemos ningún conflicto de interés o financiación que declarar y todos los autores contribuyeron por igual a este trabajo.









