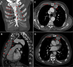
A 87-year-old man presented for evaluation of dyspnea and chest pain. There was no history of using any medication, previous surgery, and trauma. Laboratory tests performed for vasculitis and connective tissue disease are within normal limits. A mass was found in thoracic CT adjacent to the thoracic wall corresponding to a thrombosed left internal mammary artery aneurysm (Figure 1). He had not any type of abnormality such as aberrant right subclavian artery. Surgical treatment was not performed due to the age of the patient.
Internal mammary artery aneurysm is a rare but life-threatening condition. It is generally intragenic or traumatic, but can also be related to vasculitis or connective disease such as Marfan and Ehlers-Danlos. These aneurisms are very rarely idiopathic. Surgical and endovascular methods are generally used in treatment.1,2 Giant internal mammary artery aneurisms can present as a mass dependent from the chest wall.
Conflict of interest statementThe authors declare that the article content was composed in the absence of any commercial or financial relationships that could be construed as a potential conflict of interest.








