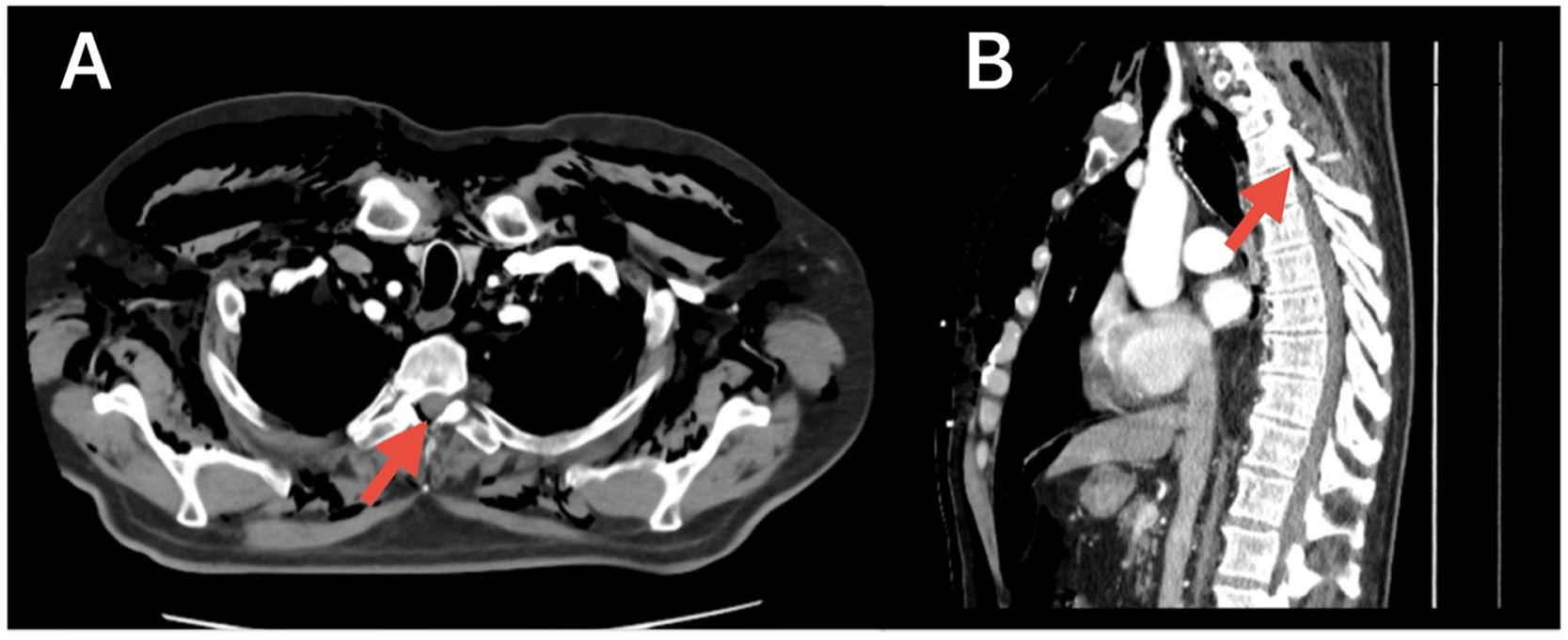
A 68-year-old man with no relevant medical history was admitted for atypical pneumonia and developed subcutaneous emphysema after a coughing episode. Computed tomography (CT) revealed extensive subcutaneous emphysema dissecting the cervical and thoracic fascial planes, air within the spinal canal (Fig. 1), small bilateral pneumothoraces, pneumomediastinum, and pneumopericardium. Pneumorrhachis is air in the spinal canal (epidural or subarachnoid space). Its etiology may be iatrogenic, traumatic, or spontaneous. It is usually asymptomatic and does not tend to migrate [1]. Diagnosis is based on imaging, preferably CT. Spontaneous pneumorrhachis is rare and usually does not require intervention [2].
Natalia Cenci-Nizzo: Conceptualization, writing – original draft. Álvaro Fuentes-Martín and Ángel Cilleruelo-Ramos: Review & editing.
Declaration of generative AI and AI-assisted technologies in the writing processDuring the preparation of this work, the authors used GPT-4 to check grammar, translation, and spelling. After using this tool, the authors reviewed and edited the content as needed and take full responsibility for the content of the publication.
FundingNone declared.
Conflicts of interestThe authors declare no conflicts of interest.








