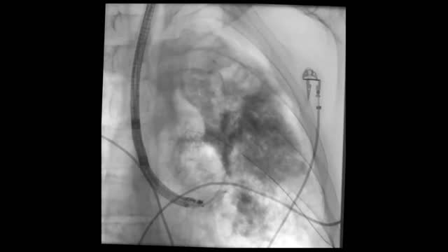
We report the case of a 55-year-old man, former smoker, diagnosed with very severe COPD and lung adenocarcinoma (cT1aN0M0) in the left upper lobe (LUL). After evaluation by the chest tumor committee, lung radiofrequency ablation (Cool-tip® electrode) was recommended. This procedure caused a tension pneumothorax that required chest tube drainage, resulting in a persistent air leak. To locate the segment in which the bronchopleural fistula (BPF) originated and to visualize its trajectory, we performed selective bronchogram (SB) of the LUL under deep sedation with propofol, using radioscopy-guided instillation of 10ml Omnipaque® iodohexol with a Combicath radiopaque catheter, revealing BPF in the apical segmental bronchus of the LUL (video 1).
There are many different techniques for confirmation and localization of BPF, including computed tomography, selective collapse of the affected bronchus with a Fogarty catheter®, instillation of methylene blue, and visualization of the passage of 133Xe to the pleural cavity,1 none of which has been accepted as the gold standard. In our opinion, the combined use of bronchoscopy and SB is useful for locating and characterizing the size and number of BPFs, providing the interventional pulmonologist with a valuable tool for endoscopic therapeutic management.2
Please cite this article as: De Vega Sánchez B, Disdier Vicente C. Broncografía selectiva para localización de fistula broncopleural iatrogénica tras ablación por radiofrecuencia pulmonar. Arch Bronconeumol. 2018;54:428.







