Suggestions
Guide for authors
Searcher
Journal Information
Vol. 62. Issue 4.
Pages 211-286 (April 2026)
Share
Download PDF
More article options
Vol. 62. Issue 4.
Pages 211-286 (April 2026)
Discussion Letter

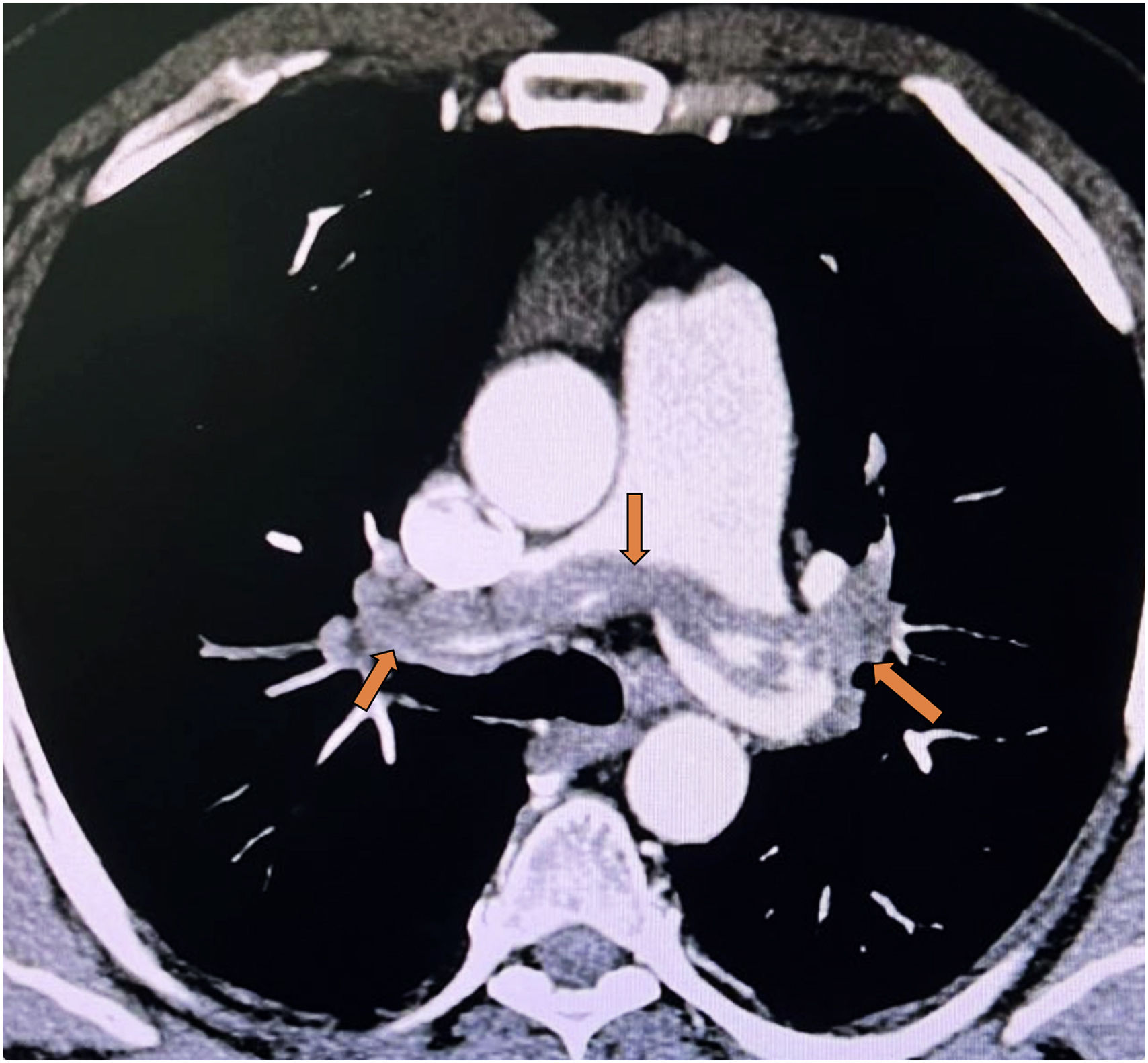
Saddle Pulmonary Embolism in Hemodynamically Stable Patients: Clinical Implications and Unresolved Questions

Visits
652
Guillermo Cueto-Robledoa,b,c, Mateo Porres-Aguilard, Ernesto Roldan-Valadeze,f,
Corresponding author
ernest.roldan@usa.net

Corresponding author.
a Cardiorespiratory Emergencies, General Hospital of México, Dr. Eduardo Liceaga, 06720 Mexico City, Mexico
b Pulmonary Circulation Clinic, Hospital General de México ‘Dr. Eduardo Liceaga’, 06720 Mexico City, Mexico
c Faculty of Medicine, National Autonomous University of Mexico, Mexico City, Mexico
d Gonda Vascular Center, Division of Vascular Medicine, Mayo Clinic, 55901 Rochester, MN, United States
e Division of Research, Instituto Nacional de Rehabilitacion Luis Guillermo Ibarra Ibarra, 14389 Mexico City, Mexico
f I.M. Sechenov First Moscow State Medical University (Sechenov University), Department of Radiology, 119992 Moscow, Russia
This item has received
Article information
Full Text
Bibliography
Download PDF
Statistics

Article

These are the options to access the full texts of the publication Archivos de Bronconeumología
Member
If you are a member of SEPAR:
  • Go to >>>SEPAR<<< website and sign in.
Subscriber
Subscriber

If you already have your login data, please click here .

If you have forgotten your password you can you can recover it by clicking here and selecting the option “I have forgotten my password”
Purchase
Purchase article

Purchasing article the PDF version will be downloaded

Purchase now
Contact
Phone for subscriptions and reporting of errors
From Monday to Friday from 9 a.m. to 6 p.m. (GMT + 1) except for the months of July and August which will be from 9 a.m. to 3 p.m.
Calls from Spain
932 415 960
Calls from outside Spain
+34 932 415 960
Email
Archivos de Bronconeumología
Article options
Tools