Sr. Director: El adenocarcinoma de pulmón es una entidad patológica bien definida. La Organización Mundial de la Salud lo clasifica en acinares, sólidos, papilares y bronquioloalveolares1. En ocasiones el adenocarcinoma de pulmón se presenta con una estructura histológica en la que predominan la inflamación y la fibrosis, siendo entonces difícil diferenciarlo de una enfermedad pulmonar intersticial difusa (EPID)2.
Presentamos el caso de un paciente con un adenocarcinoma de pulmón cuyo diagnóstico inicial, basado en la clínica y en la imagen radiológica, fue de EPID, y en cuyo estudio histológico había un predominio de la reacción fibrosa e inflamatoria.
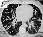
Paciente de 51 años de edad entre cuyos antecedentes tan sólo destacaban hipertensión arterial y dermatitis atópica. Era ex fumador desde hacía 20 años (20 paquetes/año). Acudió por disnea de un mes de evolución. La exploración clínica mostraba escasos crepitantes en ambas bases. En la radiografía de tórax se apreciaba una afectación intersticial bilateral en los 2 tercios inferiores de ambos pulmones, que no se visualizaba en una radiografía realizada 2 años antes que aportó el paciente. Con el diagnóstico de sospecha de EPID se realizó una tomografía computarizada de alta resolución de tórax, en la que se apreciaban las siguientes alteraciones: pequeñas adenopatías paratraqueales derechas, lesión intersticial, de predominio peribroncovascular en la zona central, con engrosamiento de septos interlobulillares en la periferia, engrosamiento irregular de cisuras y áreas de fibrosis en ambas bases. El hemograma, la bioquímica clínica básica y la gasometría arterial fueron normales; los anticuerpos antinucleares, anticuerpos anticitoplasma de neutrófilo, serología virásica y baciloscopia de esputo fueron negativos. Dada la intensa disnea se instauró tratamiento con corticoides orales. Con objeto de aclarar la naturaleza de las imágenes radiológicas se realizó fibrobroncoscopia en la que no se encontraron hallazgos morfológicos, si bien el estudio histopatológico de la biopsia transbronquial demostró la existencia de un adenocarcinoma moderadamente diferenciado con extensa permeación linfática y extensas áreas de fibrosis. Una biopsia pulmonar quirúrgica confirmó el diagnóstico y las características histológicas descritas.
Fig. 1. Afectación intersticial con predomino de intersticio broncovascular y periférico, junto a áreas indicativas de conglomerados fibróticos.
La coexistencia de un adenocarcinoma de pulmón moderadamente diferenciado con diseminación linfática bilateral, y asociado a una intensa reacción fibrosa intersticial, es una apariencia histológica que no está recogida como variante histológica en la última clasificación de la Organización Mundial de la Salud, aunque esta morfología ha sido previamente publicada2. Esta forma de presentación del adenocarcinoma pulmonar plantea la disyuntiva de si el tumor crece sobre una enfermedad intersticial previa3,4 (lo que no parece ser nuestro caso) o es una forma anormal de reacción del pulmón ante la diseminación neoplásica. En nuestra opinión, este tipo de hallazgos son una razón más para insistir en la necesidad del diagnóstico histológico en las EPID, bien mediante la práctica de una biopsia transbronquial o, si fuera necesario, de una biopsia pulmonar abierta.








