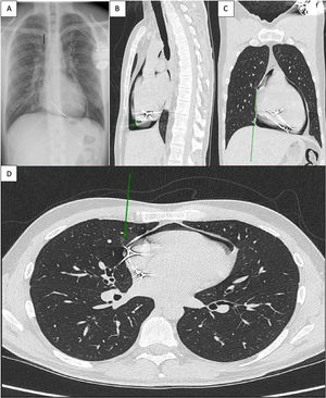
Thirty-eight-year-old patient with previous history of pacemaker insertion one year ago, as consequence of toxic dilated myocardiopathy following chemotherapy for non-Hodgkin lymphoma. After pacemaker placement, a chest X-ray was performed with no immediate complications. One year later he presents to the emergency department with acute chest pain and bubbling sensation during exercise, not previously reported. A chest X-ray was performed showing pneumopericardium (Fig. 1A).
Chest CT scan confirmed the presence of moderate pneumopericardium (Fig. 1B) secondary to pleural and cardiac perforation by pacemaker lead (Fig. 1C and D arrows).
Treatment consisted of removal and replacement of atrial lead.
Pneumopericardium is a rare complication usually resulting of myocardium perforation by pacemaker lead entering lung parenchyma and establishing communication between the lung and pericardial space.1
Late development of pneumopericardium has only been documented in previous history of cardiac surgery and persisting pleuro-pericardial fistula.2 Late development of pneumopericardium after pacemaker implantation is therefore a particularly rare complication and potentially life-threatening.
FundingThis article did not receive any specific grant from funding agencies in the public, commercial, or not-for-profit sectors.
Conflicts of InterestsThe authors declare not to have any conflicts of interest that may be considered to influence directly or indirectly the content of the manuscript.








