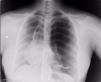
Mujer de 31 años de edad, natural de Pakistán, sin antecedentes médico-quirúrgicos de interés, que consulta por dolor pleurítico de 2 días de duración en el hemitórax izquierdo, irradiado a flanco ipsilateral con hemoptisis leve. A su llegada a urgencias, se objetiva fiebre de 38°C y escalofríos. A la auscultación, destaca hipofonesis izquierda, por lo que se realiza una radiografía de tórax (fig. 1; véase el comentario de la imagen).
Radiografía simple de tórax posteroanterior. Desplazamiento mediastínico que incluye la silueta cardiaca hacia la derecha, con pérdida de trama broncovascular en el campo pulmonar izquierdo sugestivo de gran bulla y neumotórax apical izquierdo. Imágenes quísticas basales izquierdas con nivel hidroaéreo.
Dada la imagen radiológica, se contacta con el servicio de cirugía torácica de referencia, donde se realiza una angio-TC, que informa de voluminosas bullas y lesiones quísticas en el hemitórax izquierdo de hasta 20cm de diámetro, con atelectasia del parénquima pulmonar, con bronquios permeables, y niveles hidroaéreos pleurales izquierdos con neumotórax anterior y basal izquierdo; pulmón derecho con pequeños nódulos subpleurales subcentrimétricos en los lóbulos superior e inferior, con cavidad pleural sin alteraciones.
Se realiza un estudio espirométrico precirugía: FVC: 1.860 (50%), FEV1: 1,43 (47,7%), RV: 2.980 (214%), DLCO/VA: 1.260 (63,1). Índice de Tiffeneau 0,79; FEV1/FVC: 0,79. Alteración ventilatoria de tipo no obstructivo, de severa intensidad, con signos de atrapamiento aéreo.
Posteriormente, se realiza la resección del complejo ampolloso mediante videotoracoscopia izquierda y drenaje pleural, con estudio anatomopatológico negativo para malignidad.








