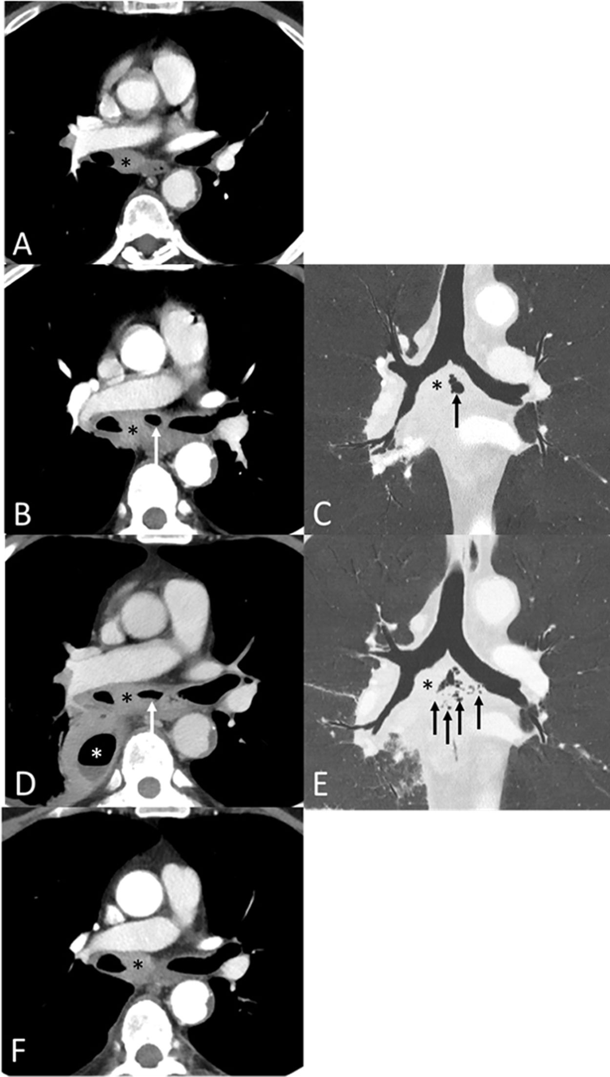
A follow-up CT in a 58-year-old stage III lung cancer patient (without any other relevant comorbidities) who had started systemic pembrolizumab in combination with chemotherapy 8 weeks earlier showed an enlargement of a dominant subcarinal lymph node with appearance of intranodal necrosis and air. The patient denied any fever, dyspnea or dysphagia. Four weeks later the patient developed fever, an elevation of acute phase reactants was observed, and a new CT showed more intranodal air extending outside the boundaries of the subcarinal lymph node and the appearance of a loculated pleural effusion adjacent to the necrotic partly-cavitary subcarinal lymphadenopathy. The decision was made to stop the chemo-immunotherapy and to start antibiotic treatment (piperacillin/tazobactam). A bronchoscopy did not show any bronchonodal fistula. A CT-guided percutaneous drainage of the pleural effusion was also performed and yielded purulent fluid (Streptococcus anginosus was isolated in the pleural fluid). A presumptive diagnosis of an emphysematous subcarinal lymphadenitis complicated with a pleural empyema was made. The patient responded well to the percutaneous drainage of the pleural cavity and to the administration of antibiotics (Fig. 1), and he resumed his cancer treatment 1 month after it was suspended. To our knowledge, spontaneous emphysematous mediastinal lymphadenitis complicated with a pleural empyema has not been previously described. We believe that early intervention combining systemic treatment with antibiotics and pleural drainage may be an effective approach to this rare complication.
(A) Axial image (mediastinal window) from the baseline CT study shows an enlarged homogeneous subcarinal lymph node normal. (B and C) Axial (B, mediastinal window) and coronal (C, lung window) images from a follow-up CT study performed 8 weeks after initiation of chemo-immunotherapy shows enlargement of the subcarinal lymph node (asterisk) and the appearance of intranodal air (arrow); note the lack of communication of the intranodal air with the airway. (D and E) Axial (D, mediastinal window) and coronal (E, lung window) images from a CT study performed 4 weeks after B and C demonstrate further enlargement of the subcarinal lymph node (black asterisk) and the appearance of a loculated right pleural effusion (white asterisk) with an air-fluid level (hydropneumothorax); note the presence of more air bubbles within and surrounding the subcarinal lymph node (arrows). (F) Axial (mediastinal window) CT image from a study performed 4 weeks after D and E shows a decrease in the size of the subcarinal lymph node (asterisk), and disappearance of the right pleural effusion and of both the intranodal and perinodal air.
All authors contributed equally to the manuscript writing. L.G. selected and edited the radiological images. All authors provided input to the final version of the manuscript.
Ethical considerationsThis article does not involve any studies on human participants conducted by the authors.
Informed consentThe authors certify that they have obtained all appropriate patient consent forms. In the form the patient(s) has/have given his/her/their consent for his/her/their images and other clinical information to be reported in the journal.
Declaration of generative AI and AI-assisted technologies in the writing processThe authors declare that they have not used any type of generative artificial intelligence for the writing of this manuscript, nor for the creation of images, graphics, tables, or their corresponding captions.
FundingThis research did not receive any specific grant from funding agencies in the public, commercial, or not-for-profit sectors.
Conflicts of interestThe authors declare not to have any conflicts of interest that may be considered to influence directly or indirectly the content of the manuscript.







