Suggestions
Guide for authors
Searcher
Journal Information
Vol. 57. Issue 6.
Pages 434 (June 2021)
Clinical Image
Full text access

Dead Space Volume in N95 Masks

Espacio muerto en una máscara N95
Visits
3188
Santiago C. Arce
Corresponding author
arcesantiago@fibertel.com.ar

Corresponding author.
, Fernando Chiodetti, Eduardo L. De Vito
Instituto de Investigaciones Médicas A. Lanari, University of Buenos Aires, Argentina
This item has received
Article information
Full Text
Bibliography
Download PDF
Statistics
Figures (1)
fig0005
Full Text

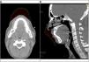
A health-worker's CT scan showing the air space between the mask (3M Aura 1870+) and the face skin (138mL). This volume remains relatively constant throughout the respiratory cycle, since its shape and material confers certain rigidity (fig. 1). Dead space of the respiratory airways is increased by about 50–80%, compensated with a raise in pulmonary ventilation to keep alveolar ventilation and CO2 stable1. This could have an impact in severely impaired respiratory patients.

Fig. 1
Supports/contributions

None.

Reference
[1]
W.C. Hinds, P. Bellin.
The effect of respirator dead space and lung retention on exposure estimates.
Am Ind Hyg Assoc J, 54 (1993), pp. 711-722
Archivos de Bronconeumología
Article options
Tools