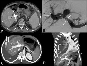
A 23-year-old liver transplant patient underwent a percutaneous transhepatic portal vein angioplasty (PTHPVA) as a procedure for correcting a clinically significant portal vein stenosis causing prehepatic portal hypertension (Fig. 1A and B). Right after the PTHPVA procedure, the patient developed shortness of breath and hypotension. An emergency CT showed active bleeding originating in the right hemidiaphragm surface (Fig. 1C–E). Because the patient was hemodynamically unstable, he was immediately transferred to the operating room, where a defect in the right hemidiaphragm was detected and closed. Percutaneous transhepatic portal vein angioplasty (PTHPVA) is a procedure performed in patients with clinically significant portal vein stenosis that involves direct right midaxillary puncture of the liver with the use of fluoroscopic and/or ultrasound guidance.1 Alternative techniques of portal vein angioplasty include a transsplenic and transjugular approaches, but these are less used.2 Hemothorax is an uncommon but well-known complication of PTHPVA; the rather large diameter of the dilators and catheters used in the procedure as well as the short puncture tract (making hemostasis difficult) have been claimed as risk factor for hemothorax. Low insertion of the right diaphragm and a high position of the liver graft are also potential factors that may cause hemothorax.1,2 This case reminds us that abdominal percutaneous interventional procedures can cause thoracic complications.
(A) Axial CT image obtained before the PTHPVA shows a portal vein stent (arrows) and a poststent portal vein dilatation (asterisk). (B) Digital subtraction angiogram shows the portal vein stent (arrows) and the poststent right portal vein dilatation (asterisk). (C) Axial maximum intensity projection (MIP) CT image performed after the PTHPVA procedure shows signs of an active bleeding (arrows) originating in the right hemidiaphragm. Note the presence of a right pleural effusion (asterisk). (D) Coronal MIP CT image shows signs of an active bleeding within the pleural space (arrows). Note the presence of a large right pleural effusion (white asterisk) causing a contralateral mediastinal shift (black asterisk).
The authors state that they have no conflict of interests.







