El síndrome de dificultad respiratoria aguda (SDRA) inducido por una infección por el virus respiratorio sincitial (VRS) en adultos previamente sanos es muy poco frecuente, pero su tasa de mortalidad global es del 40-60%. El empleo de ribavirina inhalada ha sido aprobado para el tratamiento de lactantes y niños pequeños hospitalizados por infecciones graves de vías respiratorias bajas causadas por el VRS. Presentamos el caso de una mujer adulta con un SDRA inducido por una neumonía por VRS, que fue tratada con éxito mediante el empleo de ribavirina inhalada y cuya función pulmonar se restableció hasta alcanzar casi la normalidad. El papel de la ribavirina inhalada en los adultos es objeto de controversia, pero podría tener un potencial terapéutico en los casos graves de SDRA inducida por una infección por VRS en los adultos.
Respiratory syncytial virus (RSV) infection-induced acute respiratory distress syndrome (ARDS) in previously healthy adults is rare, but the overall mortality rate is 40-60%. Inhaled ribavirin is approved for the treatment of hospitalized infants and young children with severe lower respiratory tract infections due to RSV. We present the case of an adult female with RSV pneumonia-induced ARDS who was successfully treated with inhaled ribavirin and whose pulmonary function was restored to near normal. The role of inhaled ribavirin in adults is controversial, but it might have a therapeutic potential for severe RSV infection-induced ARDS in adults.
El síndrome de dificultad respiratoria aguda (SDRA) debido al virus respiratorio sincitial (VRS) es muy poco frecuente en adultos previamente sanos1. Presentamos el caso de una mujer adulta con un SDRA inducido por una neumonía por VRS, que fue tratada con éxito con ribavirina inhalada, y que alcanzó una recuperación casi normal de la función pulmonar.
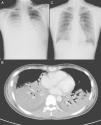
Caso clínicoUna mujer de 32 años, universitaria, previamente sana, fue ingresada en la unidad de cuidados intensivos (UCI) del Taipei Veterans General Hospital procedente de un hospital local, en el que había sido ingresada a causa de un cuadro de 4 días de fiebre alta, tos con escasa producción de esputo y disnea. La paciente no había sido nunca fumadora, no seguía tratamiento médico alguno y sus antecedentes clínicos previos no mostraban ninguna enfermedad relevante. Al ingreso, la exploración física puso de manifiesto la presencia de estertores respiratorios en ambos campos pulmonares, pero no había ingurgitación venosa yugular ni signos anormales a la auscultación cardiaca. Los análisis de laboratorio mostraron un recuento leucocitario de 5.500/mm3, con un 92% de neutrófilos, un 0% de bandas y un 4% de linfocitos. La tinción de Gram del esputo mostró pocos neutrófilos polimorfonucleares, células epiteliales muy poco frecuentes y ningún patógeno bacteriano o fúngico. A su llegada a nuestro hospital, la paciente presentaba una gasometría con máscara de oxígeno sin reinhalación (O2: 15 l/min) con pH=7,49, PaO2=70mmHg, PCO2=33,5mmHg, HCO3−=20 mmol/l y saturación de O2=95,7%. La radiografía de tórax (RxT) inicial obtenida en nuestro hospital mostró infiltrados alveolares difusos en ambos campos pulmonares (fig. 1A) Todos los síntomas y signos cumplían los criterios del SDRA.
A) Radiografía de tórax, que mostraba infiltrados alveolares en ambos campos pulmonares. B) Tomografía computarizada de tórax, que mostraba consolidaciones difusas con broncograma aéreo en ambos lóbulos inferiores, una consolidación subsegmentaria en el segmento medial del lóbulo medio derecho y un derrame pleural mínimo. C) Tras el tratamiento con ribavirina inhalada, la radiografía de tórax puso de manifiesto una resolución evidente de la consolidación en los lóbulos inferiores de ambos pulmones.
Se realizó una intubación endotraqueal con apoyo de ventilación mecánica 4 horas después del ingreso, debido al deterioro muy rápido del estado respiratorio. Tras la intubación, fue necesaria una concentración de oxígeno inspirado del 100%, con presión teleespiratoria positiva de 12cm H2O, y un volumen corriente de 400ml para una oxigenación adecuada. La TC torácica mostró la presencia de consolidaciones difusas con broncograma aéreo en ambos lóbulos inferiores, y una consolidación subsegmentaria en el segmento medial del lóbulo medio derecho (fig. 1B). La broncoscopia de fibra óptica puso de manifiesto una pequeña cantidad de secreción de las vías respiratorias en los bronquios de ambos lados, pero por lo demás no mostró alteraciones. Las tinciones para bacterias, hongos y tuberculosis, así como los cultivos de esputo y de líquido de lavado broncoalveolar (LLBA) dieron todos resultados negativos. El ensayo inmunosorbente ligado a enzimas para IgM específica para el citomegalovirus y el virus del herpes simple, los anticuerpos y el antígeno urinario de la legionelosis, la prueba de látex para el antígeno criptocócico sérico, la técnica de anticuerpos inmunfluorescentes para la IgM específica para la cápside del virus de Epstein-Barr y la IgM para clamidias, y la prueba de aglutinación de partículas para el anticuerpo para Mycoplasma pneumoniae (M. pneumoniae) fueron negativos. El inmunoensayo enzimático (EIA) para anti-VIH en suero fue también negativo. La tinción O de azul de toluidina y la prueba de reacción en cadena de polimerasa para citomegalovirus (CMV-PCR) en el LLBA fueron negativos, pero la prueba de EIA para el antígeno de VRS en el LLBA fue intensamente positiva. Inicialmente, antes del diagnóstico de la infección por VRS, esta paciente había sido tratada con la administración intravenosa de levofloxacino, imipenem, teicoplanina y metilprednisolona, pero no se observó mejoría alguna en los síntomas o signos clínicos ni en la infiltración pulmonar existente en la RxT 7 días después del ingreso. Se administró, pues, ribavirina inhalada (Virazole; Ben Venue Laboratory, Inc; Bedford, OH) (6g en 300ml de suero fisiológico normal, de forma continuada durante 18 horas al día) durante tres días, empezando al octavo día de ingreso. La RxT de seguimiento mostró una reducción evidente de la consolidación en ambos campos pulmonares (fig. 1C) y hubo una notable mejoría de todos los signos y síntomas clínicos. Dado el SDRA grave, se tardó más tiempo en extubar a la paciente. Finalmente, fue extubada de forma satisfactoria a los 14 días de hospitalización y fue dada de alta a los 22 días del ingreso para un seguimiento ambulatorio, sin oxigenoterapia. La gasometría arterial respirando aire ambiental, en el momento del alta era de pH=7,44, PaO2=97mmHg, PCO2=40mmHg, HCO3−=27 mmol/l, y saturación de O2=98%. Las pruebas de la función pulmonar antes y 4 meses después del alta fueron de FVC: 79%, DLCO: 55%, DLCO/volumen alveolar: 3,35 (66%) y FVC: 104%, DLCO: 72%, DLCO/volumen alveolar: 3,93 (77%), respectivamente. No hubo sibilancias ni tos seca tras el alta. El recuento de células T CD4+ fue inicialmente de 198/mm3 al ingreso, y luego se recuperó hasta alcanzar un valor de 554/mm3 dos meses después del alta.
DiscusiónEl VRS es un patógeno que se identifica de manera creciente en las infecciones de vías respiratorias y causa una morbimortalidad importante en ancianos y adultos de alto riesgo, así como en los que presentan trastornos cardiopulmonares subyacentes y/o inmunosupresión2–4. Los estudios epidemiológicos han demostrado que el VRS sólo es superado por el virus influenza entre los patógenos virales que causan enfermedades graves en ancianos y en adultos de alto riesgo5,6.
El SDRA debido al VRS es muy poco común en adultos previamente sanos. Solamente se han descrito dos casos, y esos pacientes se recuperaron sin utilizar medicación antiviral alguna; sin embargo, no se obtuvieron datos de las pruebas de la función pulmonar7. Un estudio llevado a cabo en niños puso de relieve que la infección por VRS causaba un deterioro de la función pulmonar8. En nuestro caso, las pruebas de la función pulmonar realizadas en el seguimiento mostraron una recuperación respecto al deterioro inicial, con una función ventilatoria normal y una leve reducción del intercambio de gases. El tratamiento temprano del SDRA debido al VRS con el empleo de ribavirina inhalada puede ser útil para preservar la función pulmonar.
Cuando el VRS entra en contacto con las células del epitelio respiratorio, las citocinas secretadas por los epitelios infectados por el VRS fomentan la activación y el reclutamiento de neutrófilos, monocitos, células T de memoria y eosinófilos de la sangre hacia los tejidos infectados. Estas citocinas contribuyen probablemente a producir la lesión de las vías respiratorias causada por la infección por el VRS9. Varios estudios han puesto de relieve que las células T CD4+ y las células T CD8+ participan en la defensa frente al VRS10. La respuesta de linfocitos T citotóxicos puede exacerbar o potenciar también la enfermedad clínica asociada a la infección por VRS. En este caso, el recuento de células T CD4+durante la infección por VRS fue muy bajo (198/mm3), pero el recuento de células T CD4+ en el seguimiento, tras la recuperación de la infección por VRS, estuvo dentro de los límites normales. Esto pone de relieve que había un consumo de las células T CD4+ durante la infección por VRS y que el recuento celular se recuperaba tras la curación de la infección. El cambio dinámico en el recuento de células T CD4+ podría considerarse una de las pistas indicativas de una infección por VRS. Esta paciente puede haber presentado una respuesta de linfocitos T citotóxicos excesiva que llevara a la aparición de un SDRA. Así pues, el tratamiento con ribavirina inhalada puede tener un efecto sobre la supresión de la carga viral y puede mejorar la recuperación del SDRA.
En nuestro caso, la consolidación difusa de ambos lóbulos inferiores, según se observa en la RxT, no mejoró a pesar del uso de antibióticos y metilprednisolona, pero sí lo hizo tras el empleo de ribavirina inhalada. Las pruebas de la función pulmonar durante la hospitalización mostraron un deterioro ventilatorio restrictivo y las pruebas realizadas en el seguimiento evidenciaron una función ventilatoria casi normal. A lo largo de más de 6 meses de seguimiento tras el alta, nuestra paciente no mostró una recurrencia de sibilancias ni dificultad respiratoria, a diferencia de la de otro estudio11. Por consiguiente, el tratamiento con ribavirina inhalada puede reducir las secuelas respiratorias en los adultos con una infección por VRS.
Las pautas de tratamiento actualmente existentes para el VRS continúan siendo limitadas. Ribavirina es el único agente antiviral aprobado para el tratamiento del VRS en lactantes y niños pequeños hospitalizados por una infección por VRS grave de vías respiratorias bajas12. Es posible que tenga un efecto sobre la supresión de la carga viral y que mejore la recuperación del SDRA, y también que reduzca las secuelas respiratorias en los adultos con infección por VRS. En estudios previos se ha demostrado que el uso de ribavirina proporcionó una reducción del deterioro respiratorio, los días de hospitalización, la mortalidad y la incidencia de recurrencias de sibilancias en lactantes y niños con infección por VRS, así como una preservación de la función pulmonar a largo plazo13. La experiencia existente en adultos inmunocompetentes es limitada, por lo que serán precisos nuevos estudios para evaluar el papel del tratamiento con ribavirina inhalada y para determinar el pronóstico del SDRA grave debido a una infección por VRS en adultos no ancianos.
Conflicto de interesesLos autores declaran no tener ningún conflicto de intereses.








