We report the case of an 88-year-old woman with a history of idiopathic stenosis-thrombosis of the splenic vein, portal hypertension and fundic varices. She was admitted for upper gastrointestinal hemorrhage impacting on laboratory values. A gastroscopy was performed revealing fundic varices, with no specific point of bleeding. Therapeutic echoendoscopy was performed with intravariceal injection of cyanoacrylate/lipiodol.
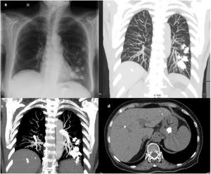
After the procedure, the patient developed low-grade fever, and a chest X-ray was requested (Fig. 1a), in which several hyperdense nodular images were observed in the middle and lower left fields and in the gastric chamber. The examination was extended with a chest computed tomography (Fig. 1b-c), which confirmed multiple high-density images in the left lung. Fig. 1d shows the hyperdense content in the stomach. A diagnosis of bronchoaspiration of embolization material was established.
(a) PA chest X-ray. Multiple high-density nodular opacities in middle and lower left fields and in the epigastrium. (b) Contrast-enhanced CT chest with MIP reconstruction. Hyperdense extravascular embolization material in the middle and lower left field. (c) Contrast-enhanced CT chest with MIP reconstruction. Bilateral hyperdense embolization material in the left lower lobe, larger than the pulmonary vessels. (D) Embolization material inside the stomach.
Complications following treatment of gastric varices with cyanoacrylate/lipiodol are well known, and several cases of pulmonary embolism have been described.1,2 In our case, the most likely diagnosis was bronchoaspiration, since the patient had radiopaque remains in the gastric chamber, mainly involving the left side (the digestive endoscopy was performed in left lateral decubitus); the lesions were larger than the vessels and corresponded with the bronchial trajectory.
FundingThis paper has not received any funding.
Conflict of interestsThe authors state that they have no conflict of interests.
Please cite this article as: Margallo Iribarnegaray J, Abad Gómez JA, Barreales Valbuena M, de Granda-Orive JI. Aspiración de cianoacrilato/lipiodol tras endoscopia digestiva alta. Arch Bronconeumol. 2021;57:498.








