Los condrosarcomas son un grupo heretogéneo de tumores óseos malignos, que tienen en común la producción de matriz condroide cartilaginosa. Describimos un caso de un condrosarcoma pulmonar metastásico, cuya presentación fue una masa pulmonar con calcificación excéntrica de rápido crecimiento.
Se trata de un varón de 64 años, asintomático, fumador pasivo, con una tumoración benigna en el paladar intervenida hace 12 años. En el preoperatorio de cirugía de rodilla se observa una masa pulmonar en el segmento posterior del lóbulo superior izquierdo (LSI) de 3,5cm y contornos lobulados, con calcificación excéntrica. La broncoscopia muestra ausencia de lesiones endobronquiales, lavado broncoalveolar (BAL, por sus siglas en inglés) y broncoaspirado (BAS) negativos para malignidad. Las pruebas funcionales respiratorias fueron normales. Una punción aspirativa con aguja fina pulmonar (PAAF) obtuvo material insuficiente para el diagnóstico. La tomografía con emisión de positrones (PET, por sus siglas en inglés), presentó un ligero hipermetabolismo en la periferia de la masa pulmonar, sin poder diferenciar benignidad de malignidad.
Dados los resultados de las pruebas complementarias realizadas, y al encontrarse el paciente asintomático, se decidió control radiológico en 3 meses.
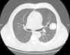
En la nueva TAC de tórax de control a los 3 meses (fig. 1) se observó un aumento de tamaño de la masa en el LSI (4,9×4,1cm). Se decidió, entonces, resección quirúrgica de la masa pulmonar. El diagnóstico anatomopatológico fue de condrosarcoma metastásico. Se revisaron las biopsias previas de la tumoración de paladar intervenida hace 12 años, concluyendo que se trataba de un tumor mixto con un doble componente epitelial y mesenquimal. El componente epitelial era escaso y benigno. El componente maligno correspondía a un condrosarcoma mesenquimal.
Los condrosarcomas (CS) suponen la tercera neoplasia ósea más frecuente (entre el 20-27% de los tumores óseos primarios malignos) después del mieloma y osteosarcoma1. El grado histológico es uno de los más importantes indicadores del comportamiento clínico y pronóstico2. Se clasifican en una escala del 1 al 3, basada en el tamaño nuclear, hipercromasia, actividad mitótica y grado de celularidad. El 90% son tumores de grado histológico bajo o intermedio3, con un crecimiento lento, un potencial metastásico bajo y refractarios a la quimioterapia o radioterapia.
El CS predomina entre la quinta y sexta década de la vida. El dolor es el síntoma más frecuente. Radiológicamente se observa la presencia de calcificaciones en su interior. Las metástasis se observan en el 70% de los pacientes con CS grado 3, son más frecuentes en el pulmón y menos frecuentes en los ganglios linfáticos regionales e hígado. Dado el bajo grado de metástasis en pacientes con grado 1 (menos del 10%), generalmente no es necesario un control radiológico del pulmón. No obstante, los pacientes con CS de intermedio-alto grado tienen un ratio más alto de metástasis. En estos pacientes, la evaluación de la estadificación debe de incluir una TAC torácica.
La resección quirúrgica del tumor es el tratamiento de elección. La quimioterapia se considera generalmente inefectiva en el CS, especialmente para los de bajo grado. El beneficio de la quimioterapia para los grados 2 o 3 es impredecible.








