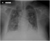
A 56-year-old woman was admitted to the Intensive Care Unit due to urological septic shock and hypoxemic respiratory failure. The chest X-ray revealed bilateral pulmonary infiltrates with an alveolar pattern, and the patient was diagnosed with adult respiratory distress syndrome (Fig. 1).
Pleuropulmonary ultrasound shows the two most frequent patterns of this respiratory pathology: 1st. “Comet tail” images or B Pattern, with unstructured pleural line, due to thickening of the interlobular septa due to inflammation (Video left). 2nd. Shred sign, characteristic of non-translobar subpleural consolidations/collections, with the shape of an inverted triangle with irregular and poorly defined edges (Video right and Fig. 2).1
ARDS lung lesions are characterized by B pattern (at least three mixed hyperechoic shadows perpendicular to the pleural line). B-Lines are not uniform and appear patchy throughout both lungs, finding normal lung tissues (denoted by the A-line) between B patterns. This distribution is known as non-uniform interstitial syndrome; existing focal changes that include mild diffuse lesions and other regions with severe damage, with shred sign and translobar consolidations, more frequent in less ventilated posterior areas around 30%–50%.2
Authors’ ContributionsThe three authors, as a work team, have contributed in a similar way both in the diagnosis and treatment of the patient, and in the preparation and writing of the manuscript.
FundingNo funding to complete the manuscript.
Conflict of InterestsThe authors state that they have no conflict of interests.
The following are the supplementary data to this article:









