Descripción de un brote de tuberculosis multirresistente (TB-MDR) en el medio escolar.
MétodosSe ha realizado un estudio prospectivo y observacional de un brote de TB-MDR en 2 colegios de Onda y de Nules de educación secundaria, en la provincia de Castellón, desde su detección en noviembre de 2008 hasta noviembre de 2014, con seguimiento de los casos y estudio de los contactos.
ResultadosSe diagnosticaron 5 casos de TB-MDR, con una tasa global de ataque de la enfermedad del 0,9% y en el estudio de contactos se detectaron 66 con infección latente tuberculosa, con una tasa de infección del 14,4%. Los 5 aislamientos de M. tuberculosis se estudiaron mediante el análisis del polimorfismo de los fragmentos de restricción (RFLP) de la secuencia IS6110 para su caracterización molecular. En los 5 pacientes el cultivo se negativizó a los 4 meses, demostrando la eficacia del tratamiento pautado, sin recaídas hasta la actualidad.
ConclusionesCon la actual globalización y el aumento de la TB-MDR no es extraño la presentación de un brote como el que presentamos y sigue siendo fundamental el estudio de los contactos, el seguimiento estricto de los casos y la disponibilidad de las técnicas de diagnóstico para no demorar el inicio del tratamiento y la quimioprofilaxis, así como la caracterización molecular de las cepas.
To describe an outbreak of multidrug-resistant tuberculosis (MDR-TB) in two schools
MethodsThis was a prospective, observational study of an outbreak of MDR-TB in 2 schools located in the towns of Onda and Nules, in the Spanish province of Castellon, from the moment of detection in November 2008 until November 2014, including patient follow-up and contact tracing.
ResultsFive cases of MDR-TB were diagnosed. Overall attack rate was 0.9%, and among the contacts traced, 66 had latent tuberculous infection, with an infection rate of 14.4%. Molecular characterization of the 5M. tuberculosis isolates was performed by restriction fragment length polymorphism (RFLP) analysis of the IS6110 sequence. In all 5 patients, cultures were negative at 4-month follow-up, showing the efficacy of the treatment given. No recurrence has been reported to date.
ConclusionsIn the context of globalization and the increased prevalence of MDR-TB, outbreaks such as the one presented here are only to be expected. Contact tracing, strict follow-up of confirmed cases, the availability of fast diagnostic techniques to avoid treatment delay, and chemoprophylaxis, together with the molecular characterization of strains, are still essential
En la década de los 80 la irrupción de VIH/sida avivó dramáticamente la llama de la tuberculosis, sobre todo en los países con menos recursos y especialmente en el África subsahariana primero, y en el sudeste asiático varios años después. La Organización Mundial de la salud (OMS) declaró en 1993 la tuberculosis como una urgencia sanitaria mundial1.
A principios de los años 90 se describen las primeras epidemias de tuberculosis multirresistente (TB-MDR) en Estados Unidos y Europa. Esta se define como aquella que presenta resistencia a isonicida y rifampicina, afectando mayoritariamente a pacientes infectados por VIH, con patrones de transmisión explosivos, con altas tasas de ataque y cortos periodos de incubación, motivados por el estado de inmunodepresión y la ausencia de medidas adecuadas de prevención de la transmisión de la tuberculosis en las unidades hospitalarias e instituciones penitenciarias afectadas por estos brotes, incluyendo al personal sanitario2–4.
En 1994 la OMS inicia junto a la Unión Internacional contra la Tuberculosis el programa mundial de vigilancia de la resistencia a los fármacos antituberculosos, pues hasta estas fechas la resistencia a los fármacos era un problema menor, en general asociado a la mala adherencia al tratamiento, siendo la multirresistencia primaria muy infrecuente.
La pobreza, la sobrepoblación, la falta de recursos económicos para la compra de los fármacos de segunda línea y programas adecuados para el manejo de la tuberculosis, junto a la epidemia del VIH y la facilidad de movilización de la población, motivaron la aparición y diseminación de cepas de Mycobacterium tuberculosis (M. tuberculosis) multirresistente por todos los países, convirtiéndose en un problema sanitario mundial. Pero con una gran desigualdad en la distribución de los casos, afectando de manera considerable a países como Brasil, China, India, Federación Rusa y Sudáfrica5.
Un problema añadido era la confirmación del diagnóstico en un enfermo con sospecha de TB-MDR y el considerable retraso en el inicio del tratamiento, pues se debía esperar al cultivo y los estudios de sensibilidad, con la dificultad que entrañaba fundamentalmente en los fármacos de segunda línea6. Actualmente esta situación se ha resuelto con las nuevas técnicas de detección del DNA de M. tuberculosis en muestras respiratorias, que nos permiten realizar el diagnóstico y a la vez detectar la resistencia a isoniacida y/o rifampicina en pocas horas7,8.
La aparición de epidemias de tuberculosis en el medio escolar no es infrecuente y cuando se producen es fundamental el estudio de contactos, con objeto de diagnosticar los casos secundarios, tratar precozmente a los enfermos y a los infectados que lo precisen e identificar el caso índice auténtico9.
Presentamos la descripción de un brote de TB-MDR en un medio escolar con la dificultad que entrañó el manejo, tanto de los pacientes con enfermedad como de los infectados.
MétodosHemos realizado un estudio observacional y prospectivo de un brote de TB-MDR detectado en noviembre de 2008 en 2 centros escolares de Onda y de Nules (O y N) en la provincia de Castellón. Consideramos microepidemia o brote epidémico la aparición de 3 o más casos de tuberculosis relacionados en el espacio y el tiempo, o el diagnóstico de al menos 2 enfermos generados por el mismo caso índice9,10.
Como caso índice consideramos al primer enfermo diagnosticado, y como el caso fuente o índice verdadero, a aquel que con mayor probabilidad actuó como origen del brote. Contacto fue toda persona que había compartido espacios cerrados con un afectado de tuberculosis.
Tras la detección del caso índice se realizó el estudio de los contactos siguiendo directrices previamente establecidas9,10 y se programó según el sistema de círculos concéntricos o piedra en el estanque11.
El Centro de Salud Pública de Castellón coordinó el estudio de contactos en los 2 centros escolares donde impartía clase el caso índice y a los familiares, conjuntamente con los centros de salud de las 2 poblaciones donde se ubicaban los colegios. También se encargó de proporcionar información a los padres de los niños.
Se realizó la prueba de la tuberculina mediante la técnica de Mantoux con 2U de PPD RT 23.
Se consideró infección tuberculosa latente una prueba de Mantoux positiva leída a las 72 horas con una induración de 5mm. Se llevó a cabo una prueba de Mantoux inicialmente y a los 2 meses una segunda prueba para aquellos casos que resultaron negativos. A los mayores de 50 años que eran negativos se les repitió la prueba a los 7 días para determinar el efecto Booster.
A todas las personas con Mantoux positivo se les realizó una radiografía de tórax.
En quienes se cultivó la micobacteria se identificó la diferenciación intraespecífica mediante análisis del polimorfismo de los fragmentos de restricción (RFLP) de la secuencia IS611012.
Análisis estadísticoSe estimaron las tasas de ataque de la infección y enfermedad tuberculosa en los contactos y se compararon mediante las pruebas estadísticas de χ2 y Fisher en los diferentes grupos de riesgo. Se empleó el odds ratio (OR) para estimar la asociación entre los contactos según exposición a los casos de TB-MDR y su intervalo de confianza (IC) del 95%. Se consideraron significativos los valores de p<0,05 y se utilizó el programa Epi-info versión 5 para todos los cálculos estadísticos.
ResultadosEstudio de contactosEl caso índice impartía clases en el colegio O en 2.° de educación secundaria (ESO) 10 horas semanales y el año anterior a 1.°, los 2 casos secundarios impartían clases también en la ESO pero en todos los cursos (1.°-4.°), con edades entre los 11-15 años.
Con la detección de 3 casos entre los profesores se decidió incluir a todos los alumnos, profesores y personal no docente. Participaron 205 de 207 alumnos de la ESO (99%) y 200 de 205 escolares de primaria e infantil (97,5%). Se apreció un incremento significativo de los positivos a la prueba de Mantoux desde el 1.°-4.° curso de la ESO (p <0,001).
En el colegio N impartía 4 horas por semana en 1.° y 3.° de la ESO, participaron 93 escolares sobre un total de 93 expuestos (100%), incluyendo los alumnos, que el caso 1 había tenido el año anterior. En la tabla 1 se muestran los resultados de los alumnos de ambos colegios.
Comparación de los escolares a la reacción del Mantoux y conversión tuberculínica entre los colegios O y N en los cursos de la ESO
| Curso | Colegio O positivo | Negativo | Tasa ataque (%) | Colegio N positivo | Negativo | Tasa ataque (%) | p valor |
|---|---|---|---|---|---|---|---|
| 1.° | 1 | 61 | 1,6 (1-2) | 2 | 17 | 10,5% (1) | 0,14 |
| 2.° | 5 | 56 | 8,2 (1-2) | 1 (*1) | 13 | 7,1% | 1,00 |
| 3.° | 5 (*1) | 39 | 11,4 (1-2) | 2 (*1) | 10 | 11,1 (1) | 1,00 |
| 4.° | 9 (*3) | 29 | 23,7 (1-2) | 7 | 35 | 16,7 (1) | 0,43 |
| Total | 20 | 185 | 9,8 (1-2) | 12 | 81 | 12,9 | 0,42 |
1: cursos en los que imparte clase el caso índice, colegio O (2.°) colegio N (1.° y 3.°).
2: cursos en los que imparten clase los casos secundarios, colegio O todos los cursos.
*: conversión tuberculínica.
Si comparamos el riesgo de desarrollar infección en los alumnos de la ESO de ambos colegios no hay diferencias significativas OR 0,63 (IC 95% 0,28-1,42) p=0,223.
Si consideramos únicamente a los escolares que asistían a clases del caso índice tampoco apreciamos diferencias significativas OR 0,51 (IC 95% 0,15-1,66) p=0,22.
En la tabla 2 se indican los resultados de todos los contactos estudiados.
Resultados globales del estudio de contactos y casos de TB-MDR
| Mantoux (+) | Conversión | Total Mantoux (+) | TB-MDR | % TB-MDR | ||||
|---|---|---|---|---|---|---|---|---|
| n | (%) | n | (%) | n | (%) | n | ||
| Familares y amigosn: 44 | 9 | 20,5 | 2 | 4,5 | 11 | 25,0 | 0 | 0 |
| EOIn: 24 | 2 | 8,3 | 1 | 4,2 | 3 | 12,5 | 0 | 0 |
| Colegio O | ||||||||
| Primaria e infantiln: 200 | 1 | 0,5 | 0 | 0 | 1 | 0,5 | 0 | 0 |
| Secundarian: 205 | 16 | 7,8 | 4 | 2 | 20 | 9,8 | 1 | 0,5 |
| Profesores y PNDn: 53 | 15 | 28,3 | 1 | 1,9 | 16 | 30,2 | 3 | 5,7 |
| Colegio N | ||||||||
| Secundarian: 93 | 10 | 10,8 | 2 | 2,2 | 12 | 12,9 | 0 | 0 |
| Profesores y PNDn: 24 | 2 | 8,3 | 1 | 4,2 | 3 | 12,5 | 0 | 0 |
| Total 643 | 55 | 8,6 | 11 | 1,7 | 66 | 10,3 | 4 | 0,6 |
EOI: escuela oficial de idiomas; PND: personal no docente; TB-MDR: tuberculosis multirresistente.
Si comparamos el riego de infección entre los profesores de ambos colegios se observa mayor riesgo entre los profesores del colegio O con un OR de 3,43 (IC 95% 0,76-17,48) p=0,069, indicando probablemente una mayor exposición. Merece destacarse que de los 3 profesores con la enfermedad ninguno estaba vacunado con BCG y si comparamos los vacunados expuestos (10) con los no vacunados (21) el OR de padecer la enfermedad es de 0,51 (IC 95% 0,0-5,13) aunque no alcanzó significación (p=0,59) lo que podría indicar un cierto efecto protector de la vacunación. En la tabla 3 se comparan los resultados en expuestos y no expuestos a los casos de TB-MDR, con una OR de infectarse de 6,12 (IC 95% 2,58-17,59) que alcanzó significación (p <0,001). Globalmente la tasa de ataque de la enfermedad sería de 0,9% y de la infección del 14,4%.
Comparación de la reacción de Mantoux y conversión tuberculínica entre expuestos y no expuestos a los casos de TB-MDR
| Expuestos positivos | Negativos | No expuestos positivos | Negativos | |
|---|---|---|---|---|
| Escolares | 32 | 266 | 1 | 199 |
| Profesores yPND | 14 | 38 | 5 | 20 |
| Familiares yamigos | 11 | 33 | 0 | 0 |
| EOI | 3 | 21 | 0 | 0 |
| Total | 60 | 358 | 6 | 219 |
EOI: escuela oficial de idiomas; PND: personal no docente.
Inicialmente se recomendó quimioprofilaxis con isoniacida y cuando se tuvo constancia del aislamiento de M. tuberculosis multirresistente, en los adultos se retiró y en los escolares se mantuvo durante 6 meses tras informar a los padres y se recomendó el seguimiento clínico y radiológico al menos durante 2 años.
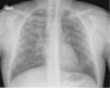
Descripción de los casosSe diagnosticaron 5 casos de TB-MDR cuyas características clínicas se describen en la tabla 4. Fue muy llamativo el retraso en la obtención del diagnóstico microbiológico entre el primer caso que se demoró 4 meses y el último que se obtuvo en 72 horas, relacionado con la disposición de la técnica de reacción en cadena de la polimerasa (PCR) en muestras respiratorias, en el hospital de referencia. El caso 1 o índice presentó una demora añadida en su diagnóstico al ser interpretado inicialmente como una neumonía comunitaria, en la figura 1 se muestra la radiografía de tórax.
Características clínicas de los casos diagnosticados de tuberculosis multirresistente
| Caso 1 | Caso2 | Caso 3 | Caso 4 | Caso 5 | |
|---|---|---|---|---|---|
| Edad (años) | 31 | 41 | 33 | 28 | 21 |
| Sexo | Varón | Mujer | Varón | Mujer | varón |
| Mantoux | 19mm | 15mm | 11mm | 18mm | 20mm |
| Baciloscopia | Positiva | Negativa | Negativa | Positiva | positiva |
| Actividad | Profesor | Profesora | Profesora | Enfermera | alumno |
| Síntomas | Sí | No | No | Sí | sí |
| Fechadiagnóstico | 11/2008 | 01/2009 | 03/2009 | 11/2007 | 07/2012 |
De aquellos pacientes en los que se aisló M. tuberculosis se estudió la sensibilidad a los fármacos de primera línea en el laboratorio de referencia (Hospital General de Castellón). Ante la aparición de resistencia a algún fármaco se remitieron al Instituto de Salud Carlos III de Madrid para completar el estudio de sensibilidad, así como al Laboratorio de Genética de la Universidad de Zaragoza para su caracterización molecular mediante análisis del RFLP de la secuencia IS6110. Las cepas con menos de 5 copias de la secuencia IS6110 se analizaron mediante spoligotyping, técnica que aunque menos discriminativa, muestra el polimorfismo en la región DR. Esta contiene repeticiones directas separadas por secuencias espaciadoras, cuya gran variabilidad se emplea para obtener distintos patrones de hibridación.
Las personas infectadas por la misma cepa se incluyen en una agregación o cluster. Se define cluster de M. tuberculosis como 2 o más cepas cuyos patrones de RFLP revelan idéntico número y posición de la secuencia IS6110 cuando existen 5 o más copias, o bien menos de 5 copias de igual peso molecular e idéntico patrón de spoligotyping. Todos los casos descritos presentaban el mismo patrón de spoligotyping, lo que nos permitió relacionarlos, demostrando que era un brote, producido por la misma cepa.
TratamientoCon el diagnóstico del caso 4 al ser el primer aislamiento de una cepa de M. tuberculosis en nuestra provincia, y sin factores de riesgo para una TB-MDR, inició el tratamiento con etambutol (25mg/kg de peso), moxifloxacino (400mg/día), protionamida (15mg/kg, máximo 1g al día) y capreomicina 1g intramuscular 5 días a la semana hasta la negativización de la baciloscopia en esputo, durante 18 meses. La aparición de los nuevos casos, con la sospecha y posterior confirmación de ser producidos por la misma cepa y la buena evolución clínica y microbiológica que presentaba, nos indicó la utilización de la misma pauta. Destacaron los efectos secundarios gastrointestinales leves y solo el caso 4 presentó una hepatitis tóxica severa, a los 10 meses de tratamiento, que precisó retirar la protionamida siendo sustituida por cicloserina (15mg/kg de peso, máximo 1g al día), finalizando el tratamiento sin incidencias a los 22 meses. En todos los enfermos se consiguió la negativización del cultivo de esputo a los 4 meses de tratamiento.
DiscusiónLos brotes de tuberculosis en el medio escolar son una situación de especial riesgo para la salud pública13–15,19,20, aunque también se han descrito en iglesias16, bares17, autobuses18 e incluso en centros sanitarios2–4. En este artículo presentamos la descripción de un brote en 2 centros escolares que además tenía la dificultad de ser provocado por una cepa de M. tuberculosis multirresistente. Los colegios ofrecen una situación propicia para la aparición de brotes, influyendo factores como el contacto mantenido, ventilación inadecuada de las aulas y el retraso diagnóstico19–21. En países con tasas elevadas de TB-MDR no es infrecuente la aparición de brotes en colegios21.
Merece una mención especial el caso 4, pues se diagnosticó un año antes del brote escolar, en una paciente sin factores de riesgo para desarrollar TB-MDR22, ni haber realizado viajes a países con tasas elevadas de TB multirresistente. Fue el primer caso en nuestra provincia23, con un retraso considerable en su diagnóstico de 4 meses hasta los resultados definitivos del laboratorio de referencia y había tenido relación con el caso 1, pero en el estudio de sus contactos, este no pudo ir. Esto nos demuestra la importancia de los programas bien diseñados en la lucha contra la tuberculosis9,10, pues su diagnóstico podría haber impedido la aparición del brote. El caso índice había estado de cooperante en Colombia 2 veranos y pensamos que aquí pudo contagiarse, infectando al caso 4 y posteriormente iniciando el brote escolar, sería el caso fuente o índice verdadero. En su diagnóstico hubo un retraso de 2 meses que condicionó iniciar la quimioprofilaxis con isoniacida en los escolares y docentes y al recibir los estudios de sensibilidad a los fármacos, tener que suspenderla, tras una reunión con los padres y explicarles que no había ningún fármaco efectivo para impedir el paso de infección a enfermedad tuberculosa, en los casos de multirresistencia10. Esto generó gran angustia y preocupación por lo que se realizaron varias reuniones coordinadas por el Centro de Salud Pública. Se decidió seguir con controles clínicos y radiológicos al menos durante 2 años en aquellos casos con Mantoux positivo, como indicaban las guías10 y opcionalmente mantener la isoniacida por su menor toxicidad en estas edades y por si se hubiera producido el contagio por cepas sensibles, quizá el plazo de seguimiento de 2 años habría que ampliarlo, pues el caso 5 se diagnosticó a los 3 años. Había muy pocos trabajos en la literatura de tratamiento de la infección latente de la TB-MDR que demostraran efectividad pero sí efectos secundarios24, Attamma et al. en el seguimiento de 476 contactos de pacientes con TB-MDR con una duración media de 6 años, en tratamiento con isoniacida, otros con ciprofloxacino y pirazinamida y 387 sin ningún fármaco, no tuvieron ningún caso de TB-MDR, lo que apoyaría el control clínico25. Esta situación actualmente se habría modificado pues hay estudios realizados de quimioprofilaxis efectiva con fluoroquinolonas durante 12 meses en casos de TB-MDR26. Pero en la población infantil y adolescente seguiría cuestionándose su utilidad por los problemas de toxicidad de estos fármacos sobre el cartílago de crecimiento.
La tasa de infección entre los expuestos del 14,4% es relativamente baja si la comparamos con las aportadas en otros brotes escolares del 30-100%, provocados por M. tubeculosis sensible14,15. Esto mismo ocurre con la tasa de enfermedad del 0,9% que es mucho más baja que en los brotes de TB-MDR, muy explosivos probablemente en relación con la coinfección por el VIH2–4, o las aportadas en estudios de contactos de pacientes con TB-MDR del 8% por Kritski et al.27, así como también son inferiores a las aportadas en brotes de colegios, causados por M. tuberculosis14,15. Esto es congruente con la observación realizada, que las cepas multirresistentes producen menos casos secundarios que las sensibles28, pero a efectos epidemiológicos, no podemos asumir que las cepas multirresistentes tengan menor infectividad y virulencia que las sensibles29.
Hemos objetivado un cierto efecto protector en los profesores, de la vacuna BCG, como ya señalaron Kritski et al. en su estudio27.
Una vez establecido el diagnóstico se inició el tratamiento y se realizó un seguimiento estricto de los casos con controles mensuales, analíticos, de esputo, dado que los fármacos de segunda línea presentan frecuentemente toxicidad y para estimular el cumplimiento30,31. En todos los enfermos se consiguió negativizar el cultivo del esputo a los 4 meses del tratamiento sin evidenciar recaídas hasta la actualidad. Probablemente esto sea debido a que se trataba de pacientes inmunocompetentes, no portadores de VIH y con factores de buen pronóstico para el tratamiento21,32.
Un aspecto muy importante en el estudio de los brotes es la tipificación genética de las cepas causantes que pueden ayudar a determinar los mecanismos de transmisión y a diferenciar si se trata de una reactivación endógena o reinfección exógena, si está producido por más de una cepa de M. tuberculosis o con su aislamiento iniciar de manera retrospectiva el estudio2,14,33–35.
Una limitación del trabajo que presentamos fue que no se pudo realizar la determinación de la infección latente tuberculosa con interferon gamma release assays (IGRAS) que hubiera permitido una mayor especificidad en las reacciones de Mantoux y en la conversiones tuberculínicas.
En conclusión, presentamos la descripción del primer brote de TB-MDR en el medio escolar en nuestro país, es fundamental el estudio estricto de los contactos y de los casos así como su seguimiento y una información clara, por la carga de ansiedad que genera. Con la actual globalización no es extraño la aparición de tuberculosis producida por cepas de M. tuberculosis multirresistentes y para su diagnóstico rápido e instaurar el tratamiento adecuado, es necesario disponer de las nuevas tecnologías.
Contribución de los autoresEl Dr. Miravet ha contribuido en el seguimiento de los casos, adquisición, análisis e interpretación de los datos, redacción del manuscrito así como la revisión de la versión final enviada para su valoración.
La Dra. García participó en el seguimiento de los casos, así como en la revisión de la versión final enviada para su valoración.
El Dr. Arnedo participó en el estudio de contactos adquisición, análisis e interpretación de los datos, redacción del manuscrito así como la revisión de la versión final enviada para su valoración.
El Dr. Bellido ha participado en el estudio de contactos, análisis e interpretación de los datos así como en la revisión de la versión final enviada para su valoración.
La Dra. Romeu contribuyó en el estudio de contactos así como en la revisión de la versión final enviada para su valoración.
La Dra. Gil contribuyó en el estudio microbiológico y en la revisión de la versión final enviada para su valoración.
El Dr. Cortés participó en el seguimiento de los casos y contribuyó en la revisión de la versión final enviada para su valoración.
Conflicto de interesesLos autores declaran no tener ningún conflicto de intereses.
Al Dr. Caminero Luna por sus sugerencias en el tratamiento de los pacientes.












