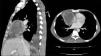
Varón de 51 años con antecedentes personales de infección por virus de la hepatitis C, exfumador, que presenta cuadro de fiebre acompañada de artralgias y pérdida de peso. Tras anamnesis y exploración física, que no aportaron ningún dato relevante, solicitamos exploraciones complementarias: hemograma, bioquímica, serologías virales, autoinmunidad, prueba de Mantoux y hemocultivos, destacando proteína C reactiva 238mg/l. Se realizaron pruebas de imagen, observando en la radiografía de tórax, imagen de densidad agua hiliar derecha y en tomografía axial computarizada (TAC) torácica, tumoración mediastínica anterior de 9×7cm, compatible con remanente embriológico infectado (fig. 1). El paciente fue diagnosticado de quiste pleuropericárdico infectado, y se inició tratamiento con antibioterapia, teniendo buena evolución, por lo que fue dado de alta domiciliaria en espera de cita para extracción quirúrgica del quiste.
El quiste pleuropericárdico es una lesión poco común, con una incidencia de uno por cada 100.000 casos, normalmente localizado en mediastino medio, que suele ser un hallazgo incidental y de curso asintomático1, pero que puede complicarse por compresión de estructuras adyacentes2, infección o hemorragia del propio quiste1. El tratamiento es conservador, reservándose el tratamiento quirúrgico para casos sintomáticos. En el caso que exponemos, tanto la forma de presentación (infección) como la localización (anterior), son inusuales.







