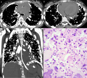
A 14-year-old girl was admitted with a 30-day history of painful swelling in the left knee that had not improved with the use of analgesics and nonsteroidal anti-inflammatory drugs. An X-ray showed an aggressive osteolytic lesion in the left distal femur. Open biopsy examination revealed a proliferation of neoplastic osteoblasts producing abundant irregular osteoid matrix. The diagnosis of osteosarcoma was made. The patient started chemotherapy, but did not show good response to treatment, as the disease remained stable. Five months after diagnosis, she presented chest pain and respiratory distress. Chest computed tomography revealed several irregular calcified nodules and plaques in the subpleural regions of the lungs, as well as pericardial effusion (Fig. 1). Thoracoscopy showed numerous subpleural nodules. The histopathological diagnosis was metastatic osteosarcoma. A few days later, the patient's condition worsened, with severe dyspnea, and she died. Autopsy was performed and confirmed the lymphatic dissemination of the tumor cells.
Axial computed tomography images at the level of the bronchial bifurcation (A) and lower lobes (B), and a coronal reformatted image (C) showing several calcified nodules in the subpleural regions and along fissures. Note also mediastinal lymph node calcifications and pericardial effusion. (D) Histological section showing proliferation of neoplastic cells with bone tissue formation. Note also nuclear atypia (hyperchromasia and karyomegaly) (hematoxylin and eosin stain, ×400).
Lung metastasis of osteosarcoma via hematogenous spread is common, but lymphangitic carcinomatosis in this tumor is very uncommon. Invasion and retrograde tumor seedlings in lymphatic and perilymphatic interstitium produce tumor spread along the interlobular septa, fissures, and pleural surfaces, with no nodular metastasis in the lungs, as seen in our patient. Involvement of lymph nodes with calcified metastasis may also be seen.1,2
Please cite this article as: Portugal Gomes AC, Marques Ribeiro Naccarato C, Marchiori E. Osteosarcoma: diseminación linfática torácica. Arch Bronconeumol. 2016;52:486.








