La neumonitis por hipersensibilidad (NH) o alveolitis alérgica extrínseca es un grupo de enfermedades inflamatorias del pulmón que afecta preferentemente a las vías aéreas más periféricas y que se induce inmunológicamente tras la inhalación reiterada de material muy diverso, fundamentalmente sustancias orgánicas y compuestos químicos de bajo peso molecular1. Se han descrito cuadro similares a NH en pacientes que han tenido una exposición masiva a los antígenos de micobacterias no tuberculosas (MNT), especialmente al inhalarlas a partir de fuentes de aerosoles de agua caliente, como saunas. La MNT para la que prácticamente se han descrito estos cuadros es Mycobacterium avium-complex, aunque también se han comunicado para M. immunogenicum2.
Presentamos el caso de una mujer de 29 años, natural de Colombia y residente en España desde hacía 4 años. La paciente trabajaba como recepcionista en un centro de spa. No presentaba hábitos tóxicos ni antecedentes personales medicoquirúrgicos de interés. Previamente al ingreso, no tenía historia de patología respiratoria tipo asma o contacto tuberculoso conocido. Acudió a urgencias por cuadro de tos sin expectoración y fiebre termometrada de 39°C, siendo diagnosticada de hiperreactividad bronquial. Se pautó tratamiento broncodilatador y fue dada de alta a su domicilio. A las 2 semanas acudió de nuevo a urgencias por presentar disnea súbita al subir unas escaleras, asociada a sensación de opresión retroesternal, que aumentaba con la inspiración profunda, y palpitaciones. En el interrogatorio dirigido, la enferma comenta que en el lugar de trabajo hace aproximadamente un año se realizaron reformas y quedó una especie de nicho en la pared donde viven palomas.
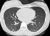
A la exploración física la paciente se encontraba afebril, taquicárdica (140latidos/min), taquipneica (36respiraciones/min) y con una saturación basal de oxígeno (respirando aire ambiente) del 91%. La auscultación pulmonar mostraba un murmullo vesicular conservado con crepitantes bibasales. En la analítica sanguínea destacaba un ionograma normal, proteína C reativa 80g/dl, leucocitos 11.430/mm3 (90% de neutrófilos y 1,4% de eosinófilos), hemoglobina 12,4g/dl, hematocrito 36,4%, plaquetas 309.000mm3. Gasometría arterial basal con pH7,44, pCO2 31mmHg, pO2 54mmHg, CO3H 21,1mmol/l. La radiografía de tórax muestró un patrón micronodular bilateral de predominio bibasal asociado a discreto engrosamiento cisural. Se realiza fibrobroncoscopia diagnóstica, en la que no se observan lesiones endobronquiales, y se recogen muestras del lavado y aspirado bronquioloalveolar, además de una biopsia transbronquial. En el lavado se observan linfocitos en cantidad moderada y algunos polimorfonucleares. No se observan eosinófilos. La biopsia mostró fragmentos de parénquima pulmonar con aislados de granulomas epitelioides, no necrosantes y con células gigantes aisladas, situados a nivel septal. Las tinciones histoquímicas para detección de bacilos ácido-alcohol resistentes (Kin-Youn) fueron negativas. También el broncoaspirado resultó negativo para malignidad. En 3 muestras de cultivos de esputo se aisló Mycobacterium avium, y el estudio de precipitinas para palomas fue negativo. La tomografía de tórax (TACAR) mostró un patrón intersticial con nódulos centrolobulares bilaterales y difuso, junto con imágenes de consolidación de la vía aérea en partes declives de ambas bases en probable relación con atelectasia, así como neumomediastino con relación a biopsia transbronquial. No se apreciaban adenopatías patológicas mediastínicas ni axiales (fig. 1).
Ante la sospecha diagnóstica de neumonitis por hipersensibilidad se inició tratamiento con corticoides (0,5mg/kg), y la paciente presentó una mejoría tanto clínica como del intercambio gaseoso, con una saturación basal al alta del 97%. La radiografía de control a los 7 días también mostraba una evolución muy favorable, tanto del neumomediastino (escasamente visible) como del patrón intersticial, estando solo presente en las bases.
La neumonitis por hipersensibilidad por exposición a Mycobacterium avium es una enfermedad emergente causada por la exposición a aguas de bañeras de hidromasaje contaminadas por dicha bacteria (hot tub lung, pulmón del jacuzzi o pulmón de tina caliente). Se han descrito varios casos desde 19973-5. Estos pacientes han sido tratados con antimicobacterianos y/o corticoides, aunque algunos enfermos mejoran con tan solo evitar la fuente de exposición. Existe un continuo debate sobre el manejo óptimo de esta patología, dado que la necesidad de instaurar tratamiento antimicobacteriano sigue siendo controvertida5. Hanak et al.5 realizaron en 2005 una revisión retrospectiva de 21 pacientes diagnosticados como «pulmón de tina caliente» en un centro médico de referencia, durante un periodo de 7 años, con el objetivo de conocer las características y la evolución clínica de estos pacientes. Los resultados de este estudio sugieren que esta entidad se comporta como una neumonitis por hipersensibilidad más que como una infección por micobacterias, por lo que el tratamiento con fármacos antimicobacterianos podría ser prescindible.
El cuadro clínico de la paciente hizo pensar en la posibilidad de una NH, aunque no estaba muy claro si era secundaria a exposición a palomas. Dada la mejoría con tratamiento corticoide, se decidió el alta a domicilio estando pendiente de los resultados de precipitinas y micobacterias. Una vez confirmado el diagnóstico, se puso en conocimiento de salud pública y del centro donde trabajaba, que fue cerrado.








