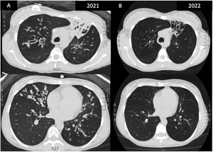
A 25-year-old woman diagnosed with cystic fibrosis (CF), homozygous F508del mutation, who started treatment with triple therapy with elexacaftor/tezacaftor and ivacaftor as compassionate use due to unfavorable evolution. Chest CT before the start and after 18 months of treatment (Fig. 1) reveals important radiological changes with a decrease in the size of bronchiectasis and resolution of severe bronchial thickening, mucoid impacts and areas of atelectasis and consolidation. the Bhalla score rose from 7 to 20. Lung function improved with an FEV1 value of 690ml (25%) prior to the start of treatment and a value of 2170ml (77%) after 18 months of treatment.
(A) HRCT prior to initiation of treatment: complete atelectasis of the LSI and lingula with beaded and cystic bronchiectasis with severe bronchial thickening. (B) Control HRCT after 18 months of treatment: resolution of mucosal impactions, bronchial thickening and resolution of complete atelectasis in LSI, with beaded bronchiectasis without being occupied by secretions.
No studies have been published that address radiological changes by HRCT after initiation of triple therapy. Macconi et al. analyzed changes in chest magnetic resonance imaging (MRI) three months after the start of triple therapy in CF, showing a drastic reduction in bronchial thickening and mucus plugging,1 as described in our case.
The Bhalla scale is the most used in CF, since it assesses in detail the extent and severity of the disease and correlates well with symptoms and lung function.2 After the start of triple therapy, a very important change in this score is observed, so all these radiological changes can make us rethink the irreversibility of some indirect signs of bronchiectasis.
Conflict of interestNone of the authors declare conflicts of interest.








