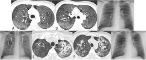
A 41-year-old man who presented to our hospital with fever and dyspnea was found to be severely immunosuppressed due to advanced human immunodeficiency virus (HIV) infection. Computed tomography (CT) demonstrated extensive ground-glass opacities (Fig. 1A, B), whereas a bronchoalveolar lavage (BAL) confirmed a Pneumocystis jirovecii infection. The patient responded (Fig. 1C) to cotrimoxazol and was discharged 2 weeks later after being started on antiretroviral therapy (ART). However, he was re-admitted 3 days later with fever and chest discomfort. A chest radiograph showed new-onset bilateral consolidations (Fig. 1D). CT confirmed large peribronchial consolidations with bronchial lumen dilatation (Fig. 1E, F), so a presumptive diagnosis of Pneumocystis jirovecii-immune reconstitution inflammatory syndrome (PJ-IRIS) with a CT pattern of organizing pneumonia (OP) was made. A repeat BAL did not yield any microorganism. The patient was treated with high doses of prednisolone (80mg/day) and rapidly improved clinically and radiologically (Fig. 1G).
(A) and (B) Axial thoracic CT images (lung window) show extensive ground-glass opacities in both lungs, consistent with Pneumocystis jirovecii pneumonia. (C) Posteroanterior chest radiograph performed on the day of discharge shows resolution of opacities after treatment with cotrimoxazol and prednisolone. (D) Three days after being discharged, a repeat chest radiograph shows new-onset bilateral consolidations (arrows). (E) and (F) Axial thoracic CT images (lung window) show large peribronchial consolidations with bronchial lumen dilatation, a pattern typical of organizing pneumonia. (G) Posteroanterior chest radiograph performed one month after (D) shows an almost complete resolution of the pulmonary opacities.
PJ-IRIS occurs within days to weeks after the initiation of ART, as the exaggerated CD4 inflammatory response causes severe lung injury.1PJ-IRIS may clinically manifest in the same way as Pneumocystis pneumonia (dyspnea, cough, and profound hypoxia), and patchy or diffuse ground-glass opacities are typically seen on imaging.1 Very rarely, PJ-IRIS may show CT features of OP, as in our case.2








